SPTLC3 Antibody
-
中文名稱:SPTLC3兔多克隆抗體
-
貨號:CSB-PA865142LA01HU
-
規格:¥440
-
圖片:
-
Western blot
All lanes: SPTLC3 antibody at 0.2µg/ml
Lane 1: Mouse kidney tissue
Lane 2: U87 whole cell lysate
Secondary
Goat polyclonal to rabbit IgG at 1/10000 dilution
Predicted band size: 63, 20 kDa
Observed band size: 63 kDa -
Immunofluorescent analysis of HepG2 cells using CSB-PA865142LA01HU at dilution of 1:100 and Alexa Fluor 488-congugated AffiniPure Goat Anti-Rabbit IgG(H+L)
-
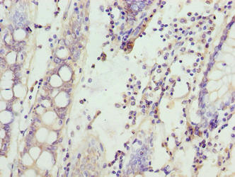
Immunohistochemistry of paraffin-embedded human colon cancer using CSB-PA865142LA01HU at dilution of 1:100
-
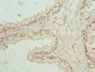
Immunohistochemistry of paraffin-embedded human prostate cancer using CSB-PA865142LA01HU at dilution of 1:100
-
-
其他:
產品詳情
-
產品名稱:Rabbit anti-Homo sapiens (Human) SPTLC3 Polyclonal antibody
-
Uniprot No.:
-
基因名:
-
別名:SPTLC3; C20orf38; SPTLC2L; Serine palmitoyltransferase 3; Long chain base biosynthesis protein 2b; LCB2b; Long chain base biosynthesis protein 3; LCB 3; Serine-palmitoyl-CoA transferase 3; SPT 3
-
宿主:Rabbit
-
反應種屬:Human, Mouse
-
免疫原:Recombinant Human Serine palmitoyltransferase 3 protein (1-58AA)
-
免疫原種屬:Homo sapiens (Human)
-
標記方式:Non-conjugated
本頁面中的產品,SPTLC3 Antibody (CSB-PA865142LA01HU),的標記方式是Non-conjugated。對于SPTLC3 Antibody,我們還提供其他標記。見下表:
-
克隆類型:Polyclonal
-
抗體亞型:IgG
-
純化方式:Antigen Affinity Purified
-
濃度:It differs from different batches. Please contact us to confirm it.
-
保存緩沖液:Preservative: 0.03% Proclin 300
Constituents: 50% Glycerol, 0.01M PBS, PH 7.4 -
產品提供形式:Liquid
-
應用范圍:ELISA, WB, IHC, IF
-
推薦稀釋比:
Application Recommended Dilution WB 1:500-1:5000 IHC 1:20-1:200 IF 1:50-1:200 -
Protocols:
-
儲存條件:Upon receipt, store at -20°C or -80°C. Avoid repeated freeze.
-
貨期:Basically, we can dispatch the products out in 1-3 working days after receiving your orders. Delivery time maybe differs from different purchasing way or location, please kindly consult your local distributors for specific delivery time.
-
用途:For Research Use Only. Not for use in diagnostic or therapeutic procedures.
相關產品
靶點詳情
-
功能:Serine palmitoyltransferase (SPT). The heterodimer formed with LCB1/SPTLC1 constitutes the catalytic core. The composition of the serine palmitoyltransferase (SPT) complex determines the substrate preference. SPT complexes containing SPTLC3 generate shorter chain sphingoid bases compared to complexes containing SPTLC2. The SPTLC1-SPTLC3-SPTSSA isozyme uses C12-CoA, C14-CoA and C16-CoA as substrates, with a slight preference for C14-CoA. On the other hand, the SPTLC1-SPTLC3-SPTSSB has the ability to use a broader range of acyl-CoAs without apparent preference.
-
基因功能參考文獻:
- This study demonstrated that the association of SPTLC3insACAC (p = 0.055) with the treatment-resistant ophthalmoplegic subphenotype of myasthenia gravis. PMID: 28673556
- The association between the SPTLC3 rs364585 SNP and serum total cholesterol, high-density lipoprotein cholesterol and low-density lipoprotein cholesterol levels in the Han and Jing populations PMID: 28056980
- Data identified LC3B globular structures in esophageal adenocarcinoma patients strongly associated with patient outcome irrespective of treatment. PMID: 26265176
- cloning and expression in tissues and cell lines PMID: 17023427
- Results suggest that functional serine palmitoyltransferase is not a dimer, but a higher organized complex, composed of three distinct subunits (SPTLC1, SPTLC2 and SPTLC3) with a molecular mass of 480 kDa. PMID: 17331073
- Data show that the SPTLC3 subunit generates C(16)-sphingoid bases and that sphingolipids with a C(16) backbone constitute a significant proportion of plasma sphingolipids. PMID: 19648650
顯示更多
收起更多
-
亞細胞定位:Endoplasmic reticulum membrane; Single-pass membrane protein.
-
蛋白家族:Class-II pyridoxal-phosphate-dependent aminotransferase family
-
組織特異性:Expressed in most tissues, except peripheral blood cells and bone marrow, with highest levels in heart, kidney, liver, uterus and skin.
-
數據庫鏈接:
Most popular with customers
-
-
YWHAB Recombinant Monoclonal Antibody
Applications: ELISA, WB, IHC, IF, FC
Species Reactivity: Human, Mouse, Rat
-
Phospho-YAP1 (S127) Recombinant Monoclonal Antibody
Applications: ELISA, WB, IHC
Species Reactivity: Human
-
-
-
-
-















