USP5 Antibody
-
中文名稱:USP5兔多克隆抗體
-
貨號:CSB-PA025742LA01HU
-
規格:¥440
-
圖片:
-
Western blot
All lanes: USP5 antibody at 10µg/ml
Lane 1: Mouse brain tissue
Lane 2: A549 whole cell lysate
Lane 3: MCF-7 whole cell lysate
Lane 4: A375 whole cell lysate
Lane 5: U251 whole cell lysate
Secondary
Goat polyclonal to rabbit IgG at 1/10000 dilution
Predicted band size: 96, 94 kDa
Observed band size: 96 kDa -
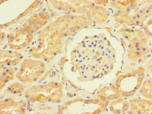
Immunohistochemistry of paraffin-embedded human kidney tissue using CSB-PA025742LA01HU at dilution of 1:100
-
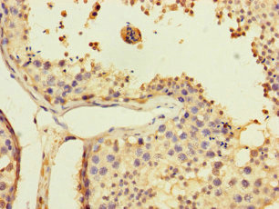
Immunohistochemistry of paraffin-embedded human testis tissue using CSB-PA025742LA01HU at dilution of 1:100
-
-
其他:
產品詳情
-
產品名稱:Rabbit anti-Homo sapiens (Human) USP5 Polyclonal antibody
-
Uniprot No.:
-
基因名:USP5
-
別名:Deubiquitinating enzyme 5 antibody; Isopeptidase T antibody; ISOT 1 antibody; ISOT antibody; Ubiquitin carboxyl-terminal hydrolase 5 antibody; Ubiquitin isopeptidase T antibody; Ubiquitin specific peptidase 5 (isopeptidase T) antibody; Ubiquitin specific peptidase 5 antibody; Ubiquitin specific processing protease 5 antibody; Ubiquitin specific protease 5 (isopeptidase T) antibody; Ubiquitin specific protease 5 (ubiquitin isopeptidase T) antibody; Ubiquitin thioesterase 5 antibody; Ubiquitin thiolesterase 5 antibody; Ubiquitin-specific-processing protease 5 antibody; UBP5_HUMAN antibody; Usp5 antibody
-
宿主:Rabbit
-
反應種屬:Human, Mouse
-
免疫原:Recombinant Human Ubiquitin carboxyl-terminal hydrolase 5 protein (201-500AA)
-
免疫原種屬:Homo sapiens (Human)
-
標記方式:Non-conjugated
本頁面中的產品,USP5 Antibody (CSB-PA025742LA01HU),的標記方式是Non-conjugated。對于USP5 Antibody,我們還提供其他標記。見下表:
-
克隆類型:Polyclonal
-
抗體亞型:IgG
-
純化方式:>95%, Protein G purified
-
濃度:It differs from different batches. Please contact us to confirm it.
-
保存緩沖液:Preservative: 0.03% Proclin 300
Constituents: 50% Glycerol, 0.01M PBS, PH 7.4 -
產品提供形式:Liquid
-
應用范圍:ELISA, WB, IHC
-
推薦稀釋比:
Application Recommended Dilution WB 1:1000-1:5000 IHC 1:20-1:200 -
Protocols:
-
儲存條件:Upon receipt, store at -20°C or -80°C. Avoid repeated freeze.
-
貨期:Basically, we can dispatch the products out in 1-3 working days after receiving your orders. Delivery time maybe differs from different purchasing way or location, please kindly consult your local distributors for specific delivery time.
-
用途:For Research Use Only. Not for use in diagnostic or therapeutic procedures.
相關產品
靶點詳情
-
功能:Cleaves linear and branched multiubiquitin polymers with a marked preference for branched polymers. Involved in unanchored 'Lys-48'-linked polyubiquitin disassembly. Binds linear and 'Lys-63'-linked polyubiquitin with a lower affinity. Knock-down of USP5 causes the accumulation of p53/TP53 and an increase in p53/TP53 transcriptional activity because the unanchored polyubiquitin that accumulates is able to compete with ubiquitinated p53/TP53 but not with MDM2 for proteasomal recognition.
-
基因功能參考文獻:
- USP5 regulates c-Maf stability and multiple myeloma cell survival. PMID: 28933784
- study demonstrates that USP5 plays a critical role in tumorigenesis and progression of pancreatic cancer by stabilizing FoxM1 protein, and provides a rationale for USP5 being a potential therapeutic approach against pancreatic ductal adenocarcinoma PMID: 28807830
- Taken together, our study for the first time clarified that the E3 ligase Smurf1 regulates USP5 protein stability and USP5-mediated TNF-alpha production through the ubiquitin proteasome pathway. PMID: 27133717
- Used IM-MS analysis to study conformational flexibility of the multidomain deubiquitinating enzyme ubiquitin specific protease 5 (USP5). PMID: 25641936
- Charge-state distribution and ion mobility analysis revealed that both mono- and tetra-ubiquitin bound to the compact conformation of USP5 only. PMID: 25970461
- Cellular isopeptidase T deubiquitinating enzyme disassembles free ubiquitin chains to facilitate KSHV K7 degradation. PMID: 23720098
- polyubiquitin chains by USP5 at sites of damage is important for efficient DSB repair PMID: 24454762
- Local administration of NO may prevent neointimal hyperplasia by inhibiting isopeptidase T levels and activity in the vasculature, thereby inhibiting the 26S proteasome in vascular smooth muscle cells. PMID: 23375434
- Production of the USP5 isoform 2 was strongly correlated with PTBP1 expression in glioblastoma tumor samples and cell lines. PMID: 21976412
- USP5 uses multiple zinc fluoride (ZnF)-ubiquitin binding protein (UBP) domains for substrate targeting and core catalytic function. PMID: 22283393
- Selective upregulation of the ubiquitin-proteasome proteolytic pathway proteins, proteasome zeta chain and isopeptidase T in fetal Down syndrome. PMID: 11771738
- identification of catalytic site PMID: 12435595
- We report the crystal structures of the zinc-finger ubiquitin binding domain (ZnF UBP) from the deubiquitinating enzyme isopeptidase T (IsoT, or USP5) alone and in complex with ubiquitin. This domain is required for optimal catalytic activation of IsoT. PMID: 16564012
- p53 is selectively stabilized because the unanchored polyubiquitin that accumulates after USP5 knockdown is able to compete with ubiquitinated p53 but not with Mdm2 for proteasomal recognition PMID: 19098288
顯示更多
收起更多
-
蛋白家族:Peptidase C19 family
-
數據庫鏈接:
Most popular with customers
-
-
YWHAB Recombinant Monoclonal Antibody
Applications: ELISA, WB, IHC, IF, FC
Species Reactivity: Human, Mouse, Rat
-
Phospho-YAP1 (S127) Recombinant Monoclonal Antibody
Applications: ELISA, WB, IHC
Species Reactivity: Human
-
-
-
-
-















