HRH3 Antibody
-
中文名稱:HRH3兔多克隆抗體
-
貨號:CSB-PA961167
-
規格:¥1100
-
圖片:
-
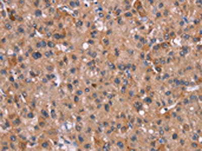
The image on the left is immunohistochemistry of paraffin-embedded Human gastic cancer tissue using CSB-PA961167(HRH3 Antibody) at dilution 1/40, on the right is treated with synthetic peptide. (Original magnification: ×200)
-
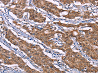
The image on the left is immunohistochemistry of paraffin-embedded Human liver cancer tissue using CSB-PA961167(HRH3 Antibody) at dilution 1/40, on the right is treated with synthetic peptide. (Original magnification: ×200)
-
-
其他:
產品詳情
-
Uniprot No.:
-
基因名:
-
別名:HRH3; GPCR97; Histamine H3 receptor; H3R; HH3R; G-protein coupled receptor 97
-
宿主:Rabbit
-
反應種屬:Human
-
免疫原:Synthetic peptide of Human HRH3
-
免疫原種屬:Homo sapiens (Human)
-
標記方式:Non-conjugated
-
抗體亞型:IgG
-
純化方式:Antigen affinity purification
-
濃度:It differs from different batches. Please contact us to confirm it.
-
保存緩沖液:-20°C, pH7.4 PBS, 0.05% NaN3, 40% Glycerol
-
產品提供形式:Liquid
-
應用范圍:ELISA,IHC
-
推薦稀釋比:
Application Recommended Dilution ELISA 1:2000-1:5000 IHC 1:50-1:200 -
Protocols:
-
儲存條件:Upon receipt, store at -20°C or -80°C. Avoid repeated freeze.
-
貨期:Basically, we can dispatch the products out in 1-3 working days after receiving your orders. Delivery time maybe differs from different purchasing way or location, please kindly consult your local distributors for specific delivery time.
-
用途:For Research Use Only. Not for use in diagnostic or therapeutic procedures.
相關產品
靶點詳情
-
功能:The H3 subclass of histamine receptors could mediate the histamine signals in CNS and peripheral nervous system. Signals through the inhibition of adenylate cyclase and displays high constitutive activity (spontaneous activity in the absence of agonist). Agonist stimulation of isoform 3 neither modified adenylate cyclase activity nor induced intracellular calcium mobilization.
-
基因功能參考文獻:
- These results indicate that in SH-SY5Y cells, hH3R445 and hH3R365 isoforms regulate in a differential manner the signaling pathways triggered by receptor activation. PMID: 29557708
- results indicate that the single-point Y197C mutation, in the aminus region of TM5 of the hH3R445, does not affect the expression, ligand binding or signaling of the receptor PMID: 28126588
- We detected high H3R expression in oligodendroglial cells from demyelination lesions in human samples of patients with MS, and validated a genetic association between an exonic single nucleotide polymorphism in HRH3 and susceptibility to multiple sclerosis. PMID: 29253893
- These findings for the first time screen out one SNP (rs3787429) of HRH3 gene that was significantly associated with CHF in Chinese Han population PMID: 26989676
- Decrease in histamine H3 receptor function was linked to epileptic activity in the hippocampus and temporal neocortex of patients with pharmacoresistant mesial temporal lobe epilepsy. PMID: 26915454
- Molecular modelling studies, including molecular dynamic simulations and calculation of Gibbs energy of solvation of hH3R and hH4R, were studied. PMID: 25098339
- The polymorphisms of HNMT and HRH3 were irrelevant with breast cancer in the present study. PMID: 24835231
- the anatomical localization of Hreceptors suggests a complex interaction that could both enhance and inhibit dopaminergic neurotransmission; tt is conceivable that Hreceptors can moderate the development and maintenance of drug addiction. PMID: 23647606
- The A280V mutation reduces the signalling efficacy of the human H3 receptor; this effect may be relevant to the pathophysiology of disorders associated with the mutation PMID: 23713487
- Report synthesis/functional characterization of imbutamine analogs as histamine H3 agonists. PMID: 24493592
- In this review, we focus on the role of histamine and its receptors in the treatment of Alzheimer's disease. PMID: 23677734
- [review] The H1, H2, and H3 receptors are all involved in recovery of neurological function when extracellular histamine is gradually increasing, after cerebral ischemia. PMID: 22860191
- mRNA expression of HRH-3 localized in large pigmented neurons is significantly decreased in the substantia nigra of Parkinson's patients. PMID: 22118942
- ZEL-H16 is a novel and potent nonimidazole agonist of H3R, which might serve as a pharmacological tool for future investigations or as possible therapeutic agent of H3R. PMID: 22870296
- Significant association of HRH3 with antipsychotic efficacy was detected. PMID: 21652606
- study identified novel functional properties in terms of voltage sensitivities and deactivation rates, which differed between the histamine hH3445, hH3365, and H4 receptors PMID: 22885137
- Histamine H3 receptor levels are unchanged in subcortical ischemic vascular dementia and mixed dementias in all brain areas studied. PMID: 22129936
- The hydrophobic amino acids in putative helix 8 in carboxy-terminus of histamine H(3) receptor are involved in receptor-G-protein coupling. PMID: 21749919
- Data suggest that V-allele genotypes in the H3 receptor gene increase inactive receptors, enhancing inhibition of negative feedback mechanism on the H3 receptor and increasing histamine release, correlating with migraine attacks in susceptible patients. PMID: 21376262
- This review outlines the relevance of the histaminergic system in controlling feeding behavior and evaluates the potential role of the histamine H3 receptor as a target for regulating obesity. PMID: 20864503
- Modulation of PKCalpha by histamine receptors may be important in regulating cholangiocarcinoma growth. PMID: 19825989
- Analogous to the effects of alpha(2)-adrenoceptors, which also act prejunctionally to inhibit norepinephrine release, H(3)R-mediated antiexocytotic effects could result from a decreased Ca(2+) influx into nerve endings PMID: 11752397
- The structure of HRH3 has been determined and a missense mutation (Ala280Val) identified in a patient with Shy-Drager syndrome. PMID: 11956964
- Molecular cloning of functionally distinct isoforms of the human histamine H(3) receptor PMID: 12069903
- Densities of histamine H(3) receptor sites were significantly decreased in patient material. PMID: 12971961
- absence of H3 receptor in human skin mast cells PMID: 15191551
- The human H(3)receptor gene suggested to consist of either 3 exons and 2 introns, or 4 exons and 3 introns, with ...additional exon accounting for...8 additional carboxy(C)-terminal amino acids...in some human H(3) receptor sequences PMID: 15665857
- we describe the biological and chemical implications for developing H3 receptor antagonists and their therapeutic potential as disclosed through animal models of cognition, sleep, and obesity. PMID: 16565470
- The purpose of this study was to identify the structural requirements for H3 antagonistic activity via quantitative structure-activity relationship (QSAR) studies and receptor modeling/docking techniques. PMID: 17561422
- Histamine excites human enteric neurones and this effect involves histamine H1-4 receptors. PMID: 17627982
- Data show that histamine regulates pancreatic carcinoma cell growth through H3 and H4 receptors. PMID: 18345506
- H(3)R is localized mainly around submucosal glands and plays an important role in the secretion of submucosal glands in the nose. PMID: 18564330
- role in neurogenic inflammation PMID: 18802338
- D1-H3 receptor heteromers constitute unique devices that can direct dopaminergic and histaminergic signalling towards the MAPK pathway in a G(s)-independent and G(i)-dependent manner. PMID: 19413572
- Histamine H3 receptors in the prefrontal cortex take part in the modulation of cognition, which is impaired in schizophrenic subjects and bipolar subjects with psychotic symptoms. PMID: 19413576
顯示更多
收起更多
-
亞細胞定位:Cell membrane; Multi-pass membrane protein.
-
蛋白家族:G-protein coupled receptor 1 family
-
組織特異性:Expressed predominantly in the CNS, with the greatest expression in the thalamus and caudate nucleus. The various isoforms are mainly coexpressed in brain, but their relative expression level varies in a region-specific manner. Isoform 3 and isoform 7 are
-
數據庫鏈接:
Most popular with customers
-
-
YWHAB Recombinant Monoclonal Antibody
Applications: ELISA, WB, IHC, IF, FC
Species Reactivity: Human, Mouse, Rat
-
Phospho-YAP1 (S127) Recombinant Monoclonal Antibody
Applications: ELISA, WB, IHC
Species Reactivity: Human
-
-
-
-
-















