HRH3
HRH3,即組胺受體H3,別名組胺H3受體。它是一種G蛋白偶聯受體(GPCR)家族成員,主要在中樞神經系統的組胺能神經元上表達,同時也在免疫細胞等外周組織中發揮作用。HRH3的作用機制主要涉及調節神經遞質的合成和釋放,它在突觸前作為自身受體抑制組胺的合成和分泌,在突觸后作為異源受體調節其他神經遞質的活性。HRH3的激活可以影響多種生理過程,包括睡眠-覺醒周期、食欲、認知功能以及腦缺血等。HRH3在生物學上的意義非常廣泛,它不僅參與調節中樞神經系統的功能,還與多種疾病的發生發展相關。例如,在肝臟中,HRH3的表達水平與肝細胞癌的發展有關。此外,HRH3還涉及到自身免疫性疾病,如多發性硬化癥,其在神經源性控制中整合了外周炎癥信號。HRH3的功能異常與精神分裂癥等精神疾病的陰性癥狀和認知功能有關,因此,HRH3拮抗劑的開發為這些疾病的治療提供了新的策略。
熱銷產品
HRH3 Recombinant Monoclonal Antibody (CSB-RA783626A0HU)
驗證數據
Overlay Peak curve showing SH-SY5Y cells surface stained with CSB-RA783626A0HU (red line) at 1:50. Then 10% normal goat serum to block non-specific protein-protein interactions followed by the antibody (1μg/1*106cells) for 45min at 4℃. The secondary antibody used was FITC-conjugated Goat Anti-rabbit IgG(H+L) at 1:200 dilution for 35min at 4℃.Control antibody (green line) was rabbit IgG (1μg/1*106cells) used under the same conditions. Acquisition of >10,000 events was performed.
HRH3 Antibody (CSB-PA897568LA01HU)
驗證數據
Western Blot
Positive WB detected in: A549 whole cell lysate
All lanes: HRH3 antibody at 2.5µg/ml
Secondary
Goat polyclonal to rabbit IgG at 1/50000 dilution
Predicted band size: 49, 50, 41, 48, 37, 46 kDa
Observed band size: 49 kDa
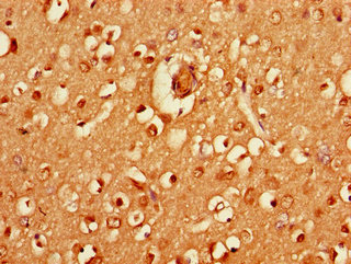
Immunohistochemistry of paraffin-embedded human brain tissue using CSB-PA897568LA01HU at dilution of 1:100
Immunofluorescent analysis of A549 cells using CSB-PA897568LA01HU at dilution of 1:100 and Alexa Fluor 488-congugated AffiniPure Goat Anti-Rabbit IgG(H+L)
HRH3 Antibodies
HRH3 for Homo sapiens (Human)
| 產品貨號 | 產品名稱 | 種屬反應性 | 應用類型 |
|---|---|---|---|
| CSB-PA006801 | HRH3 Antibody | Human,Mouse,Rat | WB, IHC, IF, ELISA |
| CSB-PA923826 | HRH3 Antibody | Human,Mouse | ELISA,WB,IHC |
| CSB-PA961167 | HRH3 Antibody | Human | ELISA,IHC |
| CSB-PA897568LA01HU | HRH3 Antibody | Human | ELISA, WB, IHC, IF |
| CSB-PA897568LB01HU | HRH3 Antibody, HRP conjugated | Human | ELISA |
| CSB-PA897568LD01HU | HRH3 Antibody, Biotin conjugated | Human | ELISA |
| CSB-RA783626A0HU | HRH3 Recombinant Monoclonal Antibody | Human | ELISA, FC |
HRH3 Proteins
HRH3 Proteins for Mus musculus (Mouse)
| 產品貨號 | 產品名稱 | 來源 |
|---|---|---|
| CSB-YP010739MO1 CSB-EP010739MO1 CSB-BP010739MO1 CSB-MP010739MO1 CSB-EP010739MO1-B |
Recombinant Mouse Histamine H3 receptor (Hrh3), partial | Yeast E.coli Baculovirus Mammalian cell In Vivo Biotinylation in E.coli |
| CSB-CF010739MO | Recombinant Mouse Histamine H3 receptor (Hrh3) | in vitro E.coli expression system |
HRH3 Proteins for Cavia porcellus (Guinea pig)
| 產品貨號 | 產品名稱 | 來源 |
|---|---|---|
| CSB-YP884909GU1 CSB-EP884909GU1 CSB-BP884909GU1 CSB-MP884909GU1 CSB-EP884909GU1-B |
Recombinant Guinea pig Histamine H3 receptor (HRH3), partial | Yeast E.coli Baculovirus Mammalian cell In Vivo Biotinylation in E.coli |
| CSB-CF884909GU | Recombinant Guinea pig Histamine H3 receptor (HRH3) | in vitro E.coli expression system |
HRH3 Proteins for Rattus norvegicus (Rat)
| 產品貨號 | 產品名稱 | 來源 |
|---|---|---|
| CSB-YP886187RA1 CSB-EP886187RA1 CSB-BP886187RA1 CSB-MP886187RA1 CSB-EP886187RA1-B |
Recombinant Rat Histamine H3 receptor (Hrh3), partial | Yeast E.coli Baculovirus Mammalian cell In Vivo Biotinylation in E.coli |
| CSB-CF886187RA | Recombinant Rat Histamine H3 receptor (Hrh3) | in vitro E.coli expression system |
HRH3 Proteins for Homo sapiens (Human)
| 產品貨號 | 產品名稱 | 來源 |
|---|---|---|
| CSB-YP897568HU1 CSB-EP897568HU1 CSB-BP897568HU1 CSB-MP897568HU1 CSB-EP897568HU1-B |
Recombinant Human Histamine H3 receptor (HRH3), partial | Yeast E.coli Baculovirus Mammalian cell In Vivo Biotinylation in E.coli |
| CSB-CF897568HU | Recombinant Human Histamine H3 receptor (HRH3) | in vitro E.coli expression system |
| CSB-MP897568HU | Recombinant Human Histamine H3 receptor (HRH3)-VLPs | Mammalian cell |
| CSB-MP897568HUf4 | Recombinant Human Histamine H3 receptor (HRH3)-VLPs, Fluorescent | Mammalian cell |






