CYP17A1
CYP17A1,別名CPT7、CYP17、S17AH。CYP17A1是一種由人類基因編碼的酶,主要定位于細胞內質網及微粒體,在全身各組織器官都有表達,其中肝和腎表達量較多。CYP17A1的作用機制涉及催化膽固醇合成睪酮過程中的兩個關鍵步驟:17α-羥化反應和17,20-碳碳鍵裂解反應,從而在類固醇激素合成途徑中起關鍵作用,能合成黃體酮、鹽皮質激素、糖皮質激素、雄激素和雌激素。 CYP17A1在多種生理功能中具有關鍵作用,包括性激素和應激激素的合成,并且與一些疾病狀態相關,如前列腺癌、乳腺癌、庫欣綜合征和膠質瘤等。此基因的突變與類固醇-17α-羥化酶缺陷、17α-羥化酶/17,20-裂解酶缺陷、假兩性畸形和腎上腺增生等疾病有關。
熱銷產品
Recombinant Human Steroid 17-alpha-hydroxylase/17,20 lyase (CYP17A1) (CSB-EP006392HU)
驗證數據
(Tris-Glycine gel) Discontinuous SDS-PAGE (reduced) with 5% enrichment gel and 15% separation gel.
CYP17A1 Recombinant Monoclonal Antibody (CSB-RA554990A0HU)
驗證數據
Western Blot
Positive WB detected in: HepG2 whole cell lysate, Rat Heart whole cell lysate, Rat Brain whole cell lysate
All lanes: CYP17A1 antibody at 1:1000
Secondary
Goat polyclonal to rabbit IgG at 1/50000 dilution
Predicted band size: 58 kDa
Observed band size: 58 kDa
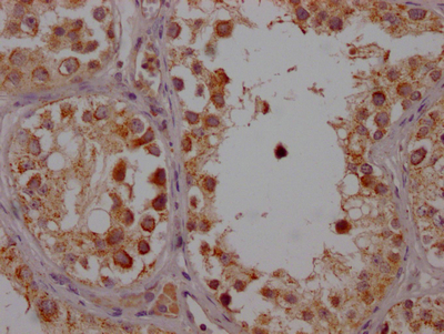
IHC image of CSB-RA554990A0HU diluted at 1:100 and staining in paraffin-embedded human testis tissue performed on a Leica BondTM system. After dewaxing and hydration, antigen retrieval was mediated by high pressure in a citrate buffer (pH 6.0). Section was blocked with 10% normal goat serum 30min at RT. Then primary antibody (1% BSA) was incubated at 4℃ overnight. The primary is detected by a Goat anti-rabbit IgG polymer labeled by HRP and visualized using 0.05% DAB.
Immunofluorescence staining of Hela Cells with CSB-RA554990A0HU at 1:50, counter-stained with DAPI. The cells were fixed in 4% formaldehyde, permeated by 0.2% TritonX-100, and blocked in 10% normal Goat Serum. The cells were then incubated with the antibody overnight at 4℃. Nuclear DNA was labeled in blue with DAPI. The secondary antibody was FITC-conjugated AffiniPure Goat Anti-Rabbit IgG (H+L).
CYP17A1 Antibodies
CYP17A1 for Homo sapiens (Human)
| 產品貨號 | 產品名稱 | 種屬反應性 | 應用類型 |
|---|---|---|---|
| CSB-PA006392EA01HU | CYP17A1 Antibody | Human | ELISA, WB, IHC, IF |
| CSB-PA006392LA01HU | CYP17A1 Antibody | Human | ELISA, WB, IHC, IF |
| CSB-PA006392GA01HU | CYP17A1 Antibody | Human | ELISA,WB,IHC,IF |
| CSB-PA007590 | CYP17A1 Antibody | Human | WB, IHC, IF, ELISA |
| CSB-PA939101 | CYP17A1 Antibody | Human | ELISA,IHC |
| CSB-PA074176 | CYP17A1 Antibody | Human | ELISA,IHC |
| CSB-RA554990A0HU | CYP17A1 Recombinant Monoclonal Antibody | Human, Rat | ELISA, WB, IHC, IF |
CYP17A1 Proteins
CYP17A1 Proteins for Homo sapiens (Human)
| 產品貨號 | 產品名稱 | 來源 |
|---|---|---|
| CSB-YP006392HU CSB-BP006392HU CSB-MP006392HU CSB-EP006392HU-B |
Recombinant Human Steroid 17-alpha-hydroxylase/17,20 lyase (CYP17A1) | Yeast Baculovirus Mammalian cell In Vivo Biotinylation in E.coli |
| CSB-EP006392HU | Recombinant Human Steroid 17-alpha-hydroxylase/17,20 lyase (CYP17A1) | E.coli |
| CSB-EP006392HU1 | Recombinant Human Steroid 17-alpha-hydroxylase/17,20 lyase (CYP17A1), partial | E.coli |






