VAMP1 Antibody
-
中文名稱:VAMP1兔多克隆抗體
-
貨號:CSB-PA025780LA01HU
-
規格:¥440
-
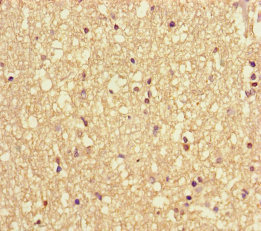
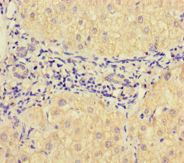
圖片:
-
其他:
產品詳情
-
產品名稱:Rabbit anti-Homo sapiens (Human) VAMP1 Polyclonal antibody
-
Uniprot No.:
-
基因名:VAMP1
-
別名:VAMP1; SYB1; Vesicle-associated membrane protein 1; VAMP-1; Synaptobrevin-1
-
宿主:Rabbit
-
反應種屬:Human
-
免疫原:Recombinant Human Vesicle-associated membrane protein 1 protein (1-96AA)
-
免疫原種屬:Homo sapiens (Human)
-
標記方式:Non-conjugated
本頁面中的產品,VAMP1 Antibody (CSB-PA025780LA01HU),的標記方式是Non-conjugated。對于VAMP1 Antibody,我們還提供其他標記。見下表:
-
克隆類型:Polyclonal
-
抗體亞型:IgG
-
純化方式:>95%, Protein G purified
-
濃度:It differs from different batches. Please contact us to confirm it.
-
保存緩沖液:Preservative: 0.03% Proclin 300
Constituents: 50% Glycerol, 0.01M PBS, PH 7.4 -
產品提供形式:Liquid
-
應用范圍:ELISA, IHC
-
推薦稀釋比:
Application Recommended Dilution IHC 1:20-1:200 -
Protocols:
-
儲存條件:Upon receipt, store at -20°C or -80°C. Avoid repeated freeze.
-
貨期:Basically, we can dispatch the products out in 1-3 working days after receiving your orders. Delivery time maybe differs from different purchasing way or location, please kindly consult your local distributors for specific delivery time.
-
用途:For Research Use Only. Not for use in diagnostic or therapeutic procedures.
相關產品
靶點詳情
-
功能:Involved in the targeting and/or fusion of transport vesicles to their target membrane.
-
基因功能參考文獻:
- VAMP1 homozygous mutations causes of presynaptic congenital myasthenic syndrome. PMID: 28253535
- residue 48 of VAMP1 varies frequently between M and I across seventeen closely related primate species, suggesting a potential selective pressure from members of BoNTs for resistance in vertebrates. PMID: 25010769
- Genetically regulated VAMP1 expression in the brain may modify both Alzheimer's disease risk and may contribute to Alzheimer's pathophysiology PMID: 25881291
- This report identifies vesicle-associated membrane protein 1 (VAMP1), which encodes a critical protein for synaptic exocytosis, as the responsible gene fora dominantly inherited spastic ataxia PMID: 22958904
- multiple domains outside the R-SNARE of tomosyn are critical to the efficacy of inhibition by tomosyn on exocytotic secretion PMID: 21330375
顯示更多
收起更多
-
相關疾病:Spastic ataxia 1, autosomal dominant (SPAX1)
-
亞細胞定位:[Isoform 1]: Cytoplasmic vesicle, secretory vesicle, synaptic vesicle membrane; Single-pass type IV membrane protein. Cell junction, synapse, synaptosome.; [Isoform 2]: Cytoplasmic vesicle membrane; Single-pass type IV membrane protein. Cell junction, synapse, synaptosome.; [Isoform 3]: Mitochondrion outer membrane; Single-pass type IV membrane protein.
-
蛋白家族:Synaptobrevin family
-
組織特異性:Nervous system, skeletal muscle and adipose tissue.
-
數據庫鏈接:
Most popular with customers
-
YWHAB Recombinant Monoclonal Antibody
Applications: ELISA, WB, IHC, IF, FC
Species Reactivity: Human, Mouse, Rat
-
Phospho-YAP1 (S127) Recombinant Monoclonal Antibody
Applications: ELISA, WB, IHC
Species Reactivity: Human
-
-
-
-
-
-
VDAC1 Recombinant Monoclonal Antibody
Applications: ELISA, WB, IHC
Species Reactivity: Human, Mouse, Rat















