VPS37A Antibody
-
中文名稱:VPS37A兔多克隆抗體
-
貨號:CSB-PA567081
-
規格:¥1100
-
圖片:
-
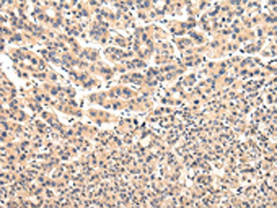
The image on the left is immunohistochemistry of paraffin-embedded Human liver cancer tissue using CSB-PA567081(VPS37A Antibody) at dilution 1/20, on the right is treated with fusion protein. (Original magnification: ×200)
-
The image on the left is immunohistochemistry of paraffin-embedded Human esophagus cancer tissue using CSB-PA567081(VPS37A Antibody) at dilution 1/20, on the right is treated with fusion protein. (Original magnification: ×200)
-
Gel: 8%SDS-PAGE, Lysate: 40 μg, Lane 1-2: Human fetal liver tissue and hela cell, Primary antibody: CSB-PA567081(VPS37A Antibody) at dilution 1/200 dilution, Secondary antibody: Goat anti rabbit IgG at 1/8000 dilution, Exposure time: 15 seconds
-
-
其他:
產品詳情
-
Uniprot No.:
-
基因名:
-
別名:VPS37A antibody; HCRP1 antibody; Vacuolar protein sorting-associated protein 37A antibody; hVps37A antibody; ESCRT-I complex subunit VPS37A antibody; Hepatocellular carcinoma-related protein 1 antibody
-
宿主:Rabbit
-
反應種屬:Human,Mouse
-
免疫原:Fusion protein of Human VPS37A
-
免疫原種屬:Homo sapiens (Human)
-
標記方式:Non-conjugated
-
抗體亞型:IgG
-
純化方式:Antigen affinity purification
-
濃度:It differs from different batches. Please contact us to confirm it.
-
保存緩沖液:-20°C, pH7.4 PBS, 0.05% NaN3, 40% Glycerol
-
產品提供形式:Liquid
-
應用范圍:ELISA,WB,IHC
-
推薦稀釋比:
Application Recommended Dilution ELISA 1:1000-1:2000 WB 1:200-1:1000 IHC 1:25-1:100 -
Protocols:
-
儲存條件:Upon receipt, store at -20°C or -80°C. Avoid repeated freeze.
-
貨期:Basically, we can dispatch the products out in 1-3 working days after receiving your orders. Delivery time maybe differs from different purchasing way or location, please kindly consult your local distributors for specific delivery time.
-
用途:For Research Use Only. Not for use in diagnostic or therapeutic procedures.
相關產品
靶點詳情
-
功能:Component of the ESCRT-I complex, a regulator of vesicular trafficking process. Required for the sorting of endocytic ubiquitinated cargos into multivesicular bodies. May be involved in cell growth and differentiation.
-
基因功能參考文獻:
- HCRP1 is a negative regulator in prostate cancer progression, metastasis and multi-drug resistance. PMID: 28458158
- this study identifies HCRP1 downregulation correlates with tumor stage, nodal metastasis, and poor patient survival in human gastric cancer PMID: 28963677
- The present data indicate that HCRP1 inhibits breast cancer metastasis through downregulating EGFR phosphorylation. PMID: 27311861
- Low HCRP1 expression was found to be of adverse prognostic significance in patients with oral and oropharyngeal squamous cell carcinoma who received preoperative chemoradiotherapy PMID: 22891969
- The missense mutation c.1146A>T in Vps37A causes autosomal recessive complex hereditary spastic paraparesis. PMID: 22717650
- Data show hVps37A mRNA downregulation in ovarian cancer. PMID: 22016507
- Our results strongly suggest that HCRP1 might be a growth inhibitory protein and associated with decreasing the invasion of HCC cells PMID: 14623289
- HCRP1 is a subunit of mammalian ESCRT-I, and its function is essential for lysosomal sorting of EGF receptors. PMID: 15240819
顯示更多
收起更多
-
相關疾病:Spastic paraplegia 53, autosomal recessive (SPG53)
-
亞細胞定位:Late endosome membrane; Peripheral membrane protein. Nucleus.
-
蛋白家族:VPS37 family
-
組織特異性:Widely expressed. Examined tissues include heart, brain, placenta, liver, skeletal muscle, kidney and pancreas. More abundant in liver. Strongly decreased or undetected in hepatomas.
-
數據庫鏈接:
Most popular with customers
-
-
YWHAB Recombinant Monoclonal Antibody
Applications: ELISA, WB, IHC, IF, FC
Species Reactivity: Human, Mouse, Rat
-
Phospho-YAP1 (S127) Recombinant Monoclonal Antibody
Applications: ELISA, WB, IHC
Species Reactivity: Human
-
-
-
-
-















