APMAP Antibody
-
中文名稱:APMAP兔多克隆抗體
-
貨號:CSB-PA165039
-
規格:¥1100
-
圖片:
-
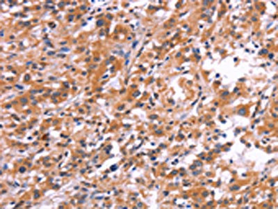
The image on the left is immunohistochemistry of paraffin-embedded Human thyroid cancer tissue using CSB-PA165039(APMAP Antibody) at dilution 1/30, on the right is treated with synthetic peptide. (Original magnification: ×200)
-
The image on the left is immunohistochemistry of paraffin-embedded Human brain tissue using CSB-PA165039(APMAP Antibody) at dilution 1/30, on the right is treated with synthetic peptide. (Original magnification: ×200)
-
Gel: 8%SDS-PAGE, Lysate: 40 μg, Lane 1-3: Human placenta tissue, Human fetal liver tissue, 231 cells, Primary antibody: CSB-PA165039(APMAP Antibody) at dilution 1/400, Secondary antibody: Goat anti rabbit IgG at 1/8000 dilution, Exposure time: 1 minute
-
-
其他:
產品詳情
-
Uniprot No.:
-
基因名:APMAP
-
別名:Adipocyte plasma membrane associated protein antibody; Adipocyte plasma membrane-associated protein antibody; apmap antibody; APMAP_HUMAN antibody; BSCv antibody; BSCv protein antibody; C20orf3 antibody; Chromosome 20 open reading frame 3 antibody; Protein BSCv antibody
-
宿主:Rabbit
-
反應種屬:Human
-
免疫原:Synthetic peptide of Human APMAP
-
免疫原種屬:Homo sapiens (Human)
-
標記方式:Non-conjugated
-
抗體亞型:IgG
-
純化方式:Antigen affinity purification
-
濃度:It differs from different batches. Please contact us to confirm it.
-
保存緩沖液:-20°C, pH7.4 PBS, 0.05% NaN3, 40% Glycerol
-
產品提供形式:Liquid
-
應用范圍:ELISA,WB,IHC
-
推薦稀釋比:
Application Recommended Dilution ELISA 1:2000-1:5000 WB 1:500-1:2000 IHC 1:25-1:100 -
Protocols:
-
儲存條件:Upon receipt, store at -20°C or -80°C. Avoid repeated freeze.
-
貨期:Basically, we can dispatch the products out in 1-3 working days after receiving your orders. Delivery time maybe differs from different purchasing way or location, please kindly consult your local distributors for specific delivery time.
-
用途:For Research Use Only. Not for use in diagnostic or therapeutic procedures.
相關產品
靶點詳情
-
功能:Exhibits strong arylesterase activity with beta-naphthyl acetate and phenyl acetate. May play a role in adipocyte differentiation.
-
基因功能參考文獻:
- These data suggest that APMAP is a novel regulator of extracellular matrix components, and establish that APMAP is a potential target to mitigate obesity-associated insulin resistance. PMID: 28559441
- APMAP is an endogenous suppressor of Abeta production in the brain. PMID: 25180020
- C20orf3 mapping at chromosome 20p11 is associated with hepatic-specific metastasis in patients with colorectal cancer. PMID: 22267596
- characterization of the gene product of open reading frame 3 encoded at human chromosome 20 (C20orf3), which represents a member of the lactonohydrolase super family PMID: 18513186
-
亞細胞定位:Membrane; Single-pass type II membrane protein.
-
蛋白家族:Strictosidine synthase family
-
組織特異性:Liver, glomerular and tubular structures of the kidney, endothelial cells, arterial wall and pancreatic islets of Langerhans (at protein level). Found ubiquitously in adult as well as in embryonic tissues. In adult tissue, the highest expression is found
-
數據庫鏈接:
Most popular with customers
-
-
YWHAB Recombinant Monoclonal Antibody
Applications: ELISA, WB, IHC, IF, FC
Species Reactivity: Human, Mouse, Rat
-
Phospho-YAP1 (S127) Recombinant Monoclonal Antibody
Applications: ELISA, WB, IHC
Species Reactivity: Human
-
-
-
-
-















