-
中文名稱:磷酸化-IRS1 (Ser636)兔多克隆抗體
-
貨號:CSB-PA577877
-
規格:¥2454
-
圖片:
-
Western blot analysis of extracts from 3T3 cells untreated or treated with Insulin using IRS-1(Phospho-Ser636) Antibody.
-
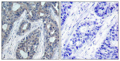
Immunohistochemical analysis of paraffin-embedded human breast carcinoma tissue using IRS-1(Phospho-Ser636) Antibody(left) or the same antibody preincubated with blocking peptide(right).
-
-
其他:
產品詳情
-
產品名稱:Rabbit anti-Homo sapiens (Human) IRS1 Polyclonal antibody
-
Uniprot No.:
-
基因名:
-
宿主:Rabbit
-
反應種屬:Human,Mouse,Rat
-
免疫原:Peptide sequence around phosphorylation site of serine 636 (P-M-S(p)-P-K) derived from Human IRS-1.
-
免疫原種屬:Homo sapiens (Human)
-
克隆類型:Polyclonal
-
純化方式:Antibodies were produced by immunizing rabbits with synthetic phosphopeptide and KLH conjugates. Antibodies were purified by affinity-chromatography using epitope-specific phosphopeptide. Non-phospho specific antibodies were removed by chromatogramphy usi
-
濃度:It differs from different batches. Please contact us to confirm it.
-
產品提供形式:Liquid
-
應用范圍:ELISA,WB,IHC
-
推薦稀釋比:
Application Recommended Dilution WB 1:500-1:1000 IHC 1:50-1:100 -
Protocols:
-
儲存條件:Upon receipt, store at -20°C or -80°C. Avoid repeated freeze.
-
貨期:Basically, we can dispatch the products out in 1-3 working days after receiving your orders. Delivery time maybe differs from different purchasing way or location, please kindly consult your local distributors for specific delivery time.
-
用途:For Research Use Only. Not for use in diagnostic or therapeutic procedures.
引用文獻
相關產品
靶點詳情
-
功能:May mediate the control of various cellular processes by insulin. When phosphorylated by the insulin receptor binds specifically to various cellular proteins containing SH2 domains such as phosphatidylinositol 3-kinase p85 subunit or GRB2. Activates phosphatidylinositol 3-kinase when bound to the regulatory p85 subunit.
-
基因功能參考文獻:
- ER and IRS-1 subgroups appear to be critical factors for the prediction of breast cancer recurrence. In particular, we suggest that the patients who have ER-positive and IRS-1-negative breast cancer undergo more aggressive treatment because they have poorer prognoses. PMID: 29970713
- our findings suggested that the overexpression of LncRNA H19 could inhibit cell proliferation and promoted apoptosis via downregulation of IRS-1 in thyroid cancer cells in vitro. These findings might provide important clues for the establishment of LncRNA H19 functional network in thyroid cancer. Long noncoding RNA H19 might be a potential new target for antitumor therapy of thyroid cancer PMID: 29332545
- Acute loss of IRS1/IRS2 or inhibition of IR/IGF1R in KRAS-mutant human NSCLC cells decreases the uptake and lowers the intracellular levels of amino acids, while enhancing basal autophagy and sensitivity to autophagy and proteasome inhibitors. PMID: 29610318
- S6K1-dependent IRS-1pSer suppresses insulin signaling leading to insulin resistance, which is frequently observed in AD brains. Notably, miR-200b/c transfection of SH-SY5Y cells reduced the levels of IRS-1pSer. This finding indicates that miR-200b/c has the potential to alleviate insulin resistance via modulation of S6K1 PMID: 29738527
- Together, miR-145 mimics suppress cell proliferation by targeting and inhibiting IRS1 expression to inhibit MAPK/ERK signaling pathways. PMID: 27799458
- Data suggest that Y537S/D538G ESR1 mutant breast cancer cell lines exhibit enhanced proliferation in response to IGF1/IGF1R signaling; mechanism involves IRS1; here, knockdown of IRS1 attenuates enhanced IGF1/IGF1R signaling response in ESR1 mutant cells. (ESR1 = estrogen receptor 1; IGF1 = insulin like growth factor 1; IGF1R = IGF1 receptor; IRS1 = insulin receptor substrate 1) PMID: 29029116
- The effect of PF may be associated with its role in inhibiting de novo lipid synthesis and in regulating the ROCK/IRS/Akt signalling pathways. PMID: 28380411
- Gene expression for insulin receptor substrate 1 (IRS-1), protein kinase B (Akt-2) and glucose transporter 4 (GLUT-4) genes were evaluated by real time PCR. PMID: 28364599
- Reduced insulin receptor substrate-1 (IRS-1) staining in lung adenocarcinoma tissue microarray displayed a significant survival disadvantage, especially within the Kirsten rat sarcoma viral oncogene homolog (KRAS) mutant subgroup. PMID: 27439864
- This study examined the normal regional brain expression of IRS-1 and found a significant correlation with the volumetric associated with regional atrophy in Alzheimer's disease. PMID: 28105773
- Data show that MIR126 induces autophagic flux in malignant mesothelioma (MM) cells by downregulating insulin receptor substrate-1 (IRS1) and disrupting the IRS1 signaling pathway. PMID: 27119351
- IRS1/beta-Catenin Axis Is Activated and Induces MYC Expression in Acute Lymphoblastic Leukemia Cells PMID: 27987331
- These effects were exerted by changes on the phosphorylation of IRS-1. PMID: 28011403
- Allele and genotype frequencies of rs1801278 in IRS1 showed significant differences between cases and controls for obstructive sleep apnea risk in Chinese Han population. PMID: 27509181
- Gly972Arg of IRS-1 polymorphisms are associated with polycystic ovary syndrome. PMID: 27785750
- G allele of the rs7578326 SNP in the LOC646736/IRS1 region is significantly associated with gestational diabetes mellitus. PMID: 28072873
- The results suggest that high glucose compromises the insulin signaling pathway in the glomerulus, promoting a proapoptotic environment, with a possible critical step for this malfunction lying at the level of IRS-1 phosphorylation. PMID: 27434075
- The C-allele of IRS1 variant rs2943650 was significantly associated with higher Body Fat Percentage overall and was significantly associated with lower levels of fasting insulin, homeostatic model assessment of insulin resistance, hemoglobin A1c, and triglycerides and higher high-density lipoprotein cholesterol in United States Hispanics/Latinos. PMID: 27663718
- IRS-1 and IRS-2 signaling interaction with the microtubule cytoskeleton and its response to AKT determines the response to microtubule disruption in breast carcinoma cells PMID: 28320862
- Consistent with these observations, LPIN1 levels were positively correlated with IRS1 expression in human breast cancer. Thus, our results indicate a mechanism by which IRS1 expression is increased in breast cancer, and LPIN1 may be a promising drug target for anticancer therapy PMID: 27729374
- IRS1 Gene Polymorphism is associated with Autism Spectrum Disorder. PMID: 27483248
- High IRS1 expression is associated with hepatocellular carcinoma. PMID: 27542674
- In the renal proximal tubule, insulin signaling via IRS1 is inhibited, while insulin signaling via IRS2 is preserved. Insulin signaling via IRS2 continues to stimulate sodium reabsorption in the proximal tubule and causes sodium retention, edema, and hypertension. PMID: 27247938
- miR-195 inhibits tumor angiogenesis through suppressing IRS1-VEGF axis. PMID: 27133044
- The Arg(972) IRS-1 polymorphism is associated with increased risk and disease activity/severity of rheumatoid arthritis, and therefore may be a potential prognostic factor for RA. PMID: 25424426
- In this exploratory analysis, IRS1, ENNP1 and TRIB3, known to be associated with type 2 diabetes and harboring genes playing a prominent role in mediating insulin signaling, may modulate a number of cardiometabolic phenotypes in patients of Italian ancestry with newly-diagnosed type 2 diabetes. PMID: 26868433
- In accordance with previous studies, our findings suggest that the IRS1 G972R R allele and RR+GR genotype have protective effects for colorectal cancer (CRC) in overweight/obese patients and for obesity in patients with CRC. PMID: 26349669
- FRET-based translocation assays reveal that insulin promotes the association of both p62 and aPKC with the insulin-regulated scaffold IRS-1. PMID: 27143478
- HCV NS5A favors serine phosphorylation of IRS-1, promoting insulin resistance through IRS-1 serine phosphorylation and increased gluconeogenesis. PMID: 26604643
- High IRS1 Expression is associated with Colorectal Cancer. PMID: 26577117
- failed to find any association between the IRS1 Gly972Arg polymorphism and T2DM PMID: 26620983
- rs1801278 in IRS1 gene may play a role in type 2 diabetes risk, especially in Asian and rs2943641 may be associated with type 2 diabetes risk in Caucasian.[meta-analysis] PMID: 26582067
- Upregulation of IRS1 was associated with metastasis of gastric carcinoma. PMID: 26684358
- The G allele of rs13431554 in the IRS-1 gene was associated with a hyperreactive platelet phenotype in the coronary artery disease patients with T2DM. PMID: 27005817
- miR-126 functions as a tumor suppressor in glioma cells by targeting IRS-1 expression via the PI3K/AKT signaling pathways PMID: 26617742
- Results showd that miR-128 was negatively associated with IRS1 in colorectal carcinoma (CRC) tissues and suggested that miR-128 serves as a tumor suppressor and blocks CRC growth and metastasis by targeting IRS1. PMID: 26352220
- IRS-specific gene signatures represent accurate surrogates of IGF activity and could predict response to anti-IGF therapy in breast cancer. PMID: 26991655
- Data suggest that IRS1 tyrosine phosphorylation, insulin sensitivity, and glucose internalization in visceral adipocytes can be up-regulated by dietary components (here, protocatechuic acid, a metabolite of dietary anthocyanins). PMID: 25944785
- genetic association studies in population in Austria: Data suggest that a haplotype upstream of IRS1 protects against insulin resistance, type 2 diabetes, dyslipidemias, and atherosclerosis. PMID: 26090471
- Arg972 IRS-1 inhibits endothelial nitric oxide synthase expression in human endothelial cells by upregulating miR-155 expression through the impairment of phosphatidylinositol-3 kinase signaling. PMID: 25902041
- Alpha-Syn overexpression negatively regulated IRS-1 via mTORC1/S6K1 signaling while activation of PP2A reverses this process. PMID: 25813876
- hepatic insulin resistance in human obesity is: advanced; BMI-correlated; and involves aPKC-activating ceramide; aPKC levels and activity; IRS-1 levels, Akt activity, and FoxO1 phosphorylation; and increases in expression/abundance of PGC-1alpha PMID: 26386696
- Arg972 IRS-1 enhances TNF-alpha-induced apoptosis in osteoblasts from rheumatoid arthritis patients. PMID: 25760103
- Hepatitis C virus infection suppresses the insulin signaling pathway and promotes insulin resistance by repressing PTEN, subsequently leading to decreased levels of IRS-1 and increased levels of Ser307-phosphorylated IRS-1. PMID: 25645159
- AFB1 downregulates IRS1 but paradoxically upregulates IRS2 through positive regulation of the stability of IRS2 and the proteasomal degradation of IRS1 in lung cancer cell lines A549 and SPCA-1. PMID: 25820822
- Gly972Arg was not associated with obesity, insulin resistance/sensitivity or type 2 diabetes mellitus PMID: 25214251
- Results show that in esophageal squamous cell carcinoma (ESCC), miR-126 was downregulated and IRS-1 and GOLPH3, overexpressed suggesting a tumor suppression role of miR-126 via the regulation of IRS-1 and GOLPH3. PMID: 25017784
- our study found that the genetic polymorphisms rs10830963 and rs1387153 in MTNR1B and rs1801278 in IRS1 were associated with an increased risk of developing GDM. PMID: 25146448
- Results suggest that a genetic variation in the insulin signaling pathway genes IRS1, IRS2 and INSR may affect the therapeutic response of temporal lobe epilepsy PMID: 25458098
- N-myristoylated Cblin prevents DEX-induced skeletal muscle atrophy in vitro and in vivo, and N-myristoylated Cblin more effectively prevents muscle atrophy than unmodified Cblin PMID: 25689493
顯示更多
收起更多
-
相關疾病:Diabetes mellitus, non-insulin-dependent (NIDDM)
-
數據庫鏈接:
Most popular with customers
-
-
YWHAB Recombinant Monoclonal Antibody
Applications: ELISA, WB, IHC, IF, FC
Species Reactivity: Human, Mouse, Rat
-
-
-
-
-
-















