ATF4
ATF4,即激活轉錄因子4,別名CREB-2。ATF4是一種堿性區域亮氨酸拉鏈轉錄因子,屬于bZIP家族成員,由人類基因組中的ATF4基因編碼。它在細胞對多種應激反應的調控中發揮關鍵作用,包括氨基酸缺乏、氧化應激和內質網應激等。ATF4的作用機制主要是通過結合到目標基因的啟動子區域上的cAMP響應元件(CRE)或相關的DNA序列,調節下游基因的轉錄。ATF4在生物學上的意義主要體現在其對細胞代謝、存活和應激反應的調控。它參與調節氨基酸代謝、抗氧化反應、蛋白質折疊和損傷修復等過程。在內質網應激時,ATF4能夠激活未折疊蛋白反應(UPR),幫助細胞恢復蛋白質穩態。此外,ATF4還參與調節細胞周期、細胞凋亡以及自噬等過程,影響細胞的命運。ATF4的功能異常與多種疾病相關,包括代謝性疾病、神經退行性疾病和某些類型的癌癥,因此,它也是藥物開發中的一個潛在靶點。
熱銷產品
Recombinant Rat Cyclic AMP-dependent transcription factor ATF-4 (Atf4) (CSB-EP880648RA)
驗證數據
(Tris-Glycine gel) Discontinuous SDS-PAGE (reduced) with 5% enrichment gel and 15% separation gel.
ATF4 Antibody (CSB-PA002272KA01HU)
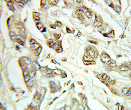
驗證數據
Western blot analysis of extracts from mouse craniofacial and mouse gastrocnemius, using ATF4 antibody.
Immunohistochemistry of paraffin-embedded Breast cancer using ATF4 Antibody.
ATF4 Antibodies
ATF4 for Homo sapiens (Human)
| 產品貨號 | 產品名稱 | 種屬反應性 | 應用類型 |
|---|---|---|---|
| CSB-PA002272GA01HU | ATF4 Antibody | Human,Mouse,Rat | ELISA,WB,IHC |
| CSB-PA002272KA01HU | ATF4 Antibody | Human,Mouse,Rat | ELISA,WB,IHC |
| CSB-PA599947 | Phospho-ATF4 (Ser245) Antibody | Human | ELISA,WB,IHC |
| CSB-PA172388 | Phospho-ATF4 (Ser219) Antibody | Human,Mouse | ELISA,WB |
| CSB-PA123639 | ATF4 (Ab-219) Antibody | Human,Mouse | ELISA,WB |
| CSB-PA001783 | ATF4 Antibody | Human | WB, IHC, ELISA |
| CSB-PA020024 | Phospho-ATF4 (S245) Antibody | Human | IHC, ELISA |
| CSB-PA020025 | Phospho-ATF4 (S219) Antibody | Human,Mouse | WB, ELISA |
| CSB-PA020026 | ATF4 Antibody | Human,Mouse | WB, ELISA |
| CSB-PA038092 | ATF4 Antibody | Human,Mouse,Rat | ELISA,IHC |
| CSB-PA994815 | ATF4 Antibody | Human,Mouse,Rat | ELISA,IHC |
| CSB-RA002272A0HU | ATF4 Recombinant Monoclonal Antibody | Human | ELISA, WB, IHC, IF, FC, IP |
| CSB-PA002272LA01HU | ATF4 Antibody | Human | ELISA, IHC, IF |
| CSB-PA002272LB01HU | ATF4 Antibody, HRP conjugated | Human | ELISA |
| CSB-PA002272LC01HU | ATF4 Antibody, FITC conjugated | Human | |
| CSB-PA002272LD01HU | ATF4 Antibody, Biotin conjugated | Human | ELISA |
| CSB-PA002272LA11HU | ATF4 Antibody | Human | ELISA, WB, IHC |
| CSB-PA002272LB11HU | ATF4 Antibody, HRP conjugated | Human | ELISA |
| CSB-PA002272LC11HU | ATF4 Antibody, FITC conjugated | Human | |
| CSB-PA002272LD11HU | ATF4 Antibody, Biotin conjugated | Human | ELISA |
ATF4 Proteins
ATF4 Proteins for Mus musculus (Mouse)
| 產品貨號 | 產品名稱 | 來源 |
|---|---|---|
| CSB-YP002272MO CSB-EP002272MO CSB-BP002272MO CSB-MP002272MO CSB-EP002272MO-B |
Recombinant Mouse Cyclic AMP-dependent transcription factor ATF-4 (Atf4) | Yeast E.coli Baculovirus Mammalian cell In Vivo Biotinylation in E.coli |
ATF4 Proteins for Homo sapiens (Human)
| 產品貨號 | 產品名稱 | 來源 |
|---|---|---|
| CSB-YP002272HU CSB-EP002272HU CSB-BP002272HU CSB-MP002272HU CSB-EP002272HU-B |
Recombinant Human Cyclic AMP-dependent transcription factor ATF-4 (ATF4) | Yeast E.coli Baculovirus Mammalian cell In Vivo Biotinylation in E.coli |
ATF4 Proteins for Bos taurus (Bovine)
| 產品貨號 | 產品名稱 | 來源 |
|---|---|---|
| CSB-YP669151BO CSB-EP669151BO CSB-BP669151BO CSB-MP669151BO CSB-EP669151BO-B |
Recombinant Bovine Cyclic AMP-dependent transcription factor ATF-4 (ATF4) | Yeast E.coli Baculovirus Mammalian cell In Vivo Biotinylation in E.coli |
ATF4 Proteins for Danio rerio (Zebrafish) (Brachydanio rerio)
| 產品貨號 | 產品名稱 | 來源 |
|---|---|---|
| CSB-YP747361DIL CSB-EP747361DIL CSB-BP747361DIL CSB-MP747361DIL CSB-EP747361DIL-B |
Recombinant Danio rerio Cyclic AMP-dependent transcription factor ATF-4 (atf4) | Yeast E.coli Baculovirus Mammalian cell In Vivo Biotinylation in E.coli |
ATF4 Proteins for Rattus norvegicus (Rat)
| 產品貨號 | 產品名稱 | 來源 |
|---|---|---|
| CSB-YP880648RA CSB-BP880648RA CSB-EP880648RA-B |
Recombinant Rat Cyclic AMP-dependent transcription factor ATF-4 (Atf4) | Yeast Baculovirus In Vivo Biotinylation in E.coli |
| CSB-EP880648RA | Recombinant Rat Cyclic AMP-dependent transcription factor ATF-4 (Atf4) | E.coli |
| CSB-CF880648RA | Recombinant Rat Cyclic AMP-dependent transcription factor ATF-4 (Atf4) | in vitro E.coli expression system |






