FLT3
FLT3,即FMS樣酪氨酸激酶3,別名CD135。它是一種III型受體酪氨酸激酶(RTK),在造血干細胞、前體B細胞等的增殖、分化以及存活中具有重要作用。FLT3基因突變是急性髓系白血病(AML)患者中最常見的基因改變之一,也是預后不良的重要因素。這些突變導致FLT3受體在不依賴FLT3配體(FL)的情況下,持續自身磷酸化,異常激活下游的信號通路,如PI3K/AKT、RAS/MAPK/ERK和STAT5等,從而促進細胞增殖和抑制凋亡。FLT3對于維持正常的造血功能至關重要。然而,當FLT3發生突變時,它可能導致白血病的發生。FLT3突變的AML患者通常具有較高的外周血白細胞計數、較差的臨床預后,并且容易復發。FLT3抑制劑的開發為AML患者提供了新的治療選擇,這些抑制劑通過競爭性抑制FLT3受體中的ATP結合位點,導致細胞周期停滯和分化,從而抑制白血病細胞的增殖。
熱銷產品
Recombinant Human Receptor-type tyrosine-protein kinase FLT3 (FLT3), partial (CSB-BP008733HU1)
驗證數據
(Tris-Glycine gel) Discontinuous SDS-PAGE (reduced) with 5% enrichment gel and 15% separation gel.
驗證數據
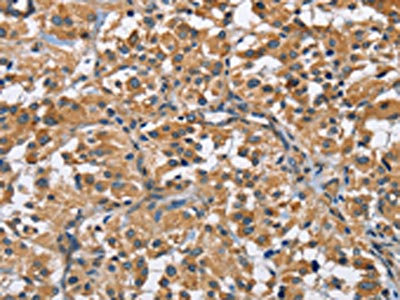
The image on the left is immunohistochemistry of paraffin-embedded Human thyroid cancer tissue using CSB-PA930678(FLT3 Antibody) at dilution 1/50, on the right is treated with fusion protein. (Original magnification: ×200)
The image on the left is immunohistochemistry of paraffin-embedded Human brain tissue using CSB-PA930678(FLT3 Antibody) at dilution 1/50, on the right is treated with fusion protein. (Original magnification: ×200)
Human FMS-like tyrosine kinase 3,Flt3 ELISA Kit (CSB-E04556h)
驗證數據
貨號:CSB-E04556h
規格:96T/48T
靈敏度:15.6 pg/mL
檢測范圍:62.5 pg/mL-4000 pg/mL
These standard curves are provided for demonstration only. A standard curve should be generated for each set of samples assayed.
FLT3 Antibodies
FLT3 for Homo sapiens (Human)
| 產品貨號 | 產品名稱 | 種屬反應性 | 應用類型 |
|---|---|---|---|
| CSB-PA008733GA01HU | FLT3 Antibody | Human,Mouse,Rat | ELISA,WB |
| CSB-PA546306 | FLT3 (Ab-591) Antibody | Human | ELISA,WB,IF |
| CSB-PA254158 | Phospho-FLT3 (Tyr842) Antibody | Human,Mouse | ELISA,WB |
| CSB-PA006265 | FLT3 Antibody | Human,Mouse,Rat | WB, ELISA |
| CSB-PA008339 | Phospho-FLT3 (Y599) Antibody | Human,Mouse,Monkey | WB, ELISA |
| CSB-PA008340 | Phospho-FLT3 (Y842) Antibody | Human,Mouse | WB, ELISA |
| CSB-PA008341 | Phospho-FLT3 (Y969) Antibody | Human | WB, IHC, ELISA |
| CSB-PA008343 | FLT3 Antibody | Human,Mouse | WB, ELISA |
| CSB-PA930678 | FLT3 Antibody | Human,Mouse | ELISA,IHC |
| CSB-PA922469 | FLT3 Antibody | Human,Mouse,Rat | ELISA,WB,IHC |
| CSB-PA008733LA01HU | FLT3 Antibody | Human | ELISA, WB |
| CSB-PA008733LB01HU | FLT3 Antibody, HRP conjugated | Human | ELISA |
| CSB-PA008733LC01HU | FLT3 Antibody, FITC conjugated | Human | |
| CSB-PA008733LD01HU | FLT3 Antibody, Biotin conjugated | Human | ELISA |
FLT3 Proteins
FLT3 Proteins for Homo sapiens (Human)
| 產品貨號 | 產品名稱 | 來源 |
|---|---|---|
| CSB-YP008733HU CSB-EP008733HU CSB-BP008733HU CSB-MP008733HU CSB-EP008733HU-B |
Recombinant Human Receptor-type tyrosine-protein kinase FLT3 (FLT3), partial | Yeast E.coli Baculovirus Mammalian cell In Vivo Biotinylation in E.coli |
| CSB-BP008733HU1 | Recombinant Human Receptor-type tyrosine-protein kinase FLT3 (FLT3), partial | Baculovirus |
| CSB-BP008733HU1b0 | Recombinant Human Receptor-type tyrosine-protein kinase FLT3 (FLT3), partial | Baculovirus |
| CSB-BP008733HU1a0 | Recombinant Human Receptor-type tyrosine-protein kinase FLT3 (FLT3), partial | Baculovirus |
| CSB-EP008733HU1 | Recombinant Human Receptor-type tyrosine-protein kinase FLT3 (FLT3), partial | E.coli |
FLT3 ELISA Kit
FLT3 ELISA Kit for Homo sapiens (Human)
| 產品貨號 | 產品名稱 | 樣本類型 | 靈敏度 |
|---|---|---|---|
| CSB-E04556h | Human FMS-like tyrosine kinase 3,Flt3 ELISA Kit | serum, plasma, tissue homogenates | 15.6 pg/mL |






