VPS4B Antibody
-
中文名稱:VPS4B兔多克隆抗體
-
貨號:CSB-PA025915LA01HU
-
規格:¥440
-
圖片:
-
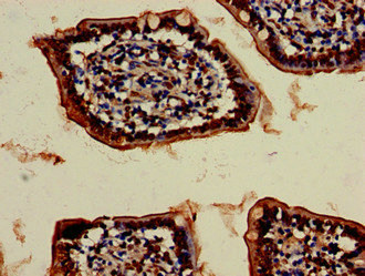
Immunohistochemistry of paraffin-embedded human small intestine tissue using CSB-PA025915LA01HU at dilution of 1:100
-
Immunofluorescent analysis of MCF-7 cells using CSB-PA025915LA01HU at dilution of 1:100 and Alexa Fluor 488-congugated AffiniPure Goat Anti-Rabbit IgG(H+L)
-
Western Blot
Positive WB detected in: Mouse heart tissue, Mouse brain tissue
All lanes: VPS4B antibody at 2.5μg/ml
Secondary
Goat polyclonal to rabbit IgG at 1/50000 dilution
Predicted band size: 50 kDa
Observed band size: 50 kDa -
Western Blot
Positive WB detected in: MCF-7 whole cell lysate
All lanes: VPS4B antibody at 1:2000
Secondary
Goat polyclonal to rabbit IgG at 1/50000 dilution
Predicted band size: 50 kDa
Observed band size: 50 kDa
-
-
其他:
產品詳情
-
產品描述:
CUSABIO uses the recombinant VPS4B protein covering a sequence mapping within amino acids 1-117 of the human VPS4B as the immunogen to immunize the rabbit to generate the VPS4B antibody. This product is an unconjugated polyclonal IgG. It has been validated for use in ELISA, WB, IHC, and IF applications. The purity of this anti-VPS4B antibody is greater than 95% using protein G purified. And it is reactive with human and mouse VPS4B protein, which plays essential roles in multiple cellular processes, including virus budding, the formation of multivesicular bodies, degradation of various membrane receptors, and the abscission step of cytokinesis.
-
產品名稱:Rabbit anti-Homo sapiens (Human) VPS4B Polyclonal antibody
-
Uniprot No.:
-
基因名:
-
別名:8030489C12Rik antibody; Cell migration inducing 1 antibody; Cell migration-inducing gene 1 protein antibody; MGC116271 antibody; MIG1 antibody; Protein SKD1 antibody; Skd1 antibody; SKD1B antibody; Suppressor of K(+) transport growth defect 1 antibody; Suppressor of K+ transport defect 1 antibody; Vacuolar protein sorting 4 homolog B (S. cerevisiae) antibody; Vacuolar protein sorting 4 homolog B antibody; Vacuolar protein sorting 4b antibody; Vacuolar protein sorting-associated protein 4B antibody; Vacuolar protein sorting-associating protein 4B antibody; VPS4 2 antibody; VPS42 antibody; Vps4b antibody; VPS4B_HUMAN antibody
-
宿主:Rabbit
-
反應種屬:Human, Mouse
-
免疫原:Recombinant Human Vacuolar protein sorting-associated protein 4B protein (1-117AA)
-
免疫原種屬:Homo sapiens (Human)
-
標記方式:Non-conjugated
本頁面中的產品,VPS4B Antibody (CSB-PA025915LA01HU),的標記方式是Non-conjugated。對于VPS4B Antibody,我們還提供其他標記。見下表:
-
克隆類型:Polyclonal
-
抗體亞型:IgG
-
純化方式:>95%, Protein G purified
-
濃度:It differs from different batches. Please contact us to confirm it.
-
保存緩沖液:Preservative: 0.03% Proclin 300
Constituents: 50% Glycerol, 0.01M PBS, pH 7.4 -
產品提供形式:Liquid
-
應用范圍:ELISA, WB, IHC, IF
-
推薦稀釋比:
Application Recommended Dilution WB 1:200-1:5000 IHC 1:20-1:200 IF 1:50-1:200 -
Protocols:
-
儲存條件:Upon receipt, store at -20°C or -80°C. Avoid repeated freeze.
-
貨期:Basically, we can dispatch the products out in 1-3 working days after receiving your orders. Delivery time maybe differs from different purchasing way or location, please kindly consult your local distributors for specific delivery time.
-
用途:For Research Use Only. Not for use in diagnostic or therapeutic procedures.
相關產品
靶點詳情
-
功能:Involved in late steps of the endosomal multivesicular bodies (MVB) pathway. Recognizes membrane-associated ESCRT-III assemblies and catalyzes their disassembly, possibly in combination with membrane fission. Redistributes the ESCRT-III components to the cytoplasm for further rounds of MVB sorting. MVBs contain intraluminal vesicles (ILVs) that are generated by invagination and scission from the limiting membrane of the endosome and mostly are delivered to lysosomes enabling degradation of membrane proteins, such as stimulated growth factor receptors, lysosomal enzymes and lipids. VPS4A/B are required for the exosomal release of SDCBP, CD63 and syndecan.; (Microbial infection) In conjunction with the ESCRT machinery also appears to function in topologically equivalent membrane fission events, such as the terminal stages of cytokinesis and enveloped virus budding (HIV-1 and other lentiviruses).
-
基因功能參考文獻:
- VPS4B might facilitate chondrocyte apoptosis in Osteoarthritis via p38 MAPK signaling pathway. PMID: 28744712
- Knockdown of vps4b in zebrafish recapitulated the reduction of tooth size. PMID: 27247351
- Our findings support a role for VPS4B in MM cell proliferation, adhesion, and drug resistance, and pave the way for a novel therapeutic approach targeting this molecule. PMID: 25804841
- Lack of ALG-2, ALIX or Vps4B each prevents shedding, and repair of the injured cell membrane PMID: 25534348
- Crystal structures of three molecular complexes reveal that IST1 binds to the MIT domains of VPS4 and LIP5. PMID: 25657007
- ESCRT-III protein CHMP5 inhibits LIP5-mediated VPS4 activation by inducing a moderate conformational change within LIP5. PMID: 25637630
- High Vacuolar protein sorting 4B results in more apoptosis of intestinal epithelial cells via p38 MAPK in Crohn's disease. PMID: 25533544
- Taken together, it was concluded that VPS4B and its DN mutant VPS4B-K180Q have anti-HBV effect in vivo, which helps develop molecular therapeutic strategies for HBV infection. PMID: 22684550
- Protein kinase CK2 alpha is involved in the phosphorylation of the ESCRT-III subunits CHMP3 and CHMP2B, as well as of VPS4B/SKD1, an ATPase that mediates ESCRT-III disassembly. PMID: 24440309
- VPS4B may promote the progression of Carcinoma, Non-Small-Cell Lung (NSCLC) and be a biotarget for NSCLCs therapy. PMID: 23737133
- An inverse correlation between VPS4B expression and EGFR abundance is observed in breast tumors, and high-grade or recurrent breast carcinomas exhibit lower VPS4B expression. PMID: 22252323
- It was found that neither siRNA knockdown of VPS4A and VPS4B expression nor the use of cell lines that inducibly express VPS4A or VPS4B dominant negative mutants, inhibited influenza virus budding. PMID: 20621136
- ESCRT-III/VPS4 proteins function at centrosomes to help regulate their maintenance or proliferation and then at midbodies during abscission, thereby helping ensure the ordered progression through the different stages of cell division. PMID: 20616062
- The expression and transport of ALG-2 in association with TSG101 and Vps4B are reported. PMID: 16004603
- We propose that the MIT domain of Vps4b serves as a putative adaptor domain for the ESCRT-III complex involved in endosomal trafficking. PMID: 16018968
- The crystal structure of monomeric apo human VPS4B was reported. PMID: 16193069
- Four proteins (TSG101,Hrs,Aip1/Alix, and Vps4B) of the ESCRT (endosomal sorting complex required for transport) machinery were localized in T cells and macrophages by quantitative electron microscpy. PMID: 17014699
- Upon coexpression of mutated CHMP3, CHMP4B, or CHMP4C forms, as well as of ATPase-defective Vps4A or Vps4B mutants, HBV assembly and egress were potently blocked. PMID: 17553870
- Here, we report that dominant negative forms of Vps4A, Vps4B, and AIP1 inhibit HTLV-1 budding. PMID: 17601348
- studies reveal how the VPS4 ATPases recognize their CHMP substrates to facilitate the membrane fission events required for the release of viruses, endosomal vesicles and daughter cells PMID: 17928862
- ATP hydrolysis would eliminate this interaction and subsequent nucleotide release causes the domains to rotate, which together lead to the disassembly of the SKD1 oligomer PMID: 18796009
- Overall, we see no role for the ESCRT pathway in influenza virus budding and the significance of the M1-VPS28 interaction remains to be determined. PMID: 19524996
顯示更多
收起更多
-
亞細胞定位:Late endosome membrane; Peripheral membrane protein.
-
蛋白家族:AAA ATPase family
-
組織特異性:Ubiquitously expressed.
-
數據庫鏈接:
Most popular with customers
-
-
YWHAB Recombinant Monoclonal Antibody
Applications: ELISA, WB, IHC, IF, FC
Species Reactivity: Human, Mouse, Rat
-
-
-
-
-
-















