FTH1 Recombinant Monoclonal Antibody
-
中文名稱:FTH1重組抗體
-
貨號:CSB-RA009030MA1HU
-
規格:¥1320
-
圖片:
-
Western Blot
Positive WB detected in: U251 whole cell lysate,JK whole cell lysate
All lanes: FTH1 antibody at 1:500
Secondary
Goat polyclonal to mouse IgG at 1/50000 dilution
Predicted band size: 22 kDa
Observed band size: 22 kDa -
IHC image of CSB-RA009030MA1HU diluted at 1:50 and staining in paraffin-embedded human liver tissue performed on a Leica BondTM system. After dewaxing and hydration, antigen retrieval was mediated by high pressure in a citrate buffer (pH 6.0). Section was blocked with 10% normal goat serum 30min at RT. Then primary antibody (1% BSA) was incubated at 4°C overnight. The primary is detected by a Goat anti-Mouse IgG labeled by HRP and visualized using 0.05% DAB.
-
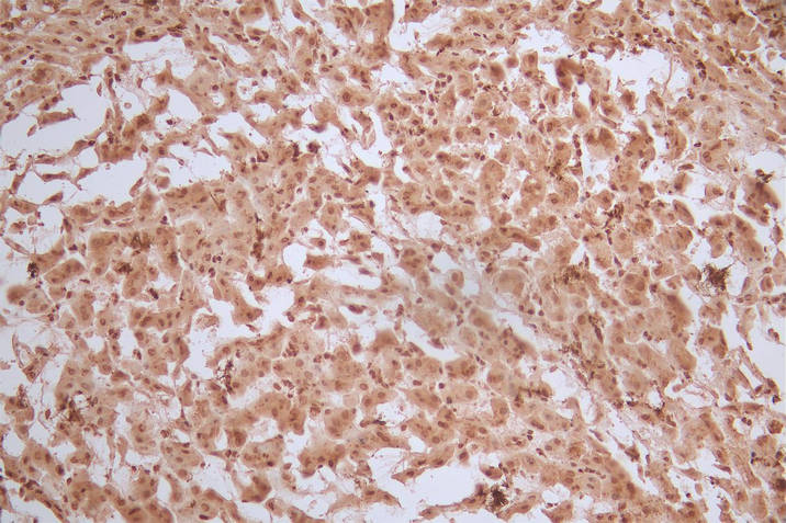
IHC image of CSB-RA009030MA1HU diluted at 1:50 and staining in paraffin-embedded human rectal cancer performed on a Leica BondTM system. After dewaxing and hydration, antigen retrieval was mediated by high pressure in a citrate buffer (pH 6.0). Section was blocked with 10% normal goat serum 30min at RT. Then primary antibody (1% BSA) was incubated at 4°C overnight. The primary is detected by a Goat anti-Mouse IgG labeled by HRP and visualized using 0.05% DAB.
-
Overlay Peak curve showing 293 cells stained with CSB-RA009030MA1HU (red line) at 1:50. The cells were fixed in 4% formaldehyde (15min) and permeated by 0.2% TritonX-100 for 10min. Then 10% normal goat serum was Incubated to block non-specific protein-protein interactions followed by the antibody (1μg/1*106cells) for 45 min at 4°C. The secondary antibody used was FITC-conjugated Goat Anti-Mouse IgG(H+L) at 1/200 dilution for 35 min at 4°C. Isotype control antibody (green line) was mouse IgG1 (1μg/1*106cells) used under the same conditions. Acquisition of >10,000 events was performed.
-
-
其他:
產品詳情
-
產品描述:CSB-RA009030MA1HU FTH1重組單克隆抗體是針對鐵蛋白重鏈(Ferritin Heavy Chain)研發的高特異性檢測工具,適用于多種實驗場景。該靶蛋白作為鐵代謝關鍵調控因子,不僅參與細胞內鐵離子的存儲與釋放,還在抗氧化應激、細胞周期調控及炎癥反應中發揮重要作用,是研究鐵穩態失衡相關疾病機制的重要分子。經嚴格驗證,本抗體在Western Blot中可精準識別天然及重組FTH1蛋白,呈現單一清晰條帶;免疫組化實驗顯示其在多種組織樣本中具有優異的定位特異性,能準確反映靶蛋白的亞細胞分布特征;流式細胞分析則證實其適用于細胞表面及胞內抗原的定量檢測。推薦使用稀釋度為WB 1:1000-5000、IHC 1:20-200、FC 1:20-200,可滿足鐵代謝通路研究、氧化損傷模型分析、腫瘤微環境探索等科研需求,為體外實驗、病理機制解析及藥物靶點篩選提供可靠支持。
-
Uniprot No.:
-
基因名:
-
別名:Apoferritin antibody; Cell proliferation inducing gene 15 protein antibody; Cell proliferation-inducing gene 15 protein antibody; F HC antibody; Ferritin H subunit antibody; Ferritin heavy chain antibody; Ferritin heavy polypeptide 1 antibody; FHC antibody; FRIH antibody; FRIH_HUMAN antibody; FTH 1 antibody; FTH antibody; FTH1 antibody; FTH1 protein antibody; FTHL 6 antibody; FTHL6 antibody; Iron overload autosomal dominant antibody; MGC104426 antibody; N-terminally processed antibody; OK/SW-cl.84 antibody; PIG 15 antibody; PIG15 antibody; Placenta immunoregulatory factor antibody; PLIF antibody; Proliferation inducing gene 15 protein antibody; Proliferation inducing protein 15 antibody
-
反應種屬:Human
-
免疫原:Recombinant Human FTH1 protein
-
免疫原種屬:Homo sapiens (Human)
-
標記方式:Non-conjugated
-
克隆類型:Monoclonal
-
抗體亞型:Mouse IgG
-
純化方式:Affinity-chromatography
-
克隆號:18C10
-
濃度:It differs from different batches. Please contact us to confirm it.
-
保存緩沖液:Preservative: 0.03% Proclin 300
Constituents: 50% Glycerol, 0.01M PBS, PH 7.4 -
產品提供形式:Liquid
-
應用范圍:ELISA, WB, IHC, FC
-
推薦稀釋比:
Application Recommended Dilution WB 1:1000-1:5000 IHC 1:20-1:200 FC 1:20-1:200 -
Protocols:
-
儲存條件:Upon receipt, store at -20°C or -80°C. Avoid repeated freeze.
-
貨期:Basically, we can dispatch the products out in 1-3 working days after receiving your orders. Delivery time maybe differs from different purchasing way or location, please kindly consult your local distributors for specific delivery time.
-
用途:For Research Use Only. Not for use in diagnostic or therapeutic procedures.
相關產品
靶點詳情
-
功能:Stores iron in a soluble, non-toxic, readily available form. Important for iron homeostasis. Has ferroxidase activity. Iron is taken up in the ferrous form and deposited as ferric hydroxides after oxidation. Also plays a role in delivery of iron to cells. Mediates iron uptake in capsule cells of the developing kidney.
-
基因功能參考文獻:
- Human oligodendrocytes undergo apoptosis when exposed to Sema4A and take up H-ferritin for meeting iron requirements and that these functions are mediated via the Tim-1 receptor. H-ferritin can block Sema4A-mediated cytotoxicity. Sema4A is detectable in the CSF of multiple sclerosis patients and HIV-seropositive persons and can induce oligodendrocyte cell death. PMID: 29457657
- High serum ferritin (SF) and the overall survival of allogeneic hematopoietic SF was only significantly associated with prolonged RBC transfusion dependence post-transplantation. PMID: 29046127
- the role of FTH1 in the FIH control of HIF-1 activity, is reported. PMID: 29580991
- Study demonstrate that the amounts of ferritin heavy subunit are inversely correlated, in K562 cells, to H19/miR-675 levels, and that this phenomenon may be largely attributed to the increase in ROS production induced by the FHC silencing. PMID: 29544765
- Findings indicate that induction of EMT, increased migration and survival depend, in MCF-7 and H460 cells, on the release of FHC control on two pathways, namely the iron/ROS metabolism and CXCR4/CXCL12 axis. PMID: 28774348
- ferritin heavy chain has a role in ovarian cancer stem cell expansion and epithelial to mesenchymal transition PMID: 27566559
- Report in vivo magnetic resonance imaging of xenografted neuroblastoma tumors using FTH1 reporter gene expression controlled by a tet-on switch. PMID: 27732930
- The H-ferritin could bind up to 24 NCOA4(383-522) fragments forming highly stable and insoluble complexes. The binding was partially inhibited only by Fe(II) among the various divalent metal ions analyzed. The iron-dependent, highly-specific formation of the remarkably stable H-ferritin-NCOA4 complex shown in this work may be important for the characterization of the mechanism of ferritinophagy. PMID: 28754384
- Recombinant human H-chain ferritin nanocages were characterized by transmission electron microscopy and dynamic light scattering. These results indicate that H-chain ferritin is able to self-assemble into nanocages with a narrow size distribution. PMID: 26853188
- Among myelodysplastic syndromes patients only, CD163 + macrophage density and HO1 and H-ferritin expression by CD163 + macrophages increased in tandem with marrow iron. High HO1 was significantly associated with shorter overall survival. PMID: 26758041
- Low levels of FTH-positive tumor cells and microglia/macrophages were associated with poor survival in anaplastic astrocytomas, while high amounts of FTL-positive microglia/macrophages had a negative prognostic value PMID: 28837569
- there is no significant relationship between serum ferritin concentrations and depressive symptoms among Chinese adults. PMID: 27611581
- Data suggest that, in homopolymeric H-subunit ferritin (HuHF), iron oxidation proceeds with a 2:1 Fe(II):O(2) stoichiometry at iron level of 2 Fe(II) atoms/H-subunit with generation of H2O2; L-subunit-rich heteropolymeric ferritin also facilitates iron oxidation at the ferroxidase center and additionally promotes oxidation at the mineral surface once iron-binding capacity has been exceeded. PMID: 28636371
- Elevated serum ferritin levels are associated with hematologic malignancies. PMID: 25124580
- Ferritin light chain and ferritin heavy chain are required for the neural differentiation of bone marrow-derived mesenchymal stem cells under extremely low-frequency electromagnetic field. PMID: 26602884
- Human FTH1 is a general pro-survival sequence. PMID: 26886577
- H-ferritin tissue expression and the number of CD68+/H-ferritin+ cells were increased in the lymph nodes of adult-onset Still's disease patients, and these results correlated significantly with disease severity PMID: 26540556
- Stopped-flow kinetics assays revealed that human H ferritin has different levels of activity compared with its R. catesbeiana counterpart PMID: 26327381
- Studies indicate that the the best characterized cytosolic ferritins in mammals are encoded by two genes, FTH and FTL, with four exons and similar structures. PMID: 26518749
- high cytoplasmic FTH1 was associated with favorable prognosis whereas nuclear FTH1 staining was associated with adverse prognosis in triple negative breast cancer PMID: 24742827
- The goals of this study were to evaluate the multilineage differentiation ability of human mesenchymal stem cells expressing an MRI reporter, human ferritin heavy chain (FTH). PMID: 25448225
- Data suggest that iron-independent effects of ferritin in myeloma should be prospectively investigated in preclinical and clinical studies. PMID: 24512320
- Significant differences were seen in the levels of serum iron and hepcidin but not ferritin between the -582A>G hepcidin polymorphism genotypes. PMID: 25134646
- High ferritin expression is associated with malignant phenotype of breast cancer. PMID: 25265351
- High serum ferritin levels are associated with pancreatic cancer. PMID: 24446242
- FTH provides metabolic adaptation to tissue Fe overload. [Review] PMID: 24124891
- Tumor necrosis factor-alpha attenuates starvation-induced apoptosis through upregulation of ferritin heavy chain in hepatocellular carcinoma cells. PMID: 24066693
- Elevated serum ferritin level is associated with the incident type 2 diabetes in healthy Korean men. PMID: 24098686
- Children with autism spectrum disorders have significantly lower ferritin levels compared with controls and higher levels of sleep fragmentation and periodic limb movements. PMID: 24053984
- Data indicate that serum highest TNF-alpha and IL-6 and higher ferritin are among those with intense steatosis. PMID: 23892696
- Traumatic brain injury upregulates ferritin-heavy-chain in pericontusional cortex. PMID: 23079850
- Increased levels of serum ferritin are adversely associated with cardiac function following myocardial infarction treated with percutaneous coronary intervention. PMID: 23079089
- In normal bone marrow, ferritin H antibody stained early erythroid precursors and macrophages. In leukemic bone marrow, ferritin H was selectively expressed in erythroid blasts (M6), whereas all other blasts were negative. PMID: 23611361
- The present study provides information about the metal binding sites of human H-chain ferritin and the pathway of ferrous ions (Fe2+) from the cytoplasm to the interior of the ferritin nanocage. PMID: 23344859
- Serum ferritin levels in infectious diseases was lower than those in hematologic diseases. PMID: 23324584
- Data indicate that ferritin levels and hyperuricemia are two independently significant factors associated with alanine aminotransferase (ALT) elevation among obese adolescents. PMID: 23119080
- Increased levels of ferritin and decreased total antioxidant status indicated increasing inflammation in chronic hepatitis C. PMID: 22760008
- H-ferritin overexpression promotes radiation-induced leukemia/lymphoma. PMID: 22843505
- The hepcidin:ferritin ratio is reduced in relation to increasing fibrosis in chronic liver disease. PMID: 22676252
- To study whether the human ferritin heavy chain (FTH1) can be expressed in Hansenula polymorpha, we integrated an expression cassette for FTH1, analyzed the protein expression, and also designed a FTH1-PTH fusion protein. PMID: 22212821
- Induction of ferritin heavy chain expression results in severe inhibition of apoB-100 secretion from hepatoma cells during HCV infection. PMID: 22443280
- Survivin inhibition by an interacting recombinant peptide, derived from the human ferritin heavy chain, impedes tumor cell growth PMID: 22426960
- Elevated serum ferrin in infants is associated with congenital hypothyroidism. PMID: 22768652
- Data provide useful insights into biomineralization of ferritin under in vivo fever conditions as well as in biomimetic synthesis of nanomaterials using ferritin. PMID: 22020807
- FTH1 can inhibit the activation of the JNK signaling pathway and can bind to Daxx, inhibiting Daxx-mediated apoptosis. PMID: 21573799
- H ferritin silenced human metastatic melanoma cells are characterized by a decreased growth activity, a reduced invasiveness, and a reduced cell adhesion capability. PMID: 22043922
- There was a positive correlation between reactive oxygen species levels and serum ferritin levels in myelodysplastic syndrome patients PMID: 22117997
- results showed the association of secreted IL-10, FHC and iron homoeostasis in Chlamydia trachomatis-infected HeLa-229 cells PMID: 21413929
- FTH1 is a functional target gene of the BACH1 transcription factor according to ChIP-seq and knockdown analysis in HEK 293 cells. PMID: 21555518
- Results illustrate how silencing H-ferritin can effectively sensitize tumors to chemotherapy. PMID: 21385903
顯示更多
收起更多
-
相關疾病:Hemochromatosis 5 (HFE5)
-
蛋白家族:Ferritin family
-
組織特異性:Expressed in the liver.
-
數據庫鏈接:
Most popular with customers
-
-
YWHAB Recombinant Monoclonal Antibody
Applications: ELISA, WB, IHC, IF, FC
Species Reactivity: Human, Mouse, Rat
-
Phospho-YAP1 (S127) Recombinant Monoclonal Antibody
Applications: ELISA, WB, IHC
Species Reactivity: Human
-
-
-
-
-















