SPG21 Antibody
-
中文名稱:SPG21兔多克隆抗體
-
貨號:CSB-PA889158LA01HU
-
規格:¥440
-
圖片:
-
Immunohistochemistry of paraffin-embedded human pancreatic cancer using CSB-PA889158LA01HU at dilution of 1:100
-
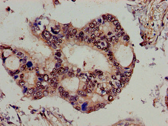
Immunohistochemistry of paraffin-embedded human liver cancer using CSB-PA889158LA01HU at dilution of 1:100
-
Immunofluorescent analysis of A549 cells using CSB-PA889158LA01HU at dilution of 1:100 and Alexa Fluor 488-congugated AffiniPure Goat Anti-Rabbit IgG(H+L)
-
-
其他:
產品詳情
-
產品名稱:Rabbit anti-Homo sapiens (Human) SPG21 Polyclonal antibody
-
Uniprot No.:
-
基因名:
-
別名:SPG21 antibody; ACP33 antibody; BM-019 antibody; GL010 antibody; Maspardin antibody; Acid cluster protein 33 antibody; Spastic paraplegia 21 autosomal recessive Mast syndrome protein antibody; Spastic paraplegia 21 protein antibody
-
宿主:Rabbit
-
反應種屬:Human
-
免疫原:Recombinant Human Maspardin protein (1-308AA)
-
免疫原種屬:Homo sapiens (Human)
-
標記方式:Non-conjugated
本頁面中的產品,SPG21 Antibody (CSB-PA889158LA01HU),的標記方式是Non-conjugated。對于SPG21 Antibody,我們還提供其他標記。見下表:
-
克隆類型:Polyclonal
-
抗體亞型:IgG
-
純化方式:>95%, Protein G purified
-
濃度:It differs from different batches. Please contact us to confirm it.
-
保存緩沖液:Preservative: 0.03% Proclin 300
Constituents: 50% Glycerol, 0.01M PBS, PH 7.4 -
產品提供形式:Liquid
-
應用范圍:ELISA, IHC, IF
-
推薦稀釋比:
Application Recommended Dilution IHC 1:20-1:200 IF 1:50-1:200 -
Protocols:
-
儲存條件:Upon receipt, store at -20°C or -80°C. Avoid repeated freeze.
-
貨期:Basically, we can dispatch the products out in 1-3 working days after receiving your orders. Delivery time maybe differs from different purchasing way or location, please kindly consult your local distributors for specific delivery time.
-
用途:For Research Use Only. Not for use in diagnostic or therapeutic procedures.
相關產品
靶點詳情
-
功能:May play a role as a negative regulatory factor in CD4-dependent T-cell activation.
-
基因功能參考文獻:
- HBV X gene enhanced SPG21 gene promoter activity, SPG21 mRNA expression and SPG21 protein production in HepG2 cells in a dose-dependent manner. PMID: 21205478
- frameshift results in the premature termination of the encoded product, which is designated "maspardin" (Mast syndrome, spastic paraplegia, autosomal recessive with dementia) PMID: 14564668
- Data report that maspardin localizes prominently to cytoplasm as well as to membranes, possibly at trans-Golgi network/late endosomal compartments, and that maspardin interacts with the aldehyde dehydrogenase ALDH16A1. PMID: 19184135
-
相關疾病:Spastic paraplegia 21, autosomal recessive (SPG21)
-
亞細胞定位:Cytoplasm, cytosol. Membrane; Peripheral membrane protein. Endosome membrane; Peripheral membrane protein. Golgi apparatus, trans-Golgi network membrane; Peripheral membrane protein. Note=Partially localized in the cytosol but also accumulated on an intracellular vesicular compartment. Colocalizes with CD4 on endosomal/trans-Golgi network.
-
蛋白家族:AB hydrolase superfamily
-
組織特異性:Expressed in all tissues tested, including heart, brain, placenta, lung, liver, skeletal muscle, kidney and pancreas. Expressed in J.CaM1.6, HuT 78 and HeLa cell lines (at protein level).
-
數據庫鏈接:
Most popular with customers
-
-
YWHAB Recombinant Monoclonal Antibody
Applications: ELISA, WB, IHC, IF, FC
Species Reactivity: Human, Mouse, Rat
-
Phospho-YAP1 (S127) Recombinant Monoclonal Antibody
Applications: ELISA, WB, IHC
Species Reactivity: Human
-
-
-
-
-















