HIPK2 Recombinant Monoclonal Antibody
-
中文名稱:HIPK2 Recombinant Monoclonal Antibody
-
貨號:CSB-RA189750A0HU
-
規格:¥1320
-
圖片:
-
Western Blot
Positive WB detected in: U251 whole cell lysate(30μg), HEK293 whole cell lysate(30μg), PC-3 whole cell lysate(30μg)
All lanes: HIPK2 binding protein 1 antibody at 1:1000
Secondary
Goat polyclonal to rabbit IgG at 1/40000 dilution
Predicted band size: 130 kDa
Observed band size: 130 kDa
Exposure time:2min -
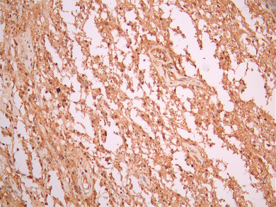
IHC image of CSB-RA189750A0HU diluted at 1:100 and staining in paraffin-embedded human glioma cancer performed on a Leica BondTM system. After dewaxing and hydration, antigen retrieval was mediated by high pressure in a citrate buffer (pH 6.0). Section was blocked with 10% normal goat serum 30min at RT. Then primary antibody (1% BSA) was incubated at 4°C overnight. The primary is detected by a Goat anti-rabbit polymer IgG labeled by HRP and visualized using 0.05% DAB.
-
Immunofluorescence staining of HeLa cell with CSB-RA189750A0HU at 1:50 , counter-stained with DAPI. The cells were fixed in 4% formaldehyde, permeabilized using 0.2% Triton X-100 and blocked in 10% normal Goat Serum. The cells were then incubated with the antibody overnight at 4°C. The secondary antibody was Alexa Fluor 488-congugated AffiniPure Goat Anti-Rabbit IgG(H+L).
-
Overlay Peak curve showing 786-O cells stained with CSB-RA189750A0HU (red line) at 1:100. The cells were fixed in 4% formaldehyde and permeated by 0.2% TritonX-100 for 10min. Then 10% normal goat serum to block non-specific protein-protein interactions followed by the antibody (1ug/1*106cells) for 45min at 4℃. The secondary antibody used was FITC-conjugated goat anti-rabbit IgG (H+L) at 1/200 dilution for 35min at 4℃.Control antibody (green line) was Rabbit IgG (1ug/1*106cells) used under the same conditions. Acquisition of >10, 000 events was performed.
-
-
其他:
產品詳情
-
Uniprot No.:
-
基因名:
-
別名:hHIPk 2 antibody; hHIPk2 antibody; HIPK 2 antibody; Hipk2 antibody; HIPK2_HUMAN antibody; Homeodomain interacting protein kinase 2 antibody; Homeodomain-interacting protein kinase 2 antibody; Nbak1 antibody; Nuclear body-associated kinase 1 antibody; PRO0593 antibody; Sialophorin tail-associated nuclear serine/threonine-protein kinase antibody; Stank antibody
-
反應種屬:Human
-
免疫原:A synthesized peptide from human HIPK2 protein
-
免疫原種屬:Homo sapiens (Human)
-
標記方式:Non-conjugated
-
克隆類型:Monoclonal
-
抗體亞型:Rabbit IgG
-
純化方式:Affinity-chromatography
-
克隆號:19E5
-
濃度:It differs from different batches. Please contact us to confirm it.
-
保存緩沖液:Rabbit IgG in 10mM phosphate buffered saline , pH 7.4, 150mM sodium chloride, 0.05% BSA, 0.02% sodium azide and 50% glycerol.
-
產品提供形式:Liquid
-
應用范圍:ELISA, WB, IHC, IF, FC
-
推薦稀釋比:
Application Recommended Dilution WB 1:500-1:5000 IHC 1:50-1:200 IF 1:50-1:200 FC 1:50-1:200 -
Protocols:
-
儲存條件:Upon receipt, store at -20°C or -80°C. Avoid repeated freeze.
-
貨期:Basically, we can dispatch the products out in 1-3 working days after receiving your orders. Delivery time maybe differs from different purchasing way or location, please kindly consult your local distributors for specific delivery time.
-
用途:For Research Use Only. Not for use in diagnostic or therapeutic procedures.
相關產品
靶點詳情
-
功能:Serine/threonine-protein kinase involved in transcription regulation, p53/TP53-mediated cellular apoptosis and regulation of the cell cycle. Acts as a corepressor of several transcription factors, including SMAD1 and POU4F1/Brn3a and probably NK homeodomain transcription factors. Phosphorylates PDX1, ATF1, PML, p53/TP53, CREB1, CTBP1, CBX4, RUNX1, EP300, CTNNB1, HMGA1 and ZBTB4. Inhibits cell growth and promotes apoptosis through the activation of p53/TP53 both at the transcription level and at the protein level (by phosphorylation and indirect acetylation). The phosphorylation of p53/TP53 may be mediated by a p53/TP53-HIPK2-AXIN1 complex. Involved in the response to hypoxia by acting as a transcriptional co-suppressor of HIF1A. Mediates transcriptional activation of TP73. In response to TGFB, cooperates with DAXX to activate JNK. Negative regulator through phosphorylation and subsequent proteasomal degradation of CTNNB1 and the antiapoptotic factor CTBP1. In the Wnt/beta-catenin signaling pathway acts as an intermediate kinase between MAP3K7/TAK1 and NLK to promote the proteasomal degradation of MYB. Phosphorylates CBX4 upon DNA damage and promotes its E3 SUMO-protein ligase activity. Activates CREB1 and ATF1 transcription factors by phosphorylation in response to genotoxic stress. In response to DNA damage, stabilizes PML by phosphorylation. PML, HIPK2 and FBXO3 may act synergically to activate p53/TP53-dependent transactivation. Promotes angiogenesis, and is involved in erythroid differentiation, especially during fetal liver erythropoiesis. Phosphorylation of RUNX1 and EP300 stimulates EP300 transcription regulation activity. Triggers ZBTB4 protein degradation in response to DNA damage. Modulates HMGA1 DNA-binding affinity. In response to high glucose, triggers phosphorylation-mediated subnuclear localization shifting of PDX1. Involved in the regulation of eye size, lens formation and retinal lamination during late embryogenesis.
-
基因功能參考文獻:
- The downregulation of miR-197 suppresses the EMT and migration ability. HIPK2 is a direct functional target of miR-197 in LAD metastasis. In summary, miR-197 controls EMT and metastasis by directly silencing HIPK2. PMID: 29666324
- HIPK2 polymorphisms rs2058265, rs6464214, and rs7456421 may have a role in kidney stone disease in Chinese males PMID: 29428801
- HIPK2 overexpression may be a potential prognostic marker for predicting prognoses and a high risk of recurrence, particularly in patients with HPV-positive Tonsillar squamous cell carcinomas. PMID: 28607924
- Furthermore, our results suggest that modulation of either HIPK2 levels or activity could be exploited to impair NRF2-mediated signalling in cancer cells, and thus sensitise them to chemotherapeutic drugs. PMID: 28692050
- PARP1 can modulate the tumor-suppressing function of HIPK2 by regulating the protein stability of HIPK2. PMID: 27787517
- Data show that HIPK2-T566 phosphorylation contributes to UV-induced HIPK2 activity but it is dispensable for doxorubicin response. PMID: 28060750
- In this study, we report that the kinase HIPK2 is responsible for facilitating the Fbw7-dependent proteasomal degradation of Notch1 by phosphorylating its intracellular domain (Notch1-IC) within the Cdc4 phosphodegron motif. PMID: 27335110
- These results suggest that the HIPK2-phospho-Ser271 CREB axis is a new arsenic-responsive CREB activation mechanism in parallel with the PKA-phospho-Ser133 CREB axis. PMID: 27884605
- Results demonstrated that HIPK2 may function as a novel regulator to modulate hepatic stellate cells activation, potentially by inhibiting the TGF-beta1/Smad3 signaling pathway. PMID: 27890429
- Data show strong reduction of cell viability was induced in vitro and in vivo by the homeodomain interacting protein kinase 2 exon 8 spliced isoform (Hipk2-Deltae8)-specific siRNA, supporting a potential therapeutic application. PMID: 26625198
- Results indicate that Hipk2 exerts a relevant role in the survival of cerebellar Purkinje cells and that Hipk2 genetic ablation generates cerebellar dysfunction compatible with an ataxic-like phenotype. PMID: 26633710
- The findings highlight a complex regulation of CREB-binding protein activity by HIPK2, which might be relevant for the control of specific sets of target genes involved in cellular proliferation, differentiation and apoptosis. PMID: 26247811
- MDM4/HIPK2/p53 cytoplasmic assembly uncovers coordinated repression of molecules with anti-apoptotic activity during early DNA damage response. PMID: 25961923
- Results indicate that HIPK2 acts as a caretaker gene, whose inactivation increases tumorigenicity and causes chromosomal instability by cytokinesis failure. PMID: 25868975
- HIPK2 expression tends to be decreased along tumor progression and may be involved with the invasive potential, suggesting a possible tumor suppressor role for HIPK2. PMID: 25711204
- c-Abl was required for endogenous HIPK2 accumulation and phosphorylation of p53 at Ser46 in response to DNA damage by gamma- and UV radiation. PMID: 25944899
- Lafora disease proteins laforin and malin negatively regulate the HIPK2-p53 cell death pathway. PMID: 26102034
- HIPK2/HP1gamma pathway may uncover a new functional aspect of HIPK2 as a tumor suppressor. PMID: 25151962
- the role and mechanism of miR141 in regulating renal fibrosis via the TGFbeta1/miR-141/HIPK2/EMT axis PMID: 25421593
- Results show that downregulation of HIPK2 increases resistance of bladder cancer cell to cisplatin by regulating Wip1. PMID: 24846322
- Ras induces the formation of a complex between NORE1A and the kinase HIPK2, enhancing HIPK2 association with p53. PMID: 25778922
- Hipk2 knockdown resulted in decreased E-cadherin expression and increased N-cadherin and fibronectin expression, and induced Wnt signaling activation and beta-catenin nuclear localization, indicating that epithelial-mesenchymal transition was induced. PMID: 24824041
- Homeodomain-interacting protein kinase 2, a novel autoimmune regulator interaction partner, modulates promiscuous gene expression in medullary thymic epithelial cells PMID: 25552543
- XAF1 stimulates HIPK2-mediated Ser-46 phosphorylation of p53 and XAF1 also steps up the termination of p53-mediated cell-cycle arrest by activating ZNF313. PMID: 25313037
- These results provide evidence that HIPK2 and Pin1 work together to promote cortical neurogenesis, at least in part, by suppressing Gro/TLE1:Hes1-mediated inhibition of neuronal differentiation. PMID: 24270405
- In response to severe DNA damage, p53 phosphorylation at Ser46 is promoted by the accumulation of HIPK2 due to downregulation of nuclear Mdm2 in the later phase of the response. PMID: 24829283
- our results suggest that Src kinase suppresses the apoptotic p53 pathway by phosphorylating HIPK2 and relocalizing the kinase to the cytoplasm. PMID: 24196445
- activation of the IL-4/STAT6 signaling pathway has a crucial role in aberrant glycosylation of IgA1 secretion, which is mediated by HIPK2 PMID: 24107646
- PKA-mediated phosphorylation of PML-RARalpha blocked its ability to inhibit PML oligomerization and destabilize HIPK2. PMID: 23722549
- HIPK2 autointeracts and site-specifically autophosphorylates upon DNA damage at Thr880/Ser882. PMID: 24145406
- In response to ionizing radiation, HIPK2 phosphorylation promotes inhibition of WIP1 phosphorylation through dissociation of WIP1 from HIPK2, followed by stabilization of WIP1 for termination of the ATM-mediated double-strand break signaling cascade. PMID: 23871434
- HIPK2 silencing may contribute to induce resistance to cell death in glucose restriction condition. PMID: 23703384
- HIPK1 and HIPK2, are transcriptional corepressors that regulate TGF-beta-dependent angiogenesis during embryonic development. PMID: 23565059
- On the basis of transmission disequilibrium test results, the influence of 2 single nucleotide polymorphisms of HIPK2 gene on prevalence of chronic kidney disease was not identified. PMID: 23540226
- HIPK2 knockdown in colon cancer cells resulted in cyclooxygenase-2 upregulation and COX-2-derived PGE(2) generation. PMID: 23144866
- HIPK2 dysfunction may play a role in fibroblasts behavior and in idiopathic pulmonary fibrosis pathogenesis. PMID: 22689412
- Data indicate a critical kinase HIPK2 function in cytokinesis and in the prevention of tetraploidization. PMID: 22658722
- Data show that vimentin is a novel target for HIPK2 repressor function and that HIPK2-mediated vimentin downregulation can contribute to inhibition of breast cancer cells invasion. PMID: 22236966
- identify ROS-induced acetylation of the proapoptotic kinase HIPK2 as a molecular mechanism that controls the threshold discerning sensitivity from resistance toward ROS-mediated cell death PMID: 22503103
- HIPK2 expression is higher in cervical cancer tissues and has a positive correlation with cervical cancer. HIPK2 may be important in the development of cervical cancer. PMID: 22395153
- This study identified homeo-domain interacting protein kinase 2 (HIPK2) as a key regulator of kidney fibrosis. PMID: 22406746
- cutaneous HPV23 E6 prevents HIPK2-mediated p53 Ser 46 phosphorylation PMID: 22110707
- show that HIPK2 depletion interferes with DeltaNp63alpha degradation, and expression of a HIPK2-resistant DeltaNp63alpha-Delta390 mutant induces chemoresistance PMID: 21602882
- our results point to a prominent and p53-independent role of HIPK2 in colon cancer survival. PMID: 21514416
- Thus, these results suggest that the mutations of the HIPK2 gene maybe a rare event in the development of KA and SCC of the skin in Korean population. PMID: 21569099
- Findings suggest an unforeseen role for Zyxin in DNA damage-induced cell fate control through modulating the HIPK2-p53 signaling axis. PMID: 21248071
- HIPK2 up-regulates transcription by phosphorylating TCF3, a transcriptional repressor, but inhibits transcription by phosphorylating LEF1, a transcriptional activator. PMID: 21285352
- These findings identify a novel circuitry between HIF-1alpha and p53, and provide a paradigm for HIPK2 dictating cell response to antitumor therapies. PMID: 21248371
- beta-amyloid 1-40 induces HIPK2 degradation and alters HIPK2 binding activity to DNA, in turn regulating the p53 conformational state and vulnerability to a noxious stimulus. PMID: 20418953
- These results suggest that SUMO interaction motif-mediated HIPK2 targeting to PML-NBs is crucial for HIPK2-mediated p53 activation and induction of apoptosis. PMID: 21192925
顯示更多
收起更多
-
亞細胞定位:Nucleus, PML body. Cytoplasm. Note=Concentrated in PML/POD/ND10 nuclear bodies. Small amounts are cytoplasmic.
-
蛋白家族:Protein kinase superfamily, CMGC Ser/Thr protein kinase family, HIPK subfamily
-
組織特異性:Highly expressed in heart, muscle and kidney. Weakly expressed in a ubiquitous way. Down-regulated in several thyroid and breast tumors.
-
數據庫鏈接:
Most popular with customers
-
-
Phospho-YAP1 (S127) Recombinant Monoclonal Antibody
Applications: ELISA, WB, IHC
Species Reactivity: Human
-
-
-
-
-
-















