CYP17A1 Antibody
-
中文名稱:CYP17A1兔多克隆抗體
-
貨號:CSB-PA006392LA01HU
-
規格:¥440
-
圖片:
-
Western blot
All lanes: CYP17A1 antibody at 12µg/ml
Lane 1: Hela whole cell lysate
Lane 2: A549 whole cell lysate
Secondary
Goat polyclonal to rabbit IgG at 1/10000 dilution
Predicted band size: 58 kDa
Observed band size: 58 kDa -
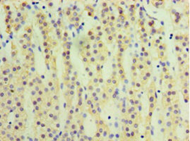
Immunohistochemistry of paraffin-embedded human adrenal gland tissue using CSB-PA006392LA01HU at dilution of 1:100
-
Immunofluorescent analysis of MCF-7 cells using CSB-PA006392LA01HU at dilution of 1:100 and Alexa Fluor 488-congugated AffiniPure Goat Anti-Rabbit IgG(H+L)
-
-
其他:
產品詳情
-
產品名稱:Rabbit anti-Homo sapiens (Human) CYP17A1 Polyclonal antibody
-
Uniprot No.:
-
基因名:
-
別名:20 lyase antibody; CP17A_HUMAN antibody; CPT7 antibody; CYP17 antibody; CYP17A1 antibody; CYPXVII antibody; Cytochrome P450 17A1 antibody; Cytochrome P450 family 17 antibody; Cytochrome P450 family 17 subfamily A polypeptide 1 antibody; Cytochrome p450 subfamily XVII (steroid 17 alpha hydroxylase) adrenal hyperplasia antibody; Cytochrome p450 XVIIA1 antibody; Cytochrome P450-C17 antibody; Cytochrome P450c17 antibody; OTTHUMP00000020382 antibody; P450 C17 antibody; P450c17 antibody; S17AH antibody; Steroid 17 alpha hydroxylase/17,20 lyase antibody; Steroid 17 alpha monooxygenase antibody; Steroid 17-alpha-hydroxylase/17 antibody; Steroid 17-alpha-monooxygenase antibody
-
宿主:Rabbit
-
反應種屬:Human
-
免疫原:Recombinant Human Steroid 17-alpha-hydroxylase/17,20 lyase protein (24-508AA)
-
免疫原種屬:Homo sapiens (Human)
-
標記方式:Non-conjugated
本頁面中的產品,CYP17A1 Antibody (CSB-PA006392LA01HU),的標記方式是Non-conjugated。對于CYP17A1 Antibody,我們還提供其他標記。見下表:
-
克隆類型:Polyclonal
-
抗體亞型:IgG
-
純化方式:>95%, Protein G purified
-
濃度:It differs from different batches. Please contact us to confirm it.
-
保存緩沖液:Preservative: 0.03% Proclin 300
Constituents: 50% Glycerol, 0.01M PBS, PH 7.4 -
產品提供形式:Liquid
-
應用范圍:ELISA, WB, IHC, IF
-
推薦稀釋比:
Application Recommended Dilution WB 1:1000-1:5000 IHC 1:20-1:200 IF 1:50-1:200 -
Protocols:
-
儲存條件:Upon receipt, store at -20°C or -80°C. Avoid repeated freeze.
-
貨期:Basically, we can dispatch the products out in 1-3 working days after receiving your orders. Delivery time maybe differs from different purchasing way or location, please kindly consult your local distributors for specific delivery time.
-
用途:For Research Use Only. Not for use in diagnostic or therapeutic procedures.
相關產品
靶點詳情
-
功能:A cytochrome P450 monooxygenase involved in corticoid and androgen biosynthesis. Catalyzes 17-alpha hydroxylation of C21 steroids, which is common for both pathways. A second oxidative step, required only for androgen synthesis, involves an acyl-carbon cleavage. The 17-alpha hydroxy intermediates, as part of adrenal glucocorticoids biosynthesis pathway, are precursors of cortisol (Probable). Hydroxylates steroid hormones, pregnenolone and progesterone to form 17-alpha hydroxy metabolites, followed by the cleavage of the C17-C20 bond to form C19 steroids, dehydroepiandrosterone (DHEA) and androstenedione. Has 16-alpha hydroxylase activity. Catalyzes 16-alpha hydroxylation of 17-alpha hydroxy pregnenolone, followed by the cleavage of the C17-C20 bond to form 16-alpha-hydroxy DHEA. Also 16-alpha hydroxylates androgens, relevant for estriol synthesis. Mechanistically, uses molecular oxygen inserting one oxygen atom into a substrate, and reducing the second into a water molecule, with two electrons provided by NADPH via cytochrome P450 reductase (CPR; NADPH-ferrihemoprotein reductase).
-
基因功能參考文獻:
- The single nucleotide polymorphism rs11191548 near CYP17A1 is associated with high-density lipoprotein cholesterol and leptin in Chinese children. These findings provide evidence that HDL and leptin might mediate the process of CYP17A1 involved in hypertension. PMID: 29338791
- - 34T>C polymorphism in CYP17A1 is associated with polycystic ovary syndrome. PMID: 29564739
- We present one novel and one ultra rare gene variant with 17-OH deficiency, both described for the first time PMID: 29595516
- identified a novel compound heterozygous CYP17A1 mutation His373Tyr (c.1117C>T) in a patient with 17alpha-hydroxylase/17,20-lyase deficiency. PMID: 29278670
- the rs11191548 CYP17A1 gene mutation was associated with hypertension and the serum 25(OH) D levels in Han Chinese PMID: 29556032
- T allele of rs743572 T polymorphism might predict high susceptibility to endometriosis, but it had no significant influence on characteristics and severity of endometriosis. PMID: 29995789
- A polymorphism in the CYP17A1 gene was associated with the response to steroidogenesis inhibitors in Cushing's syndrome. PMID: 28665508
- A single-point mutation at asparagine 202 in the active site pocket of CYP17A1, even when far from the heme, has profound effects on steroidogenic selectivity in androgen biosynthesis. In the mutant the 17alpha alcohol of OHPROG forms a H-bond with the proximal rather than terminal oxygen of the oxy-ferrous complex.When OHPREG was a substrate, the mutant was found to have weak H-bonding interaction with the proximal ox... PMID: 29283561
- VT-464 reduces androgen receptor (AR) signaling more effectively than abiraterone in cultured PCa cells expressing T877A AR mutant PMID: 27748439
- To our knowledge, this is the first study showing that the CYP17 T-34C and CYP19 T
PMID: 29285776 - the CYP17A1 polymorphisms could be a genetic risk factor for essential hypertension among the Yunnan Han Chinese population. PMID: 28537227
- one CYP17A1 mutation (p.Arg362Cys) may share a common ancestry in Brazilian and present Spanish patients, while p.Trp406Arg may have arisen separately. PMID: 28376482
- the CYP17CC genotype was significantly associated with developmental stuttering PMID: 28992603
- A novel nonsense mutation in androgen receptor confers resistance to CYP17A1 inhibitor treatment in prostate cancer. PMID: 28036278
- The mechanism of action, the efficacy and the clinical potential of CYP17A1 inhibitors in prostate cancer are also summarized. [review] PMID: 29372682
- through mouse-to-human search and validation, we found that CYP17A1 is overexpressed in hepatocellular carcinomas and it has great potentiality as a noninvasive marker for hepatocellular carcinoma detection PMID: 27339169
- Nominally significant parental genetic effects were found between the SNPs rs11191548 (CYP17A1) (paternal, beta = 2.78+/-1.49, P = 6.1x10-2 for SBP and beta = 3.60+/-1.24, P = 3.7x10-3 for DBP), rs17367504 (MTHFR) (paternal, beta = 2.42+/-0.93, P = 9.3x10-3 for SBP and beta = 1.89+/-0.80, P = 1.8x10-2 for DBP and maternal, beta = -1.32+/-0.60, P = 2.9x10-2 and beta = -1.97+/-0.77, P = 1.0x10-2, for SBP and DBP respecti... PMID: 29045471
- Wild-type CYP17 allele when combined with LOH/MSI in steroid metabolism genes may play a role in ER and/or PR negative breast cancers. PMID: 28692125
- Data suggest CYP17A1, with electron donor NADPH-P450 reductase, is inherently distributive enzyme but that some processivity is present; some 17alpha-hydroxy pregnenolone formed does not dissociate from CYP17A1 before conversion to dehydroepiandrosterone; CYP5A does not enhance reaction by decreasing k(off) of ligands of CYP17A1. (CYP17A1 = cytochrome P450, family 17, subfamily A, polypeptide 1; CYP5A = cytochrome b5) PMID: 28684414
- we identified a novel (K144del) and a widely reported (Y329 fs) heterozygous mutations of CYP17A1 gene from a 17OHD patient. Haplotyping analysis showed the common mutation Y329 fs in China came from the same ancestor, which explains the reason that 17OHD was the second cause of congenital adrenal hyperplasia in China. PMID: 27150612
- The activities of P450 17A1 are regulated by cyt b5 that enhances the 17,20-lyase reaction by promoting the coupling of P450 17A1 and cytochrome P450 reductase (CPR), allosterically. Cyt b5 can also act as an electron donor to enhance the 16-ene-synthase activity of human P450 17A1. PMID: 26976652
- The results showed that CYP17A1 gene was not conclusively linked to either Insulin resistance (IR) or its associated increased androgen secretion in non-obese women with polycystic ovarian syndrome (PCOS). We propose that an increased sensitivity of insulin on the ovarian cells may be the predominant reason for the clinical effects and symptoms of androgen excess observed in non-obese PCOS patients in our region. PMID: 27748298
- CYP17A1 defects were associated with amenorrhea, ovarian macrocysts and the diagnosis of 46, XX syndrome. PMID: 26920256
- The discovery of these specific drug actions on steroidogenic enzyme activities would be valuable for understanding the regulation of androgens. PMID: 27395338
- For the naturally occurring P450 17A1 mutations E305G and R347H, which impair 17,20-lyase activity, cytochrome b5 failed to rescue the poor coupling with 17-hydroxypregnenolone (2-4%). When the conserved active-site threonine was mutated to alanine (T306A), both the activity and coupling were markedly decreased with all substrates. PMID: 27426448
- Mechanism of 17alpha,20-Lyase and New Hydroxylation Reactions of Human Cytochrome P450 17A1: 18O LABELING AND OXYGEN SURROGATE EVIDENCE FOR A ROLE OF A PERFERRYL OXYGEN. PMID: 27339894
- The intensity of menopausal symptoms related to mood is higher among postmenopausal women presenting the GG genotype of the rs743572 polymorphism of the CYP17 A1 gene. PMID: 27117436
- The analyzed polymorphisms in CYP17A1 do not seem to be correlated with clinical outcome of castration-resistant prostate cancer patients treated with abiraterone. PMID: 26954071
- The common genetic variant rs2486758 in CYP17A1 was negatively associated with a biochemical response to and time to biochemical progression in patients treatment on abiraterone acetate and prednisone within metastatic castration-resistant prostate cancer. PMID: 27409606
- CYP17 Gene Polymorphism is not associated with Breast Cancer. PMID: 27165202
- CYP17 Gene Polymorphism is associated with Pancreatic Cancer. PMID: 27165211
- CYP17 gene might be a risk factor for prostate cancer in males of advanced age. PMID: 26985923
- Results show high level of CYP17A1 mRNA level in postmenopausal invasive ductal cancer which correlates with tumor prognosis. PMID: 27365044
- No significant association between CYP17-34T/C polymorphism and insulin resistance was found in Thai polycystic ovary syndrome women, although the A2/X genotype group was statistically significantly younger than the A1/A1 genotype group. PMID: 26096606
- the meta-analysis suggested that the CYP17 gene polymorphism was not associated with endometriosis risk. PMID: 25511200
- Low apparent CYP17A1 activity is associated with elevated daytime ambulatory blood pressure when salt intake is high. CYP17A1 activity is heritable and diminished in the elderly. PMID: 26297028
- The present meta-analysis confirmed the significant association between a polymorphism of the CYP17A1 gene and hypertension susceptibility. PMID: 25990650
- CYP17A1 rs3824755 and rs743572 are associated with Alzheimer's disease in the Chinese Han population and act in combination with APOE e4. PMID: 26940238
- Data indicate that cytochrome P450 17A1 (CYP17A1) first catalyzes pregnenolone (PREG) and then converts the 17-hydroxypregnenolone initial product to dehydroepiandrosterone, a process representing the first committed step in the biosynthesis of androgens. PMID: 26668369
- Polymorphism single nucleotide of CYP17A1 gene is implicated to the development of high blood pressure. PMID: 26902494
- The FMN domain outcompetes b5 for binding to CYP17A1 in the three-component system PMID: 26719338
- Our study suggests no strong association between the CYP17A1 T27C and LEP -2548G>A polymorphisms and the incidence of breast cancer in Turkish women. PMID: 26407154
- Interaction of novel oxazoline derivatives of 17(20)e-pregna-5,17(20)-diene with cytochrome P450 17A1 PMID: 26973185
- The compound heterozygous mutation of p. Thr101Ilefs*2 and p. Thr306Ale is a new gene mutation of 17alpha-hydroxylase/17, 20-lyase deficiency. PMID: 26345865
- genetic variants in the androgen-related genes CYP17A1 and JMJD1C might be associated with risk of Barrett's esophagus (BE) and esophageal adenocarcinoma (EAC). PMID: 26414697
- Thus, CYP17A1 may contribute to cardiac hypertrophy in this clinical condition. PMID: 26263970
- Cytochrome-17 Gene Polymorphism is associated with Risk of Gall Bladder Stones and Cancer. PMID: 26225710
- CYP17A1 mutation is associated with 17alpha-Hydroxylase/17-20 lyase deficiency leading to congenital adrenal hyperplasia. PMID: 25719302
- Higher organochlorine pesticide levels and the A1A1 genotype of CYP17A1 in pregnant women may be considered as important aetiological factors in idiopathic small for gestational age. PMID: 25064838
- The aim of the present study was to assess the association between CYP17A1 gene polymorphism and coronary artery disease in a Chinese Uygur population. PMID: 25592814
顯示更多
收起更多
-
相關疾病:Adrenal hyperplasia 5 (AH5)
-
亞細胞定位:Endoplasmic reticulum membrane. Microsome membrane.
-
蛋白家族:Cytochrome P450 family
-
數據庫鏈接:
Most popular with customers
-
-
YWHAB Recombinant Monoclonal Antibody
Applications: ELISA, WB, IHC, IF, FC
Species Reactivity: Human, Mouse, Rat
-
Phospho-YAP1 (S127) Recombinant Monoclonal Antibody
Applications: ELISA, WB, IHC
Species Reactivity: Human
-
-
-
-
-















