BRD9
BRD9,即含溴結構域蛋白9,別名Sarcoma antigen NY-SAR-29、SMARCI2、PRO9856等。BRD9是一種在多種腫瘤中高度表達的蛋白質,由兩個亞基組成,分別為N-端α-螺旋和C-端β-卷曲結構域。BRD9在腫瘤細胞中的表達水平與腫瘤的惡性程度和生長速度呈正相關,并與腫瘤細胞的化療策略、生存期等臨床參數相關。BRD9的藥理學意義在于其作為一種潛在的生物標志物和藥物靶點,可用于腫瘤的診斷、治療和監測。BRD9的作用機制涉及多種生物學過程,包括調節染色質重塑、轉錄調控以及DNA損傷修復。BRD9通過其bromo結構域識別其他蛋白的乙酰化位點,參與染色質重塑復合物的功能。此外,BRD9還與DNA損傷修復相關,其bromo結構域通過結合RAD54的乙酰化位點促進RAD51和RAD54的互作,進而調控同源重組介導的DNA修復活性。BRD9的抑制或敲除可以增加腫瘤細胞對PARP抑制劑和某些化療藥物的敏感性,為克服腫瘤耐藥提供了新的策略。BRD9在生物學上的意義非常廣泛,它不僅參與了腫瘤細胞的增殖、分化和遷移等過程,還與腫瘤的侵襲性和轉移能力有關。BRD9的功能受損會降低人胚胎干細胞的自我更新能力并改變其分化潛力。BRD9介導的TGF-β/Activin/Nodal通路在胰腺癌細胞和乳腺癌細胞的進展中也得到證實,表明BRD9在腫瘤發展中發揮著重要作用。因此,BRD9是腫瘤治療中的一個潛在靶點,針對BRD9的藥物開發正在進行中。
熱銷產品
BRD9 Antibody (CSB-PA888000ESR2HU)
驗證數據
Western blot
All lanes: Bromodomain-containing protein 9 antibody at 2μg/ml + Mouse liver tissue
Secondary
Goat polyclonal to rabbit IgG at 1/10000 dilution
Predicted band size: 68, 23, 54, 27, 56, 61 kDa
Observed band size: 68 kDa
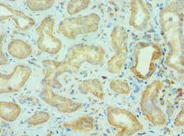
Immunohistochemistry of paraffin-embedded human kidney tissue using CSB-PA888000ESR2HU at dilution of 1:100
Immunofluorescent analysis of HepG2 cells using CSB-PA888000ESR2HU at dilution of 1:100 and Alexa Fluor 488-congugated AffiniPure Goat Anti-Rabbit IgG(H+L)
BRD9 Antibodies
BRD9 for Homo sapiens (Human)
| 產品貨號 | 產品名稱 | 種屬反應性 | 應用類型 |
|---|---|---|---|
| CSB-PA888000ESR1HU | BRD9 Antibody | Human | ELISA, IHC, IF |
| CSB-PA888000ESR2HU | BRD9 Antibody | Human, Mouse | ELISA, WB, IHC, IF |
BRD9 Proteins
BRD9 Proteins for Homo sapiens (Human)
| 產品貨號 | 產品名稱 | 來源 |
|---|---|---|
| CSB-YP888000HU CSB-EP888000HU CSB-BP888000HU CSB-MP888000HU CSB-EP888000HU-B |
Recombinant Human Bromodomain-containing protein 9 (BRD9) | Yeast E.coli Baculovirus Mammalian cell In Vivo Biotinylation in E.coli |






