IRS1
IRS1,即胰島素受體底物1,別名HIRS-1。IRS1由人類IRS1基因編碼,該基因位于2號染色體的q36.3區域。IRS1是一種參與胰島素及其他細胞因子信號轉導的磷酸化蛋白,其上具有多個酪氨酸殘基,可被胰島素受體酪氨酸激酶磷酸化。磷酸化的IRS1能夠結合并激活下游效應物,如PI3K等,從而在胰島素信號轉導系統中起到關鍵的中介分子作用。IRS1在維持細胞的基本功能如生長、生存和物質代謝過程中起核心作用,其家族成員在組織分布、亞細胞定位、發育過程的表達時序、與胰島素的結合以及與含SH2蛋白質的相互作用方面有所差異。IRS1的突變與II型糖尿病和胰島素抵抗易感性有關。
熱銷產品
Recombinant Human Insulin receptor substrate 1 (IRS1), partial,Biotinylated (CSB-EP011829HU1-B)
驗證數據
(Tris-Glycine gel) Discontinuous SDS-PAGE (reduced) with 5% enrichment gel and 15% separation gel.
IRS1 Antibody (CSB-PA011829DSR1HU)
驗證數據
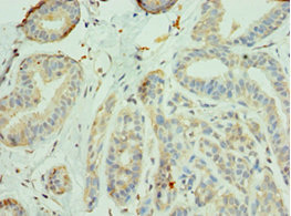
Immunohistochemistry of paraffin-embedded human breast cancer using CSB-PA011829DSR1HU at dilution of 1:100
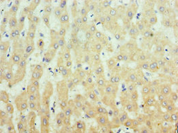
Immunohistochemistry of paraffin-embedded human liver tissue using CSB-PA011829DSR1HU at dilution of 1:100
IRS1 Antibodies
IRS1 for Homo sapiens (Human)
| 產品貨號 | 產品名稱 | 種屬反應性 | 應用類型 |
|---|---|---|---|
| CSB-PA011829GA01HU | IRS1 Antibody | Human,Mouse,Rat | ELISA,WB,IHC |
| CSB-PA577877 | Phospho-IRS1 (Ser636) Antibody | Human,Mouse,Rat | ELISA,WB,IHC |
| CSB-PA004394 | Phospho-IRS1 (Ser639) Antibody | Human,Mouse,Rat | ELISA,WB,IHC |
| CSB-PA195027 | IRS1 (Ab-639) Antibody | Human,Mouse,Rat | ELISA,WB,IF |
| CSB-PA047827 | Met Antibody | Human,Mouse,Rat | ELISA,WB |
| CSB-PA174165 | Phospho-IRS1 (Ser312) Antibody | Human,Mouse,Rat | ELISA,WB |
| CSB-PA259956 | IRS1 (Ab-636) Antibody | Human,Mouse,Rat | ELISA,WB,IHC,IF |
| CSB-PA224848 | Phospho-IRS1 (Ser307) Antibody | Human,Mouse,Rat | ELISA,IHC |
| CSB-PA143388 | IRS1 (Ab-312) Antibody | Human,Mouse,Rat | ELISA,WB,IHC,IF |
| CSB-PA011829DSR1HU | IRS1 Antibody | Human | ELISA, IHC |
| CSB-PA000553 | Phospho-IRS1 (S1101) Antibody | Human,Mouse,Rat,Monkey | WB, IHC, ELISA |
| CSB-PA000554 | Phospho-IRS1 (S307) Antibody | Human,Mouse,Rat,Monkey | WB, IHC, ELISA |
| CSB-PA000555 | Phospho-IRS1 (S307) Antibody | Human,Mouse,Rat | WB, IHC, IF, ELISA |
| CSB-PA000556 | Phospho-IRS1 (S636) Antibody | Human,Mouse,Rat | WB, IHC, IF, ELISA |
| CSB-PA000557 | Phospho-IRS1 (S639) Antibody | Human,Mouse,Rat | WB, IHC, ELISA |
| CSB-PA000558 | Phospho-IRS1 (S794) Antibody | Human,Mouse,Rat | WB, IHC, IF, ELISA |
| CSB-PA000667 | Phospho-IRS1 (S312) Antibody | Human,Mouse,Rat | WB, IF, ELISA |
| CSB-PA003065 | IRS1 Antibody | Human,Mouse,Rat | WB, IHC, ELISA |
| CSB-PA003068 | IRS1 Antibody | Human,Mouse,Rat | WB, IHC, ELISA |
| CSB-PA011243 | Phospho-IRS1 (Y896) Antibody | Human,Mouse,Rat | WB, ELISA |
| CSB-PA011244 | Phospho-IRS1 (S616) Antibody | Human,Mouse,Rat | WB, IHC, ELISA |
| CSB-PA011245 | Phospho-IRS1 (S323) Antibody | Human,Mouse,Rat,Monkey | WB, IHC, IF, ELISA |
| CSB-PA011247 | IRS1 Antibody | Human,Mouse,Rat | IHC, ELISA |
| CSB-PA011248 | IRS1 Antibody | Human,Mouse,Rat | IHC, ELISA |
| CSB-PA011249 | IRS1 Antibody | Human,Mouse,Rat | IHC, IF, ELISA |
| CSB-PA011250 | IRS1 Antibody | Human,Mouse,Rat | IHC, IF, ELISA |
| CSB-PA230288 | IRS1 Antibody | Human,Mouse,Rat | ELISA,IHC |
| CSB-PA218932 | IRS1 Antibody | Human,Mouse,Rat | ELISA,IHC |
IRS1 Proteins
IRS1 Proteins for Homo sapiens (Human)
| 產品貨號 | 產品名稱 | 來源 |
|---|---|---|
| CSB-YP011829HU CSB-EP011829HU CSB-BP011829HU CSB-MP011829HU CSB-EP011829HU-B |
Recombinant Human Insulin receptor substrate 1 (IRS1), partial | Yeast E.coli Baculovirus Mammalian cell In Vivo Biotinylation in E.coli |
| CSB-EP011829HU1-B | Recombinant Human Insulin receptor substrate 1 (IRS1), partial,Biotinylated | E.coli |
IRS1 Proteins for Mus musculus (Mouse)
| 產品貨號 | 產品名稱 | 來源 |
|---|---|---|
| CSB-YP011829MO CSB-EP011829MO CSB-BP011829MO CSB-MP011829MO CSB-EP011829MO-B |
Recombinant Mouse Insulin receptor substrate 1 (Irs1), partial | Yeast E.coli Baculovirus Mammalian cell In Vivo Biotinylation in E.coli |
IRS1 Proteins for Rattus norvegicus (Rat)
| 產品貨號 | 產品名稱 | 來源 |
|---|---|---|
| CSB-YP011829RA CSB-EP011829RA CSB-BP011829RA CSB-MP011829RA CSB-EP011829RA-B |
Recombinant Rat Insulin receptor substrate 1 (Irs1), partial | Yeast E.coli Baculovirus Mammalian cell In Vivo Biotinylation in E.coli |
IRS1 Proteins for Human cytomegalovirus (strain AD169) (HHV-5) (Human herpesvirus 5)
| 產品貨號 | 產品名稱 | 來源 |
|---|---|---|
| CSB-YP362768HWV CSB-EP362768HWV CSB-BP362768HWV CSB-MP362768HWV CSB-EP362768HWV-B |
Recombinant Human cytomegalovirus Protein IRS1 (IRS1), partial | Yeast E.coli Baculovirus Mammalian cell In Vivo Biotinylation in E.coli |
IRS1 Proteins for Schizosaccharomyces pombe (strain 972 / ATCC 24843) (Fission yeast)
| 產品貨號 | 產品名稱 | 來源 |
|---|---|---|
| CSB-YP522571SXV CSB-EP522571SXV CSB-BP522571SXV CSB-MP522571SXV CSB-EP522571SXV-B |
Recombinant Schizosaccharomyces pombe Isoleucine--tRNA ligase, cytoplasmic (pi058, SPBC8D2.06), partial | Yeast E.coli Baculovirus Mammalian cell In Vivo Biotinylation in E.coli |
IRS1 Proteins for Xenopus tropicalis (Western clawed frog) (Silurana tropicalis)
| 產品貨號 | 產品名稱 | 來源 |
|---|---|---|
| CSB-YP011829XBF CSB-EP011829XBF CSB-BP011829XBF CSB-MP011829XBF CSB-EP011829XBF-B |
Recombinant Xenopus tropicalis Insulin receptor substrate 1 (irs1), partial | Yeast E.coli Baculovirus Mammalian cell In Vivo Biotinylation in E.coli |
IRS1 Proteins for Chlorocebus aethiops (Green monkey) (Cercopithecus aethiops)
| 產品貨號 | 產品名稱 | 來源 |
|---|---|---|
| CSB-YP011829DSU CSB-EP011829DSU CSB-BP011829DSU CSB-MP011829DSU CSB-EP011829DSU-B |
Recombinant Chlorocebus aethiops Insulin receptor substrate 1 (IRS1), partial | Yeast E.coli Baculovirus Mammalian cell In Vivo Biotinylation in E.coli |






