Phospho-ATF4 (Ser245) Antibody
-
中文名稱:磷酸化-ATF4 (Ser245)兔多克隆抗體
-
貨號:CSB-PA599947
-
規格:¥2454
-
圖片:
-
Western blot analysis of extracts from Hela cells untreated or treated with UV using ATF4(Phospho-Ser245) Antibody.
-
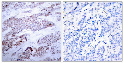
Immunohistochemical analysis of paraffin-embedded human breast carcinoma tissue using ATF4(Phospho-Ser245) Antibody(left) or the same antibody preincubated with blocking peptide(right).
-
-
其他:
產品詳情
-
產品名稱:Rabbit anti-Homo sapiens (Human) ATF4 Polyclonal antibody
-
Uniprot No.:
-
基因名:
-
宿主:Rabbit
-
反應種屬:Human
-
免疫原:Peptide sequence around phosphorylation site of serine 245 (N-R-S(p)-L-P) derived from Human ATF4.
-
免疫原種屬:Homo sapiens (Human)
-
克隆類型:Polyclonal
-
純化方式:Antibodies were produced by immunizing rabbits with synthetic phosphopeptide and KLH conjugates. Antibodies were purified by affinity-chromatography using epitope-specific phosphopeptide. Non-phospho specific antibodies were removed by chromatogramphy usi
-
濃度:It differs from different batches. Please contact us to confirm it.
-
產品提供形式:Liquid
-
應用范圍:ELISA,WB,IHC
-
推薦稀釋比:
Application Recommended Dilution WB 1:500-1:1000 IHC 1:50-1:100 -
Protocols:
-
儲存條件:Upon receipt, store at -20°C or -80°C. Avoid repeated freeze.
-
貨期:Basically, we can dispatch the products out in 1-3 working days after receiving your orders. Delivery time maybe differs from different purchasing way or location, please kindly consult your local distributors for specific delivery time.
-
用途:For Research Use Only. Not for use in diagnostic or therapeutic procedures.
相關產品
靶點詳情
-
功能:Transcription factor that binds the cAMP response element (CRE) (consensus: 5'-GTGACGT[AC][AG]-3') and displays two biological functions, as regulator of metabolic and redox processes under normal cellular conditions, and as master transcription factor during integrated stress response (ISR). Binds to asymmetric CRE's as a heterodimer and to palindromic CRE's as a homodimer. Core effector of the ISR, which is required for adaptation to various stress such as endoplasmic reticulum (ER) stress, amino acid starvation, mitochondrial stress or oxidative stress. During ISR, ATF4 translation is induced via an alternative ribosome translation re-initiation mechanism in response to EIF2S1/eIF-2-alpha phosphorylation, and stress-induced ATF4 acts as a master transcription factor of stress-responsive genes in order to promote cell recovery. Promotes the transcription of genes linked to amino acid sufficiency and resistance to oxidative stress to protect cells against metabolic consequences of ER oxidation. Activates the transcription of NLRP1, possibly in concert with other factors in response to ER stress. Activates the transcription of asparagine synthetase (ASNS) in response to amino acid deprivation or ER stress. However, when associated with DDIT3/CHOP, the transcriptional activation of the ASNS gene is inhibited in response to amino acid deprivation. Together with DDIT3/CHOP, mediates programmed cell death by promoting the expression of genes involved in cellular amino acid metabolic processes, mRNA translation and the terminal unfolded protein response (terminal UPR), a cellular response that elicits programmed cell death when ER stress is prolonged and unresolved. Together with DDIT3/CHOP, activates the transcription of the IRS-regulator TRIB3 and promotes ER stress-induced neuronal cell death by regulating the expression of BBC3/PUMA in response to ER stress. May cooperate with the UPR transcriptional regulator QRICH1 to regulate ER protein homeostasis which is critical for cell viability in response to ER stress. In the absence of stress, ATF4 translation is at low levels and it is required for normal metabolic processes such as embryonic lens formation, fetal liver hematopoiesis, bone development and synaptic plasticity. Acts as a regulator of osteoblast differentiation in response to phosphorylation by RPS6KA3/RSK2: phosphorylation in osteoblasts enhances transactivation activity and promotes expression of osteoblast-specific genes and post-transcriptionally regulates the synthesis of Type I collagen, the main constituent of the bone matrix. Cooperates with FOXO1 in osteoblasts to regulate glucose homeostasis through suppression of beta-cell production and decrease in insulin production. Activates transcription of SIRT4. Regulates the circadian expression of the core clock component PER2 and the serotonin transporter SLC6A4. Binds in a circadian time-dependent manner to the cAMP response elements (CRE) in the SLC6A4 and PER2 promoters and periodically activates the transcription of these genes. Mainly acts as a transcriptional activator in cellular stress adaptation, but it can also act as a transcriptional repressor: acts as a regulator of synaptic plasticity by repressing transcription, thereby inhibiting induction and maintenance of long-term memory. Regulates synaptic functions via interaction with DISC1 in neurons, which inhibits ATF4 transcription factor activity by disrupting ATF4 dimerization and DNA-binding.; (Microbial infection) Binds to a Tax-responsive enhancer element in the long terminal repeat of HTLV-I.
-
基因功能參考文獻:
- phosphorylated PERK and ATF4 would be upregulated in Orexin neurons in Sudden Infant Death Syndrome (SIDS) compared to non-SIDS. PMID: 27796753
- Our data suggests a novel interaction between Nrf2 and ATF4 under oxidative and endoplasmic reticulum stress, thus drives specific enzymatic and non-enzymatic reactions of antioxidant mechanisms maintaining redox homeostasis. PMID: 29421327
- PSAT1, which is overexpressed in ER-negative breast cancers, is activated by ATF4 and promotes cell cycle progression via regulation of the GSK3beta/beta-catenin/cyclin D1 pathway. PMID: 29216929
- POSTN may function as a protective factor for osteoblasts during this process by inhibiting the eIF2alphaATF4 pathway. PMID: 29207036
- p62 directly targets nuclear transcription factors to control metabolic reprogramming in the microenvironment and repress tumorigenesis, and identifies ATF4 as a synthetic vulnerability in p62-deficient tumor stroma. PMID: 28988820
- results suggest a conditional regulation of KRT16 gene by ATF4 that may be inhibited in normal cells, but engaged during cancer progression. Potential roles of KRT16, FAM129A and HKDC1 genes upregulation in adaptive stress responses and pathologies are discussed PMID: 29420561
- Results provide evidence that the availability of glucose controls ATF4-mediated MITF suppression to drive melanoma cell proliferation. PMID: 28380427
- Decreased ATF4 expression as a mechanism of acquired resistance to long-term amino acid limitation in cancer cells PMID: 28460466
- These results suggest that p21 induction plays a vital role in the cellular response to ER stress and indicate that p21 is a prosurvival effector of ATF4. PMID: 28975618
- GRP78 inhibition enhances ATF4-induced cell death by the deubiquitination and stabilization of CHOP in human osteosarcoma cells. PMID: 28947141
- Expression of either dominant-negative or constitutively active mutants of Nrf2, ATF4, or c-Jun confirmed that distinct transcription units are regulated by these transcription factors. PMID: 27278863
- ATF4 contributes to tumor growth of endometrial cancer (EC) by promoting CCL2 and subsequent recruitment of macrophage, and ATF4/CCL2 axis might be a potential therapeutic target for EC. PMID: 28843961
- ATF4 expression fosters the malignancy of primary brain tumors and increases proliferation and tumor angiogenesis; experiments revealed that ATF4-dependent tumor promoting effects are mediated by transcriptional targeting the glutamate antiporter xCT PMID: 28553953
- The PERK-eIF2alpha-ATF4-CHOP signaling pathway has a critical role in tumor progression during endoplasmic reticulum stress. (Review) PMID: 27211800
- ATF4 pathway is activated in vivo upon mitochondrial stress. PMID: 28566324
- a shortage of tryptophan caused by expression of indoleamine 2,3-dioxygenase (IDO) and tryptophan 2,3-dioxygenase (TDO) resulted in ATF4-dependent upregulation of several amino acid transporters. PMID: 27651314
- SLC30A10 has a protective role in 1-methyl-4-phenylpyridinium-induced toxicity via PERK-ATF4 pathway. PMID: 28688763
- There was decreased or loss of ATF4 in 52% of medullary thyroid cancer (MTC) tumors (n = 39) compared with normal thyroid follicle cells. A negative correlation was observed between RET and ATF4 protein levels in MTC tumors. PMID: 27935748
- hypoxia-induced ATF4 expression may promote progression of proliferating infantile hemangioma through macrophage colony-stimulating factor induced M2-polarized macrophages infiltration. PMID: 28438094
- overexpression of eIF5 and 5MP induces translation of ATF4. PMID: 27325740
- ATF4 may exert various physiological roles in lipid metabolism depending on the nutrient composition. In addition, these results suggested that ATF4 has a role in regulating lipogenesis and in the development of NAFLD; thus ATF4 may be considered a therapeutic target for NAFLD. PMID: 27357269
- PERK-eIF2alpha-ATF4 signaling pathway mediated by endoplasmic reticulum stress involved in osteoblast differentiation of periodontal ligament cells under cyclic mechanical force. PMID: 27079961
- The localization of ATF4 in the granular component of nucleoli together with its association with nascent RNA transcripts in cells undergoing proteotoxic cell stress could suggest a new function for ATF4 in cell stress management. PMID: 27567537
- The results showed that the FGF21 promoter contains three response elements for ATF4, suggesting that FGF21 is a sensitive target of ATF4. PMID: 27010621
- ADM-2 is a stress-inducible gene controlled by ATF-4. PMID: 27328454
- The results suggest that C12orf39, CSTA, and CALCB are novel ATF4 target genes, and that C12orf39 promoter activity is activated by ATF4 through amino acid response element. PMID: 26967115
- High ATF4 expression is associated with osteosarcoma progression. PMID: 26797758
- miR-214 directly targeted ATF4, a crucial transcriptional factor involved in anti-stress responses, down regulation of miR-214 releases the repression of ATF4 translation and leads to increased ATF4 protein content. PMID: 26791102
- The activation of ATF4 in response to ONC201 required the kinases HRI and PKR, which phosphorylate and activate the translation initiation factor eIF2alpha. PMID: 26884600
- TBL2 participates in ATF4 translation through its association with the mRNA. PMID: 26239904
- Inhibition or overexpression of ATF4 confirms the role of ATF4 in SESN2 gene up-regulation induced by mitochondrial dysfunction. PMID: 26771712
- ATF4 and ATF6beta act synergistically in the negative regulation of placental growth factor mRNA expression PMID: 26648175
- Authors observed that a slow rate of ATF4-translation and late re-initiation of general translation coincided with cells which were resistant to ER stress-induced cell death. PMID: 25633195
- a reduction of cell death was associated with decreased levels of ATF4 in a rhabdomyosarcoma cell line PMID: 26172539
- Combined administration inhibited the cells most potently and time-dependently, decreased the expression of HO-1, and significantly increased the expression of ATF4, CHOP, and Ire-1 proteins expression levels PMID: 26125799
- Global profiling in human mesenchymal stem cells and a novel cell-free assay reveals that ATF4 requires C/EBPbeta for genomic binding at a motif distinct from that bound by the C/EBPbeta homodimer. PMID: 26111340
- This study outlines the mechanism of NIR laser phototoxicity and the utility of monitoring surface temperature and ATF4 expression as potential biomarkers to develop safe and effective clinical applications. PMID: 26030745
- Up-regulation of ATF4 is associated with Pancreatic Neuroendocrine Tumors. PMID: 26504039
- The ATF4/p75NTR/IL-8 signal pathway may have an important role in EndoMT induced by SFO. PMID: 24905361
- ATF4 is a potential biomarker for esophageal squamous cell carcinoma (ESCC) prognosis and its dysregulation may play a key role in the regulation of invasion and metastasis in ESCC. PMID: 25078779
- Upon loss of attachment in tumor cells, ATF4 activated a program of cytoprotective autophagy and antioxidant responses, including induced expression of heme oxygenase 1 (HO-1). Increased levels of HO-1 ameliorated oxidative stress and cell death. PMID: 26011642
- Treatment with a skin sensitizer rapidly induces the phosphorylation of eIF2a and a concomitant increase of ATF4 protein levels in dendritic cells. PMID: 25236743
- The results demonstrate that the endoplasmic reticulum stress-regulated ATF4/p16 pathway is involved in the premature senescence of renal tubular epithelial cells during diabetic nephropathy progression. PMID: 25567807
- RET as a novel dual kinase with nuclear localization and provide mechanisms by which RET represses the proapoptotic genes PMID: 25795775
- A sustained deficiency of mitochondrial respiratory complex III induces an apoptotic cell death through the p53-mediated inhibition of pro-survival activities of the ATF4. PMID: 25375376
- ATF4 signaling pathway is essential for mediating the effect of ER stress on beta-klotho expression. PMID: 25727012
- B-cell lymphoma/leukemia 10 promotes oral cancer progression through STAT1/ATF4/S100P signaling pathway. PMID: 24681956
- ATF4-mediated repression of apelin contributes substantially to the pro-apoptotic effects of p38. PMID: 25052841
- Bone diseases of diabetes mellitus type 2 showing definite changes of ATP4 gene expression. PMID: 24715035
- the PERK/ATF4/LAMP3-arm of the UPR is an additional pathway mediating hypoxia-induced breast cancer cell migration PMID: 23294542
顯示更多
收起更多
-
亞細胞定位:Nucleus. Nucleus speckle. Cytoplasm. Cell membrane. Cytoplasm, cytoskeleton, microtubule organizing center, centrosome.
-
蛋白家族:BZIP family
-
數據庫鏈接:
Most popular with customers
-
-
YWHAB Recombinant Monoclonal Antibody
Applications: ELISA, WB, IHC, IF, FC
Species Reactivity: Human, Mouse, Rat
-
Phospho-YAP1 (S127) Recombinant Monoclonal Antibody
Applications: ELISA, WB, IHC
Species Reactivity: Human
-
-
-
-
-















