NLRP3 Antibody
-
中文名稱:NLRP3兔多克隆抗體
-
貨號:CSB-PA084492
-
規格:¥1100
-
圖片:
-
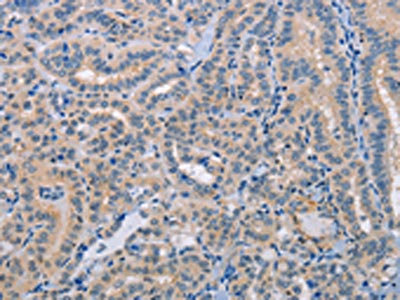
The image on the left is immunohistochemistry of paraffin-embedded Human esophagus cancer tissue using CSB-PA084492(NLRP3 Antibody) at dilution 1/15, on the right is treated with fusion protein. (Original magnification: ×200)
-
The image on the left is immunohistochemistry of paraffin-embedded Human thyroid cancer tissue using CSB-PA084492(NLRP3 Antibody) at dilution 1/15, on the right is treated with fusion protein. (Original magnification: ×200)
-
-
其他:
產品詳情
-
Uniprot No.:
-
基因名:
-
別名:AGTAVPRL antibody; AII/AVP antibody; Angiotensin/vasopressin receptor AII/AVP like antibody; Angiotensin/vasopressin receptor AII/AVP-like antibody; C1orf7 antibody; Caterpiller protein 1.1 antibody; CIAS 1 antibody; CIAS1 antibody; CLR1.1 antibody; Cold autoinflammatory syndrome 1 antibody; Cold autoinflammatory syndrome 1 protein antibody; Cryopyrin antibody; Familial cold autoinflammatory syndrome antibody; FCAS antibody; FCU antibody; LRR and PYD domains-containing protein 3 antibody; Muckle-Wells syndrome antibody; MWS antibody; NACHT antibody; NACHT LRR and PYD containing protein 3 antibody; NALP 3 antibody; NALP3 antibody; NALP3_HUMAN antibody; NLR family pyrin domain containing 3 antibody; NLRP3 antibody; PYPAF 1 antibody; PYPAF1 antibody; PYRIN containing APAF1 like protein 1 antibody; PYRIN-containing APAF1-like protein 1 antibody
-
宿主:Rabbit
-
反應種屬:Human
-
免疫原:Fusion protein of Human NLRP3
-
免疫原種屬:Homo sapiens (Human)
-
標記方式:Non-conjugated
-
抗體亞型:IgG
-
純化方式:Antigen affinity purification
-
濃度:It differs from different batches. Please contact us to confirm it.
-
保存緩沖液:-20°C, pH7.4 PBS, 0.05% NaN3, 40% Glycerol
-
產品提供形式:Liquid
-
應用范圍:ELISA,IHC
-
推薦稀釋比:
Application Recommended Dilution ELISA 1:1000-1:2000 IHC 1:15-1:50 -
Protocols:
-
儲存條件:Upon receipt, store at -20°C or -80°C. Avoid repeated freeze.
-
貨期:Basically, we can dispatch the products out in 1-3 working days after receiving your orders. Delivery time maybe differs from different purchasing way or location, please kindly consult your local distributors for specific delivery time.
-
用途:For Research Use Only. Not for use in diagnostic or therapeutic procedures.
相關產品
靶點詳情
-
功能:As the sensor component of the NLRP3 inflammasome, plays a crucial role in innate immunity and inflammation. In response to pathogens and other damage-associated signals, initiates the formation of the inflammasome polymeric complex, made of NLRP3, PYCARD and CASP1 (and possibly CASP4 and CASP5). Recruitment of proCASP1 to the inflammasome promotes its activation and CASP1-catalyzed IL1B and IL18 maturation and secretion in the extracellular milieu. Activation of NLRP3 inflammasome is also required for HMGB1 secretion. The active cytokines and HMGB1 stimulate inflammatory responses. Inflammasomes can also induce pyroptosis, an inflammatory form of programmed cell death. Under resting conditions, NLRP3 is autoinhibited. NLRP3 activation stimuli include extracellular ATP, reactive oxygen species, K(+) efflux, crystals of monosodium urate or cholesterol, amyloid-beta fibers, environmental or industrial particles and nanoparticles, cytosolic dsRNA, etc. However, it is unclear what constitutes the direct NLRP3 activator. Activation in presence of cytosolic dsRNA is mediated by DHX33. Independently of inflammasome activation, regulates the differentiation of T helper 2 (Th2) cells and has a role in Th2 cell-dependent asthma and tumor growth. During Th2 differentiation, required for optimal IRF4 binding to IL4 promoter and for IRF4-dependent IL4 transcription. Binds to the consensus DNA sequence 5'-GRRGGNRGAG-3'. May also participate in the transcription of IL5, IL13, GATA3, CCR3, CCR4 and MAF.
-
基因功能參考文獻:
- In conclusion, IAPP/amylin directly interacts with NLRP3 to activate NLRP3 inflammasome, and this interaction could be an attractive drug target to avoid inflammation and beta-cell death during therapy for diabetes, although there are mechanisms in NLRP3 inflammasome and diabetes pathology in human tissues that still require elucidation. PMID: 30014749
- this study strongly highlights the importance of renal epithelium in lipid handling and recognizes the role of NLRP3 as a central hub in metainflammation and immunometabolism in parenchymal non-immune cells. PMID: 28588189
- S100A12 activates NLPR3 inflammasomes to induce MUC5AC production in airway epithelial cells. ATP induces MUC5AC production in a mechanistically similar mode to S100A12. PMID: 29906464
- Our study indicates that the NLRP3 rs4612666 polymorphism may be involved in the development of recurrent aphthous stomatitis in the Czech population PMID: 29430721
- sumoylation of NLRP3 restrains inflammasome activation, and identify SUMO proteases as potential drug targets for the treatment of inflammatory diseases. PMID: 30069026
- Keratoendotheliitis fugax hereditaria is an autoinflammatory cryopyrin-associated periodic syndrome caused by a missense mutation c.61G>C in exon 1 of NLRP3 in Finnish patients. It is additionally expected to occur in other populations of European descent. PMID: 29366613
- Twelve out of 15 Chinese children with cryopyrin-associated periodic syndrome (CAPS) have mutation in NLR Family, Pyrin Domain-Containing 3 Protein (NLRP3). Five new mutation sites on NLRP3 are identified. The association between gene mutation and clinical manifestation shows that D305N is highly associated with severe organs involvements. PMID: 29285715
- our results reveal that the overexpressed NLRP3 contributes to the proliferation and metastasis of OSCC cells. PMID: 29716544
- NLRP3 inflammasome was activated during the clearance of the aged erythrocytes through unopsonized and opsonized pathways PMID: 29680907
- NLR family pyrin domain containing 3 (NLRP3) may be a novel player in testicular immune regulation PMID: 29907661
- Study indicates that NLRP3 affects human glioma progression and metastasis through multiple pathways, including epithelial-mesenchymal transition and PTEN/AKT signaling pathway regulation, enhanced inflammasome activation, and undefined inflammasome-independent mechanisms. PMID: 30015880
- increased mRNA levels of NLRP3 inflammasomes in bronchial tissues were positively correlated with the load of the six common pathogens in the lower respiratory tract PMID: 29656319
- gain-of-function variant rs10754558 significantly associated with obesity PMID: 28634744
- Obese antral muscle cells showed an oxidative-inflammatory imbalance with overexpression of NLRP3 inflammasome, increased IL-1beta secretion and caspase1-activation, and reduced antioxidant capacity associated with a myogenic motor impairment of VIP-induced relaxation. PMID: 29625905
- The data supports the assumption that C9 gene expression may stimulate the expression of inflammatory (NLRP3) and angiogenic growth factors (VEGF) in retinal pigment epithelial cells. PMID: 30090015
- these results identified endothelial cells as a target of heme-mediated NLRP3 activation that can contribute to the inflammation triggered by sterile hemolysis PMID: 29743981
- Using keratinocyteinduced HaCaT cells as a model for psoriasis, silencing of miR155 was confirmed to significantly decrease inflammation and NLRP3/caspase1 signaling. PMID: 29767259
- Anaplastic lymphoma kinase (ALK) is a novel regulator of NLRP3 inflammasome activation in macrophages. Mechanically, ALK-mediated NF-kappaB activation was required for the priming step of NLRP3 upregulation, whereas ALK-mediated lipid peroxidation contributed to the sensing step of NLRP3-NEK7 complex formation. PMID: 29723525
- this review presents the current knowledge regarding the function of NLRP3 in vascular disease, ischemic heart disease, and nonischemic heart disease PMID: 29850631
- sing in vitro and in vivo models, we found that canonical NLRP3 and non-canonical caspase-11 inflammasomes were activated in bone-associated MSCs (BA-MSCs) to promote the inflammatory response PMID: 29807832
- The glucometabolic state is of great importance on both the circulating level of IL-18 and the genetic expression of IL-18 and NLRP3 in adipose tissue. PMID: 29972041
- eight single nucleotide polymorphisms, four from NLRP1 (rs8079034, rs11651270, rs11657747, and rs878329) and NLRP3 (rs7512998, rs3806265, rs10754557, and rs10733113) each in 540 patients with Psoriasis Vulgaris and 612 healthy controls in the Chinese Han population, were genotyped. PMID: 29850521
- Studied association between nucleotide-binding oligomerization domain leucine rich repeat and pyrin domain containing 3 (NLRP3) gene polymorphisms and susceptibility for large artery atherosclerosis (LAA), ischemic stroke (IS) and microembolic signals (MES) in the Chinese Han population. PMID: 29850543
- Data indicate that by inhibiting adenine nucleotide translocase 1 (ANT1) and mitochondrial dysfunction, tyrosine phosphatase SHP2 orchestrates an intrinsic regulatory loop to limit excessive NLR family, pyrin domain-containing 3 protein (NLRP3) inflammasome activation. PMID: 29255148
- our results indicate that NLRP3 inflammasome is a promising target for blocking or retarding EMT-mediated fibrosis in pulmonary silicosis. On basis of this mechanism, pirfenidone might be a potential drug for the treatment of silicosis PMID: 29258746
- This study demonstrated that Hcy activates adipose NLRP3 inflammasomes in an adipocyte lyso-PC-dependent manner and highlights the importance of the adipocyte NLRP3 inflammasome in insulin resistance. PMID: 29735414
- this study identifies a new role of ILF2 in the regulation of the NLRP3 inflammasome. PMID: 29655789
- SeV V protein inhibited the assembly of NLRP3 inflammasomes, including NLRP3-dependent ASC oligomerization, NLRP3-ASC association, NLRP3 self-oligomerization, and intermolecular interactions between NLRP3 molecules. PMID: 30021903
- this study shows that NLRP3 regulates inflammation-induced pro-labor mediators in human myometrial cells PMID: 29430761
- The increased expression of NLRP3 and caspase-1 in fetal membrane and placental tissues may be associated with the development of premature rupture of membrane. PMID: 29545514
- Oxidative stress activates NLRP3 through upregulating CTSB activity. PMID: 29196167
- Suggest inflammasome protein NLRP3 appears to have a specific role in the development of abdominal aortic aneurysms and aortic occlusive disease. PMID: 29528779
- Our results showed that rs10754558 NLRP3 and rs2043211 CARD8 polymorphisms are associated with rheumatoid arthritis development (p value = 0.044, OR = 1.77, statistical power = 0.999) and severity measured by Health Assessment Questionnaire (HAQ) (p value = 0.03), respectively. PMID: 29230505
- Based on the data obtained from patients and in vitro cells, we concluded that both NLRP1 and NLRP3 inflammasomes are highly involved in the FLS inflammation and pyroptosis. PMID: 29393464
- miR-132 negatively regulates palmitate induced NLRP3 inflammasome activation through FOXO3 down-regulation in THP-1 cells. PMID: 29258239
- 25-hydroxycholesterol contributes to cerebral inflammation of X-linked adrenoleukodystrophy through activation of the NLRP3 inflammasome. PMID: 27779191
- NLRP3 inflammasomes are upregulated in adults with diabetic retinopathy (DR) and may play a key role in the pathogenesis and progression of DR. PMID: 29450537
- The GG genotype of rs10754558 and the CGA haplotype of rs4612666-C, rs10754558-G, and rs1539019-A are both independent risk factors for primary gouty arthritis development. The rs10754558 polymorphism might participate in regulating immune and inflammation responses in patients with gouty arthritis by influencing the expression of components of the NLRP3 inflammasome. PMID: 29214547
- Data show that Pr2x7 gene deletion protects from HFD-induced NASH, possibly through blunted activation of NLRP3 inflammasome. PMID: 29270247
- This study revealed that the P2X7R/NLRP3 pathway plays important roles in IL-1beta secretion and inhibition of Toxoplasma gondii proliferation in small intestinal epithelial cells. PMID: 29291748
- Therefore, the common allergen Der f1 was not only found to induce allergy, but also led to pyroptosis and IL1beta secretion via the NLRP3caspase1 inflammasome in human bronchial epithelial cells PMID: 29207030
- NLRP3 mRNA expression was decreased significantly in chronic myeloid leukemia patients PMID: 29097263
- miR-223 deficiency can lead to the sustained activation of NLRP3-IL-1beta. PMID: 29144508
- Review. NLR Family, Pyrin Domain-Containing 3 Protein (NLRP3)inflammasome activation upon sensing influenza is essential for host defense but can increase disease. Virally produced influenza proteins can either inhibit or enhance NLRP3 inflammasome activation. Inhibition of the NLRP3 inflammasome to reduce influenza disease must be critically timed to be of benefit. PMID: 29097227
- Data show that in HK-2 cells and unilateral nephrectomy model, NLRP3 and NLRP3 inflammasome member ASC were significantly augmented after treatment with contrast media and provide evidence that NLRP3 inflammasome mediated contrast-induced-acute kidney injury through modulating the apoptotic pathway. PMID: 27721494
- BCL6 overexpression in SHR reduced blood pressure, NLRP3 expression and inflammation in the renal cortex of SHR PMID: 29072703
- we have shown that a mutation of the NLRP3 gene can cause hearing loss in the absence of the other clinical signs and symptoms of CAPS that are associated with other mutations of NLRP3. we show that a missense mutation, p.Arg918Gln (c.2753G > A), of NLRP3 causes autosomal-dominant sensorineural hearing loss in two unrelated families PMID: 28847925
- Results demonstrated that in patients with ulcerative colitis (UC), expression of the NLRP3 protein was markedly enhanced in the inflamed colonic mucosa; expression levels of NLRP3 and its colocalization with cleaved caspase-1 positively correlated with disease severity. Also, further data suggested that the NLRP3 inflammasome might play a protective role in the pathogenesis of UC. PMID: 27966619
- P2X7 receptor inhibition attenuated sympathetic nerve sprouting after myocardial infarction via the NLRP3/IL1B pathway. PMID: 28470940
- Review/Meta-analysis: NLRP3 p.Q705K snp not associated with the susceptibility to rheumatoid arthritis. PMID: 28185410
顯示更多
收起更多
-
相關疾病:Familial cold autoinflammatory syndrome 1 (FCAS1); Muckle-Wells syndrome (MWS); Chronic infantile neurologic cutaneous and articular syndrome (CINCA)
-
亞細胞定位:Cytoplasm, cytosol. Inflammasome. Endoplasmic reticulum. Secreted. Nucleus.; Golgi apparatus membrane.
-
蛋白家族:NLRP family
-
組織特異性:Predominantly expressed in macrophages. Also expressed in dendritic cells, B- and T-cells (at protein level). Expressed in LPS-treated granulocytes, but not in resting cells (at protein level). Expression in monocytes is very weak (at protein level). Expr
-
數據庫鏈接:
Most popular with customers
-
-
Phospho-YAP1 (S127) Recombinant Monoclonal Antibody
Applications: ELISA, WB, IHC
Species Reactivity: Human
-
-
-
-
-
-















