NLRP3
NLRP3,即含pyrin結構域的NOD樣受體3,別名PYRIN-containing APAF1-like protein 1。它是一種多蛋白復合體,是固有免疫系統中的重要組成部分,主要在細胞質中發揮作用。NLRP3炎性小體能夠識別各種病原體相關分子模式(PAMPs)和損傷相關分子模式(DAMPs),激活后促進半胱氨酸天冬氨酸特異性蛋白酶-1(caspase-1)的活化,進而切割前體IL-1β和IL-18成為成熟形式,引發炎癥反應。NLRP3炎性小體的生物學意義在于其在調節宿主免疫反應中發揮的重要作用。它不僅參與機體對病原體的防御,還涉及多種炎癥性疾病的發生發展。NLRP3炎性小體的異常激活與多種疾病相關,包括膿毒癥、代謝性疾病、自身炎癥性疾病等。因此,NLRP3成為了炎癥性疾病治療的潛在靶點,針對NLRP3炎性小體的抑制劑正在被廣泛研究,以期開發出新的抗炎藥物。
熱銷產品
Recombinant Human NACHT, LRR and PYD domains-containing protein 3 (NLRP3), partial (CSB-EP822275HU2)
驗證數據
(Tris-Glycine gel) Discontinuous SDS-PAGE (reduced) with 5% enrichment gel and 15% separation gel.
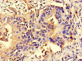
NLRP3 Antibody (CSB-PA015871LA01HU)
驗證數據
Immunohistochemistry of paraffin-embedded human bladder cancer using CSB-PA015871LA01HU at dilution of 1:100
Immunofluorescent analysis of HepG2 cells using CSB-PA015871LA01HU at dilution of 1:100 and Alexa Fluor 488-congugated AffiniPure Goat Anti-Rabbit IgG(H+L)
Mouse NACHT, LRR and PYD domains-containing protein 3(NLRP3) ELISA kit (CSB-EL015871MO)
驗證數據
貨號:CSB-EL015871MO
規格:96T/48T
靈敏度:1.56 pg/mL
檢測范圍:6.25 pg/mL-400 pg/mL
These standard curves are provided for demonstration only. A standard curve should be generated for each set of samples assayed.
NLRP3 Antibodies
NLRP3 for Homo sapiens (Human)
| 產品貨號 | 產品名稱 | 種屬反應性 | 應用類型 |
|---|---|---|---|
| CSB-PA005618 | NLRP3 Antibody | Human | WB, ELISA |
| CSB-PA084492 | NLRP3 Antibody | Human | ELISA,IHC |
| CSB-PA993403 | NLRP3 Antibody | Human | ELISA,WB |
| CSB-PA209407 | NLRP3 Antibody | Human,Mouse,Rat | ELISA,IHC |
| CSB-PA015871LA01HU | NLRP3 Antibody | Human | ELISA, IHC, IF |
| CSB-PA015871LB01HU | NLRP3 Antibody, HRP conjugated | Human | ELISA |
| CSB-PA015871LC01HU | NLRP3 Antibody, FITC conjugated | Human | |
| CSB-PA015871LD01HU | NLRP3 Antibody, Biotin conjugated | Human | ELISA |
NLRP3 for Mus musculus (Mouse)
| 產品貨號 | 產品名稱 | 種屬反應性 | 應用類型 |
|---|---|---|---|
| CSB-PA823181LA01MO | Nlrp3 Antibody | Mouse | ELISA, IF |
| CSB-PA823181LB01MO | Nlrp3 Antibody, HRP conjugated | Mouse | ELISA |
| CSB-PA823181LC01MO | Nlrp3 Antibody, FITC conjugated | Mouse | |
| CSB-PA823181LD01MO | Nlrp3 Antibody, Biotin conjugated | Mouse | ELISA |
NLRP3 Proteins
NLRP3 Proteins for Bos taurus (Bovine)
| 產品貨號 | 產品名稱 | 來源 |
|---|---|---|
| CSB-YP015871BO CSB-EP015871BO CSB-BP015871BO CSB-MP015871BO CSB-EP015871BO-B |
Recombinant Bovine NACHT, LRR and PYD domains-containing protein 3 (NLRP3), partial | Yeast E.coli Baculovirus Mammalian cell In Vivo Biotinylation in E.coli |
NLRP3 Proteins for Macaca mulatta (Rhesus macaque)
| 產品貨號 | 產品名稱 | 來源 |
|---|---|---|
| CSB-YP015871MOW CSB-EP015871MOW CSB-BP015871MOW CSB-MP015871MOW CSB-EP015871MOW-B |
Recombinant Macaca mulatta (Rhesus macaque) NACHT, LRR and PYD domains-containing protein 3 (NLRP3), partial | Yeast E.coli Baculovirus Mammalian cell In Vivo Biotinylation in E.coli |
NLRP3 Proteins for Homo sapiens (Human)
| 產品貨號 | 產品名稱 | 來源 |
|---|---|---|
| CSB-YP822275HU CSB-EP822275HU CSB-BP822275HU CSB-MP822275HU CSB-EP822275HU-B |
Recombinant Human NACHT, LRR and PYD domains-containing protein 3 (NLRP3), partial | Yeast E.coli Baculovirus Mammalian cell In Vivo Biotinylation in E.coli |
| CSB-EP822275HU1 | Recombinant Human NACHT, LRR and PYD domains-containing protein 3 (NLRP3), partial | E.coli |
| CSB-EP822275HU3 | Recombinant Human NACHT, LRR and PYD domains-containing protein 3 (NLRP3), partial | E.coli |
| CSB-EP822275HU2 | Recombinant Human NACHT, LRR and PYD domains-containing protein 3 (NLRP3), partial | E.coli |
| CSB-EP822275HU2a2 | Recombinant Human NACHT, LRR and PYD domains-containing protein 3 (NLRP3), partial | E.coli |
| CSB-EP822275HU7 | Recombinant Human NACHT, LRR and PYD domains-containing protein 3 (NLRP3), partial | E.coli |
NLRP3 Proteins for Mus musculus (Mouse)
| 產品貨號 | 產品名稱 | 來源 |
|---|---|---|
| CSB-YP823181MO CSB-BP823181MO CSB-MP823181MO CSB-EP823181MO-B |
Recombinant Mouse NACHT, LRR and PYD domains-containing protein 3 (Nlrp3), partial | Yeast Baculovirus Mammalian cell In Vivo Biotinylation in E.coli |
| CSB-EP823181MO | Recombinant Mouse NACHT, LRR and PYD domains-containing protein 3 (Nlrp3), partial | E.coli |
NLRP3 ELISA Kit
NLRP3 ELISA Kit for Homo sapiens (Human)
| 產品貨號 | 產品名稱 | 樣本類型 | 靈敏度 |
|---|---|---|---|
| CSB-E15885h | Human NACHT, LRR and PYD domains-containing protein 3 (NLRP3/C1orf7/CIAS1/NALP3/PYPAF1) ELISA kit | serum, plasma, tissue homogenates | 0.039 ng/ml |
NLRP3 ELISA Kit for Mus musculus (Mouse)
| 產品貨號 | 產品名稱 | 樣本類型 | 靈敏度 |
|---|---|---|---|
| CSB-EL015871MO | Mouse NACHT, LRR and PYD domains-containing protein 3(NLRP3) ELISA kit | serum, plasma, tissue homogenates | 1.56 pg/mL |






