FLT3 Antibody
-
中文名稱:FLT3兔多克隆抗體
-
貨號:CSB-PA922469
-
規格:¥1100
-
圖片:
-
The image on the left is immunohistochemistry of paraffin-embedded Human thyroid cancer tissue using CSB-PA922469(FLT3 Antibody) at dilution 1/30, on the right is treated with fusion protein. (Original magnification: ×200)
-
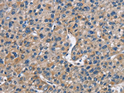
The image on the left is immunohistochemistry of paraffin-embedded Human liver cancer tissue using CSB-PA922469(FLT3 Antibody) at dilution 1/30, on the right is treated with fusion protein. (Original magnification: ×200)
-
Gel: 6%SDS-PAGE, Lysate: 40 μg, Lane 1-2: Lovo cells, 231 cells, Primary antibody: CSB-PA922469(FLT3 Antibody) at dilution 1/240, Secondary antibody: Goat anti rabbit IgG at 1/8000 dilution, Exposure time: 15 seconds
-
-
其他:
產品詳情
-
Uniprot No.:
-
基因名:
-
別名:CD 135 antibody; CD135 antibody; CD135 antigen antibody; Fetal liver kinase 2 antibody; FL cytokine receptor antibody; Flk 2 antibody; Flk2 antibody; Flt 3 antibody; FLT-3 antibody; Flt3 antibody; FLT3_HUMAN antibody; FMS like tyrosine kinase 3 antibody; Fms related tyrosine kinase 3 antibody; Fms-like tyrosine kinase 3 antibody; Growth factor receptor tyrosine kinase type III antibody; Ly-72 antibody; OTTHUMP0000004234 antibody; Receptor type tyrosine protein kinase FLT3 antibody; Stem cell tyrosine kinase 1 antibody; Stk 1 antibody; STK-1 antibody; Stk1 antibody; Tyrosine protein kinase receptor FLT3 antibody; Tyrosine-protein kinase receptor FLT3 antibody
-
宿主:Rabbit
-
反應種屬:Human,Mouse,Rat
-
免疫原:Fusion protein of Human FLT3
-
免疫原種屬:Homo sapiens (Human)
-
標記方式:Non-conjugated
-
抗體亞型:IgG
-
純化方式:Antigen affinity purification
-
濃度:It differs from different batches. Please contact us to confirm it.
-
保存緩沖液:-20°C, pH7.4 PBS, 0.05% NaN3, 40% Glycerol
-
產品提供形式:Liquid
-
應用范圍:ELISA,WB,IHC
-
推薦稀釋比:
Application Recommended Dilution ELISA 1:1000-1:2000 WB 1:200-1:1000 IHC 1:25-1:100 -
Protocols:
-
儲存條件:Upon receipt, store at -20°C or -80°C. Avoid repeated freeze.
-
貨期:Basically, we can dispatch the products out in 1-3 working days after receiving your orders. Delivery time maybe differs from different purchasing way or location, please kindly consult your local distributors for specific delivery time.
-
用途:For Research Use Only. Not for use in diagnostic or therapeutic procedures.
相關產品
靶點詳情
-
功能:Tyrosine-protein kinase that acts as cell-surface receptor for the cytokine FLT3LG and regulates differentiation, proliferation and survival of hematopoietic progenitor cells and of dendritic cells. Promotes phosphorylation of SHC1 and AKT1, and activation of the downstream effector MTOR. Promotes activation of RAS signaling and phosphorylation of downstream kinases, including MAPK1/ERK2 and/or MAPK3/ERK1. Promotes phosphorylation of FES, FER, PTPN6/SHP, PTPN11/SHP-2, PLCG1, and STAT5A and/or STAT5B. Activation of wild-type FLT3 causes only marginal activation of STAT5A or STAT5B. Mutations that cause constitutive kinase activity promote cell proliferation and resistance to apoptosis via the activation of multiple signaling pathways.
-
基因功能參考文獻:
- Multivariate Cox's proportional hazards regression analyses revealed that OCT4 mRNA high expression was an independent predictive factor for shorter EFS and OS in AML patients. Conclusion OCT4 correlates with presence of CK, FLT3-ITD mutation and poorer risk stratification, and it could be served as a convincing biomarker for predicting unfavourable prognosis in AML patients. PMID: 29950146
- Results indicate that DNMT3A mutations alone do not affect the clinical outcomes of AML patients undergoing allogeneic HSCT, but when accompanied by FLT3-ITD mutations, the OS was significantly reduced (5-year OS 0% for DNMT3A R882mut/FLT3-ITDpos patients vs. 62% DNMT3A R882wt/FLT3-ITDneg, p=0.025) and the relapse rate increased. PMID: 29786546
- RIPK3-dependent cell death and inflammasome activation in FLT3-internal-tandem-duplication-expressing leukemia-initiating cells PMID: 27517160
- The results suggested that FLT3 ITD mutations could become an indicator of poor prognosis of APL, and these patients should receive more intensive therapy according to current guidelines. PMID: 29251252
- Low FLT3 expression is associated with Pancreatic ductal adenocarcinoma. PMID: 30275197
- DNMT3A R882 mutation plays an important role in CN-AML patients' prognosis and clinical outcomes in the presence and absence of NPM1 and FLT3 mutations. PMID: 29079128
- the FLT3 inhibitor AC220 inhibited glutamine flux into the antioxidant factor glutathione profoundly due to defective glutamine import. PMID: 28947392
- Mutation in FLT3 gene is associated with Acute Myeloid Leukemia. PMID: 29530994
- Acute myeloid leukemia harboring internal tandem duplication of FMS-like tyrosine kinase 3 (AML(FLT3-ITD)) is associated with poor prognosis. PMID: 29330746
- Impact of FLT3-ITD diversity on response to induction chemotherapy in patients with acute myeloid leukemia has been described. PMID: 28034991
- The results of the present study showed that the overexpression of FLT3 is a potential risk factor in leukemia. PMID: 29257272
- In this study, FLT3 and NPM1 mutations were evaluated in adult Iranian patients with de novo cytogenetically normal acute myeloid leukemia and its correlations with clinical and laboratory parameters were also assessed. PMID: 28294102
- FLT3 and FLT3-ITD can directly bind and selectively phosphorylate p27kip1 on tyrosine residue 88 in acute myeloid leukemia. Inhibition of FLT3-ITD in cell lines strongly reduced p27 tyrosine 88 phosphorylation and resulted in increased p27 levels and cell cycle arrest PMID: 28522571
- study showed that FLT3 can be targeted by FLT3-CAR T cells for the treatment FLT3(+) AML. FLT3-CAR T cells may provide a new immunotherapeutic approach for AML patients PMID: 28496177
- The high expressions of BCRP mRNA calculated with Pfaffl's rule and FLT3-ITD are independent poor risk factors in adult patients with AML and intermediate or normal karyotype. PMID: 28618074
- The new and recurrent FLT3 juxtamembrane deletion mutation shows a dominant negative effect on the wild-type FLT3 receptor. PMID: 27346558
- FLT3 cell-surface expression did not vary by FLT3 mutational status, but high FLT3 expression was strongly associated with KMT2A rearrangements. Our study found that there was no prognostic significance of FLT3 cell surface expression in pediatric Acute Myeloid Leukemia PMID: 28108543
- DNA mutational analysis in FLT3 in acute myeloid leukemia. PMID: 27071442
- data confirm MLL-PTD and, to a lesser extent, FLT3-ITD as common events in +11 AML.6, 7, 8 However, the high mutation frequencies of U2AF1 and genes involved in methylation (DNMT3A, IDH2) have hitherto not been reported in +11 AML PMID: 27435003
- The cytokine Fms-like tyrosine kinase 3 ligand is an important regulator of hematopoiesis. Its receptor, Flt3, is expressed on myeloid, lymphoid and dendritic cell progenitors and is considered an important growth and differentiation factor for several hematopoietic lineages. [review] PMID: 28538663
- FLT3 amplification in solid cancers is infrequently observed using targeted genomic profile, as yet, FLT3 amplification does not seem to be an actionable target or a proper biomarker for FLT3 inhibitor sensitivity. PMID: 27906677
- FLT3 has a role in cytarabine transport by SLC29A1 in pediatric acute leukemia PMID: 27391351
- Data indicate a pathway MYSM1/miR-150/FLT3 that inhibits proliferation of B1a cells, which may be involved in the pathogenesis of systemic lupus erythematosus (SLE). PMID: 27590507
- findings confirm that FLT3-ITD-location influences disease biology and leads to changes in global gene expression. In our model, ITD-location alters proliferative capacity and sensitivity to FLT3-TKI-treatment in vivo PMID: 26487272
- a decision analysis comparing allo-HCT vs chemotherapy in first complete remission for patients with cytogenetically intermediate-risk acute myeloid leukemia, depending on the presence or absence of FLT3-ITD), NPM1, and CEBPA mutations showed that allo-HCT was a favored postremission strategy in patients with FLT3-ITD, and chemotherapy was favored in patients with biallelic CEBPA mutations. PMID: 27040395
- ATM/G6PD-driven redox metabolism promotes FLT3 inhibitor resistance in acute myeloid leukemia that can be successfully reversed. PMID: 27791036
- Data suggest that there is a place for escalated daunorubicin dosing for fms-like tyrosine kinase 3 (FLT3)-ITD mutated cases. PMID: 27268085
- Integrin alphavbeta3 has a role in enhancing beta-catenin signaling in acute myeloid leukemia harboring Fms-like tyrosine kinase-3 internal tandem duplication mutations PMID: 27248172
- Review of the role of the most common form of FMS-like tyrosine kinase 3 (FLT3) mutation (internal tandem duplication) in acute myeloid leukemia. PMID: 28470536
- the present cohort study demonstrated that FLT3-ITD and DNMT3A R882 double mutation predicts poor prognosis in Chinese AML patients receiving chemotherapy or allo-HSCT treatment. PMID: 28616699
- Although transient responses to FLT3 inhibitors are often observed in case of disease relapse, the most promising approach is the use of FLT3 inhibitors either in combination with induction chemotherapy or as consolidation/maintenance therapy after allogeneic hematopoietic cell transplantation. PMID: 27775694
- In this review, we focus on three key areas in acute myeloid leukemia (AML) developmental therapeutics: FLT3 inhibitors, IDH(IDH1 and IDH2 ) inhibitors, and drugs that may be particularly beneficial in secondary AML PMID: 28561688
- Concomitant monitoring of WT1 and FLT3-ITD expression in FLT3-ITD acute myeloid leukemia patients PMID: 28211167
- FLT3/ITD are present at leukemic stem cells level and may be a primary and not secondary event in leukemogenesis, and the oncogenic events of FLT3/ITD happen at a cell stage possessing CD123 PMID: 27465508
- Sorafenib may enable cure of a proportion of very poor risk FLT3-internal tandem duplication-positive acute emyeloid leukemia relapsing after allogeneic stem cell transplantation. PMID: 29055209
- Results provide evidence that mutations in the tyrosine kinase domain in FLT3 were found in 7% of Pakistani patients with acute myeloid leukemia. PMID: 27735988
- FLT3/ITD increases aerobic glycolysis through AKT-mediated upregulation of mitochondrial hexokinase (HK2). Inhibition of glycolysis preferentially causes severe ATP depletion and massive cell death in FLT3/ITD leukemia cells. PMID: 28194038
- Our results indicate that CD4 expression and older age are adverse prognostic factors in wild-type NPM1, FLT3-ITD-negative CN-AML. PMID: 28318150
- FLT3 mutation is associated with Metaplastic Breast Cancer. PMID: 27568101
- Collectively, we have developed a novel targeted therapeutic strategy, using FLT3L-guided miR-150-based nanoparticles, to treat FLT3-overexpressing AML with high efficacy and minimal side effects. PMID: 27280396
- Y842 is critical for FLT3-mediated RAS/ERK signaling and cellular transformation. PMID: 28271164
- value of FLT3-ITD allelic ratio in AML in risk assessment and evaluating prognosis PMID: 27416910
- DOCK2 is a potential therapeutic target for novel AML treatments, as this protein regulates the survival of leukemia cells with elevated FLT3 activity and sensitizes FLT3/ITD leukemic cells to conventional antileukemic agents. PMID: 27748370
- Gedatolisib significantly extended survival of mice in a sorafenib-resistant acute myeloid leukemia (AML) patient-derived xenograft model. Taken together, our data suggest that aberrant activation of the PI3K/mTOR pathway in FLT3-ITD-dependent AML results in resistance to drugs targeting FLT3. PMID: 26999641
- HHEX could replace RUNX1 in cooperating with FLT3-ITD to induce Acute myeloid leukemia (AML). PMID: 28213513
- mutated FLT3-ITD and JAK2 augment reactive oxygen species production and homologous recombination, shifting the cellular milieu toward illegitimate recombination. PMID: 28108507
- these data reveal a novel mechanism which regulates acute myeloid leukemia cell death by ceramide-dependent mitophagy in response to FLT3-ITD targeting. PMID: 27540013
- MSI2 and FLT3 are significantly co-regulated in human AML PMID: 28107692
- Sorafenib-resistant leukemia cells with a FLT3/ITD mutation are sensitive to glycolytic inhibitors. PMID: 27132990
- Factors that did not influence the relapse risk included: age, graft type, graft source, type of FLT3 mutation, or conditioning intensity PMID: 28052408
顯示更多
收起更多
-
相關疾病:Leukemia, acute myelogenous (AML)
-
亞細胞定位:Membrane; Single-pass type I membrane protein. Endoplasmic reticulum lumen. Note=Constitutively activated mutant forms with internal tandem duplications are less efficiently transported to the cell surface and a significant proportion is retained in an immature form in the endoplasmic reticulum lumen. The activated kinase is rapidly targeted for degradation.
-
蛋白家族:Protein kinase superfamily, Tyr protein kinase family, CSF-1/PDGF receptor subfamily
-
組織特異性:Detected in bone marrow, in hematopoietic stem cells, in myeloid progenitor cells and in granulocyte/macrophage progenitor cells (at protein level). Detected in bone marrow, liver, thymus, spleen and lymph node, and at low levels in kidney and pancreas. H
-
數據庫鏈接:
Most popular with customers
-
-
YWHAB Recombinant Monoclonal Antibody
Applications: ELISA, WB, IHC, IF, FC
Species Reactivity: Human, Mouse, Rat
-
Phospho-YAP1 (S127) Recombinant Monoclonal Antibody
Applications: ELISA, WB, IHC
Species Reactivity: Human
-
-
-
-
-















