APMAP Antibody
-
中文名稱:APMAP兔多克隆抗體
-
貨號:CSB-PA884629LA01HU
-
規格:¥440
-
圖片:
-
Western Blot
Positive WB detected in: HepG2 whole cell lysate, Rat liver tissue
All lanes: APMAP antibody at 3.1µg/ml
Secondary
Goat polyclonal to rabbit IgG at 1/50000 dilution
Predicted band size: 47, 33 kDa
Observed band size: 47 kDa -
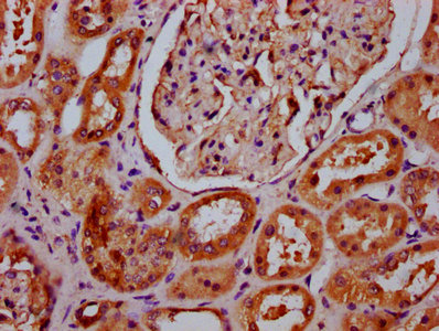
IHC image of CSB-PA884629LA01HU diluted at 1:400 and staining in paraffin-embedded human kidney tissue performed on a Leica BondTM system. After dewaxing and hydration, antigen retrieval was mediated by high pressure in a citrate buffer (pH 6.0). Section was blocked with 10% normal goat serum 30min at RT. Then primary antibody (1% BSA) was incubated at 4°C overnight. The primary is detected by a biotinylated secondary antibody and visualized using an HRP conjugated SP system.
-
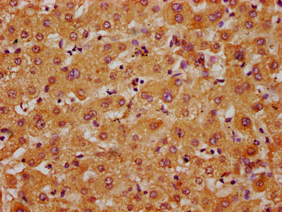
IHC image of CSB-PA884629LA01HU diluted at 1:400 and staining in paraffin-embedded human liver tissue performed on a Leica BondTM system. After dewaxing and hydration, antigen retrieval was mediated by high pressure in a citrate buffer (pH 6.0). Section was blocked with 10% normal goat serum 30min at RT. Then primary antibody (1% BSA) was incubated at 4°C overnight. The primary is detected by a biotinylated secondary antibody and visualized using an HRP conjugated SP system.
-
Immunofluorescence staining of HepG2 cells with CSB-PA884629LA01HU at 1:133, counter-stained with DAPI. The cells were fixed in 4% formaldehyde, permeabilized using 0.2% Triton X-100 and blocked in 10% normal Goat Serum. The cells were then incubated with the antibody overnight at 4°C. The secondary antibody was Alexa Fluor 488-congugated AffiniPure Goat Anti-Rabbit IgG(H+L).
-
-
其他:
產品詳情
-
產品名稱:Rabbit anti-Homo sapiens (Human) APMAP Polyclonal antibody
-
Uniprot No.:
-
基因名:APMAP
-
別名:Adipocyte plasma membrane associated protein antibody; Adipocyte plasma membrane-associated protein antibody; apmap antibody; APMAP_HUMAN antibody; BSCv antibody; BSCv protein antibody; C20orf3 antibody; Chromosome 20 open reading frame 3 antibody; Protein BSCv antibody
-
宿主:Rabbit
-
反應種屬:Human, Rat
-
免疫原:Recombinant Human Adipocyte plasma membrane-associated protein (134-240AA)
-
免疫原種屬:Homo sapiens (Human)
-
標記方式:Non-conjugated
本頁面中的產品,APMAP Antibody (CSB-PA884629LA01HU),的標記方式是Non-conjugated。對于APMAP Antibody,我們還提供其他標記。見下表:
-
克隆類型:Polyclonal
-
抗體亞型:IgG
-
純化方式:>95%, Protein G purified
-
濃度:It differs from different batches. Please contact us to confirm it.
-
保存緩沖液:Preservative: 0.03% Proclin 300
Constituents: 50% Glycerol, 0.01M PBS, pH 7.4 -
產品提供形式:Liquid
-
應用范圍:ELISA, WB, IHC, IF
-
推薦稀釋比:
Application Recommended Dilution WB 1:500-1:5000 IHC 1:200-1:500 IF 1:50-1:200 -
Protocols:
-
儲存條件:Upon receipt, store at -20°C or -80°C. Avoid repeated freeze.
-
貨期:Basically, we can dispatch the products out in 1-3 working days after receiving your orders. Delivery time maybe differs from different purchasing way or location, please kindly consult your local distributors for specific delivery time.
-
用途:For Research Use Only. Not for use in diagnostic or therapeutic procedures.
相關產品
靶點詳情
-
功能:Exhibits strong arylesterase activity with beta-naphthyl acetate and phenyl acetate. May play a role in adipocyte differentiation.
-
基因功能參考文獻:
- These data suggest that APMAP is a novel regulator of extracellular matrix components, and establish that APMAP is a potential target to mitigate obesity-associated insulin resistance. PMID: 28559441
- APMAP is an endogenous suppressor of Abeta production in the brain. PMID: 25180020
- C20orf3 mapping at chromosome 20p11 is associated with hepatic-specific metastasis in patients with colorectal cancer. PMID: 22267596
- characterization of the gene product of open reading frame 3 encoded at human chromosome 20 (C20orf3), which represents a member of the lactonohydrolase super family PMID: 18513186
-
亞細胞定位:Membrane; Single-pass type II membrane protein.
-
蛋白家族:Strictosidine synthase family
-
組織特異性:Liver, glomerular and tubular structures of the kidney, endothelial cells, arterial wall and pancreatic islets of Langerhans (at protein level). Found ubiquitously in adult as well as in embryonic tissues. In adult tissue, the highest expression is found
-
數據庫鏈接:
Most popular with customers
-
-
Phospho-YAP1 (S127) Recombinant Monoclonal Antibody
Applications: ELISA, WB, IHC
Species Reactivity: Human
-
-
-
-
-
-















