前沿靶點速遞:每周醫學研究精選(四)
日期:2024-07-15 17:25:00
靶點:KISS1R
應用:治療生殖疾病的良好靶點
來源:Structural basis for hormone recognition and distinctive Gq protein coupling by the kisspeptin receptor. Cell Rep, 2024 Jun 26.
靶點:AHR
應用:系統性紅斑狼瘡(SLE)的治療靶點
來源:Interferon subverts an AHR-JUN axis to promote CXCL13 + T cells in lupus. Nature, 2024 Jul 10.
靶點:CCN3
應用:新型治療性促骨生成激素
來源:A maternal brain hormone that builds bone. Nature. 2024 Jul 10.
靶點:LMP1
應用:對EBV相關癌癥治療的潛在靶點
來源:Assembly and activation of EBV latent membrane protein 1. Cell. 2024 Jul 4.
靶點:NCOA4
應用:膿毒癥治療的潛在靶點
來源:Extracellular NCOA4 is a mediator of septic death by activating the AGER-NFKB pathway. Autophagy. 2024 Jul 4.
靶點:ZBP1
應用:病毒防治相關建在靶點
來源:ZBP1 condensate formation synergizes Z-NAs recognition and signal transduction. Cell Death Dis. 2024 Jul 9.
靶點:STAT5
應用:胰腺導管腺癌(PDAC)的新治療靶點
來源:Pancreatic STAT5 activation promotes Kras G12D -induced and inflammation-induced acinar-to-ductal metaplasia and pancreatic cancer. Gut. 2024 Jul 01.
參考文獻:
[1] Structural basis for hormone recognition and distinctive Gq protein coupling by the kisspeptin receptor. Cell Rep, 2024 Jun 26. 10.1016/j.celrep.2024.114389.
[2] Interferon subverts an AHR-JUN axis to promote CXCL13 + T cells in lupus. Nature, 2024 Jul 10. 10.1038/s41586-024-07627-2.
[3] A maternal brain hormone that builds bone. Nature. 2024 Jul 10. 10.1038/s41586-024-07634-3.
[4] Assembly and activation of EBV latent membrane protein 1. Cell. 2024 Jul 4. 10.1016/j.cell.2024.06.021.
[5] Extracellular NCOA4 is a mediator of septic death by activating the AGER-NFKB pathway. Autophagy. 2024 Jul 4. 10.1080/15548627.2024.2372215.
[6] ZBP1 condensate formation synergizes Z-NAs recognition and signal transduction. Cell Death Dis. 2024 Jul 9. 10.1038/s41419-024-06889-y.
[7] Pancreatic STAT5 activation promotes Kras G12D -induced and inflammation-induced acinar-to-ductal metaplasia and pancreatic cancer. Gut. 2024 Jul 01. 10.1136/gutjnl-2024-332225
應用:治療生殖疾病的良好靶點
來源:Structural basis for hormone recognition and distinctive Gq protein coupling by the kisspeptin receptor. Cell Rep, 2024 Jun 26.

(圖源:10.1016/j.celrep.2024.114389.[1])
中國科學院上海藥物研究所的段佳團隊和徐華強團隊發表在《細胞報告》的一項研究發現,KISS1R信號通路是下丘腦-垂體-性腺軸的重要調節因素,持續給予kisspeptin可以恢復黃體生成素的脈沖性分泌,表明KISS1R可能是治療生殖疾病的良好靶點。為了解決kisspeptin易被代謝降解的問題,研究團隊開發了類似物TAK-448,展現出比kisspeptin更好的生物活性和作用時間。通過解析KISS1R與KP-10和TAK-448的復合物結構,研究揭示了多肽激動劑與KISS1R的相互作用機制,為基于結構的藥物設計提供了基礎。此外,研究還發現了KISS1R的外周環和TM6區域在受體激活和Gq蛋白偶聯中的關鍵作用。這些成果為生殖和癌癥治療領域的挑戰提供了新的見解。靶點:AHR
應用:系統性紅斑狼瘡(SLE)的治療靶點
來源:Interferon subverts an AHR-JUN axis to promote CXCL13 + T cells in lupus. Nature, 2024 Jul 10.

(圖:T 細胞中 AHR 激活的轉錄組和表觀遺傳學評估以及與 AP-1 家族成員的關聯[2])
最新發表在《自然》雜志上的研究揭示了系統性紅斑狼瘡(SLE)治療的一個全新靶點。科學家們發現,芳香烴受體(AHR)的激活不足是導致SLE疾病惡化的關鍵因素。通過激活AHR受體,可以促進一種名為Th22的T細胞增殖,這些細胞有助于加速SLE引起的損傷愈合,同時減少致病性自身抗體的產生。實驗中,將AHR激活分子引入狼瘡患者血液,成功將誘發狼瘡的細胞重新編程為Th22細胞,這為開發更精準、副作用更小的SLE治療方法提供了新方向。研究團隊目前正在研究如何安全有效地將AHR激活分子應用于人體治療。靶點:CCN3
應用:新型治療性促骨生成激素
來源:A maternal brain hormone that builds bone. Nature. 2024 Jul 10.

(圖:哺乳期雌性動物需要母體大腦中的 CCN3 來維持后代的生存[3])
最新《Nature》雜志上的研究揭示了哺乳期母體骨質流失問題的新解決方案:腦源性細胞通信網絡因子3(CCN3)。這種由下丘腦弓狀核的KISS1神經元分泌的激素,能有效促進骨骼生成,對抗哺乳期雌激素下降導致的骨質流失。研究發現,CCN3通過作用于骨骼干細胞,增加其數量和成骨潛力,加速骨折修復,對年輕和年老小鼠均有積極影響。哺乳期母體中CCN3的表達顯著增加,其減少會導致骨質流失和后代生存困難。這一發現不僅為骨質疏松癥治療提供了新方向,還強調了哺乳期母體骨骼健康管理的重要性,CCN3的臨床應用潛力巨大,有望成為新型治療性促骨生成激素。靶點:LMP1
應用:對EBV相關癌癥治療的潛在靶點
來源:Assembly and activation of EBV latent membrane protein 1. Cell. 2024 Jul 4.

(圖源:10.1016/j.cell.2024.06.021.[4])
中國科學院生物物理所的高璞、高光俠、張立國等研究者在《Cell》雜志發表的突破性研究中,揭示了EB病毒致癌蛋白LMP1獨特的自組裝和激活機制。研究發現,LMP1不依賴配體,通過自身寡聚化形成filament狀結構,高效招募下游信號因子,激活致癌信號。該結構的發現不僅闡釋了LMP1如何在EBV相關腫瘤中發揮作用,還為開發新的干預策略提供了可能,例如靶向LMP1的新藥設計。這項工作解決了近40年來關于LMP1組裝激活的科學難題,對EBV相關癌癥的治療具有重要意義。靶點:NCOA4
應用:膿毒癥治療的潛在靶點
來源:Extracellular NCOA4 is a mediator of septic death by activating the AGER-NFKB pathway. Autophagy. 2024 Jul 4.

(圖源:10.1080/15548627.2024.2372215.[5])
近期,《Autophagy》雜志發表了一項突破性研究,揭示了細胞外核受體輔激活因子4(NCOA4)作為膿毒癥中的新型炎癥介質。膿毒癥是一種可能致命的病狀,通常由細菌或病毒感染觸發,涉及免疫反應失調。這項研究首次證實,在膿毒癥中,活化的巨噬細胞和單核細胞能將NCOA4釋放到細胞外,通過AGER/RAGE受體激活炎癥反應,促進膿毒癥死亡過程。實驗性膿毒癥小鼠模型顯示,抑制NCOA4活性或AGER功能能延長生存時間并減少器官損傷。在膿毒癥患者中,血漿NCOA4水平與器官功能障礙評分相關聯,表明細胞外NCOA4可能成為治療的潛在靶點。這項由廣州醫科大學附屬第三醫院DAMP研究中心的柳嬌及其合作團隊完成的研究,為理解自噬受體在免疫反應中的作用提供了新見解,并為膿毒癥治療策略的開發開辟了新方向。靶點:ZBP1
應用:病毒防治相關建在靶點
來源:ZBP1 condensate formation synergizes Z-NAs recognition and signal transduction. Cell Death Dis. 2024 Jul 9.

(圖源:缺乏 IQIG motif 的 ZBP1 會阻礙壞死和抗病毒免疫.[6])
復旦大學李繼喜教授團隊在《Cell Death & Disease》上發表的研究揭示了細胞死亡關鍵蛋白ZBP1在抗病毒免疫中的新作用機制。該研究發現ZBP1的Zαβ結構域能結合不同長度的d(CG)n配體,并在病毒感染后形成液液相分離的凝聚體。同時,ZBP1的RHIM結構域可形成淀粉樣凝聚體,其核心基序突變會抑制纖維形成,影響細胞程序性壞死和抗病毒信號傳導。研究指出,ZBP1通過不同結構域形成凝聚體或淀粉樣結構,并協同作用以識別Z型核酸和轉導下游信號,在免疫應答中發揮關鍵作用。這一發現為理解ZBP1在固有免疫反應中的功能提供了新的分子機制,為相關疾病的防治提供了潛在靶點。靶點:STAT5
應用:胰腺導管腺癌(PDAC)的新治療靶點
來源:Pancreatic STAT5 activation promotes Kras G12D -induced and inflammation-induced acinar-to-ductal metaplasia and pancreatic cancer. Gut. 2024 Jul 01.

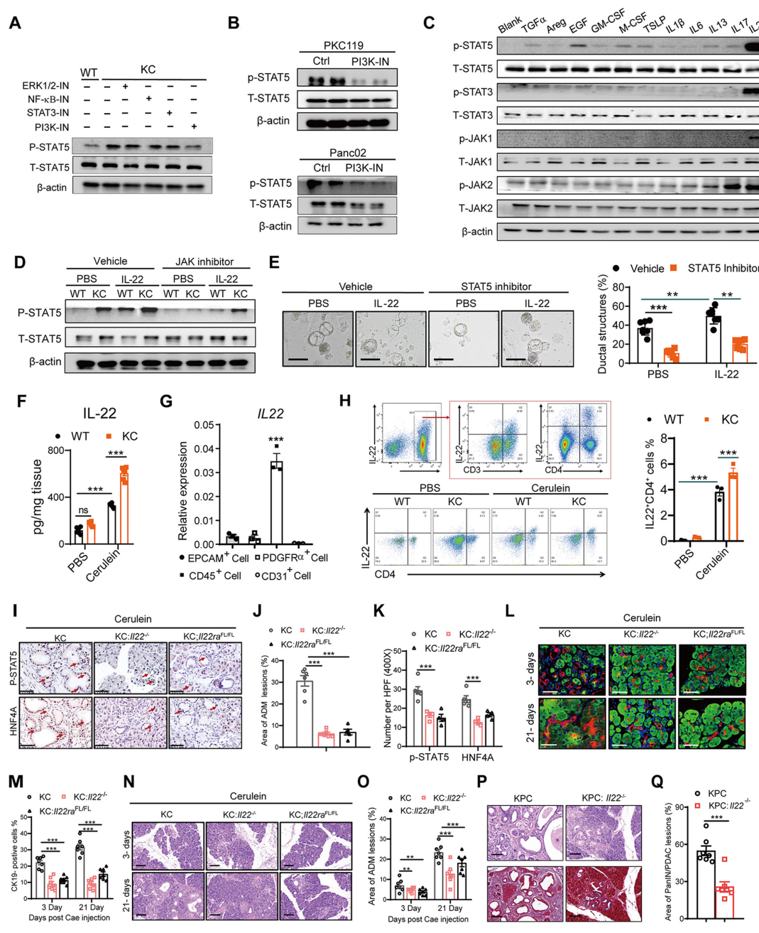
(圖:KrasG12D 突變和 IL-22 促進了胰腺 STAT5 的激活.[7])
上海中醫藥大學附屬龍華醫院、復旦大學上海醫學院和上海交通大學附屬仁濟醫院的聯合研究團隊在《Gut》雜志上發表的研究揭示了信號轉導與轉錄激活因子5(STAT5)在胰腺導管腺癌(PDAC)早期發展中的關鍵作用。研究發現,STAT5通過調節胰腺細胞的能量代謝和腺泡-導管化生(ADM)轉化,在PDAC的起始和進展中發揮重要作用。通過分析胰腺癌患者樣本,團隊發現腫瘤細胞中STAT5的激活與不良預后相關聯,且在兩種胰腺癌小鼠模型中,STAT5的表達和磷酸化水平在癌變早期和進展期顯著增加。進一步的基因敲除實驗顯示,胰腺細胞中STAT5的缺失能顯著延緩PDAC的進展和ADM形成。RNA測序分析揭示了STAT5缺失導致多個能量代謝相關信號通路的下調,特別是脂質代謝和氧化磷酸化途徑。此外,STAT5的活化通過直接轉錄調控轉錄因子HNF4,并且炎癥信號IL-22和KRASG12D突變均能促進STAT5的激活。這些發現為靶向STAT5開發治療PDAC的新策略提供了科學依據。參考文獻:
[1] Structural basis for hormone recognition and distinctive Gq protein coupling by the kisspeptin receptor. Cell Rep, 2024 Jun 26. 10.1016/j.celrep.2024.114389.
[2] Interferon subverts an AHR-JUN axis to promote CXCL13 + T cells in lupus. Nature, 2024 Jul 10. 10.1038/s41586-024-07627-2.
[3] A maternal brain hormone that builds bone. Nature. 2024 Jul 10. 10.1038/s41586-024-07634-3.
[4] Assembly and activation of EBV latent membrane protein 1. Cell. 2024 Jul 4. 10.1016/j.cell.2024.06.021.
[5] Extracellular NCOA4 is a mediator of septic death by activating the AGER-NFKB pathway. Autophagy. 2024 Jul 4. 10.1080/15548627.2024.2372215.
[6] ZBP1 condensate formation synergizes Z-NAs recognition and signal transduction. Cell Death Dis. 2024 Jul 9. 10.1038/s41419-024-06889-y.
[7] Pancreatic STAT5 activation promotes Kras G12D -induced and inflammation-induced acinar-to-ductal metaplasia and pancreatic cancer. Gut. 2024 Jul 01. 10.1136/gutjnl-2024-332225
上一篇: 前沿靶點速遞:每周醫學研究精選(二)
下一篇: 前沿靶點速遞:每周醫學研究精選(五)






