SNX12 Antibody
-
中文名稱:SNX12兔多克隆抗體
-
貨號:CSB-PA891787LA01HU
-
規格:¥440
-
圖片:
-
Western Blot
Positive WB detected in: PC-3 whole cell lysate, A549 whole cell lysate
All lanes: SNX12 antibody at 2.83µg/ml
Secondary
Goat polyclonal to rabbit IgG at 1/50000 dilution
Predicted band size: 20, 19 kDa
Observed band size: 20 kDa -
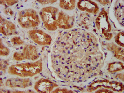
IHC image of CSB-PA891787LA01HU diluted at 1:600 and staining in paraffin-embedded human kidney tissue performed on a Leica BondTM system. After dewaxing and hydration, antigen retrieval was mediated by high pressure in a citrate buffer (pH 6.0). Section was blocked with 10% normal goat serum 30min at RT. Then primary antibody (1% BSA) was incubated at 4°C overnight. The primary is detected by a biotinylated secondary antibody and visualized using an HRP conjugated SP system.
-
Immunofluorescence staining of A549 cells with CSB-PA891787LA01HU at 1:200, counter-stained with DAPI. The cells were fixed in 4% formaldehyde, permeabilized using 0.2% Triton X-100 and blocked in 10% normal Goat Serum. The cells were then incubated with the antibody overnight at 4°C. The secondary antibody was Alexa Fluor 488-congugated AffiniPure Goat Anti-Rabbit IgG(H+L).
-
Immunoprecipitating SNX12 in A549 whole cell lysate
Lane 1: Rabbit control IgG instead of CSB-PA891787LA01HU in A549 whole cell lysate. For western blotting, a HRP-conjugated Protein G antibody was used as the secondary antibody (1/2000)
Lane 2: CSB-PA891787LA01HU (6µg) + A549 whole cell lysate (500µg)
Lane 3: A549 whole cell lysate (20µg)
-
-
其他:
產品詳情
-
產品名稱:Rabbit anti-Homo sapiens (Human) SNX12 Polyclonal antibody
-
Uniprot No.:
-
基因名:
-
別名:2610001F05Rik antibody; AW045757 antibody; MGC118982 antibody; MGC118983 antibody; RGD1565585 antibody; RP23-356J7.1 antibody; SDP8 antibody; SNX 12 antibody; SNX12 antibody; SNX12_HUMAN antibody; Sorting nexin 12 antibody; Sorting nexin-12 antibody
-
宿主:Rabbit
-
反應種屬:Human
-
免疫原:Recombinant Human Sorting nexin-12 protein (2-172AA)
-
免疫原種屬:Homo sapiens (Human)
-
標記方式:Non-conjugated
本頁面中的產品,SNX12 Antibody (CSB-PA891787LA01HU),的標記方式是Non-conjugated。對于SNX12 Antibody,我們還提供其他標記。見下表:
-
克隆類型:Polyclonal
-
抗體亞型:IgG
-
純化方式:>95%, Protein G purified
-
濃度:It differs from different batches. Please contact us to confirm it.
-
保存緩沖液:Preservative: 0.03% Proclin 300
Constituents: 50% Glycerol, 0.01M PBS, pH 7.4 -
產品提供形式:Liquid
-
應用范圍:ELISA, WB, IHC, IF, IP
-
推薦稀釋比:
Application Recommended Dilution WB 1:500-1:5000 IHC 1:500-1:1000 IF 1:200-1:500 IP 1:200-1:2000 -
Protocols:
-
儲存條件:Upon receipt, store at -20°C or -80°C. Avoid repeated freeze.
-
貨期:Basically, we can dispatch the products out in 1-3 working days after receiving your orders. Delivery time maybe differs from different purchasing way or location, please kindly consult your local distributors for specific delivery time.
-
用途:For Research Use Only. Not for use in diagnostic or therapeutic procedures.
相關產品
靶點詳情
-
功能:May be involved in several stages of intracellular trafficking.
-
基因功能參考文獻:
- SNX12 plays a key role in intraluminal vesicle formation and in the maturation of a subpopulation of early endosomes into late endosomes, thereby regulating selective endocytic transport of cargo for degradation. PMID: 28705836
- SNX12 protein level is dramatically decreased in the brain of Alzheimer's disease patients as compared to that of controls. PMID: 22709416
- find that overexpression of SNX12 restores the sorting process in an Hrs knockdown background. Altogether, our data show that despite lower expression level, SNX12 shares redundant functions with SNX3 in the biogenesis of multivesicular endosomes PMID: 22719997
- Metallothionein deficient mice have a marked decrease in Snx12 during acute lung injury PMID: 16166738
-
亞細胞定位:Membrane; Peripheral membrane protein; Cytoplasmic side.
-
蛋白家族:Sorting nexin family
-
數據庫鏈接:
Most popular with customers
-
-
YWHAB Recombinant Monoclonal Antibody
Applications: ELISA, WB, IHC, IF, FC
Species Reactivity: Human, Mouse, Rat
-
Phospho-YAP1 (S127) Recombinant Monoclonal Antibody
Applications: ELISA, WB, IHC
Species Reactivity: Human
-
-
-
-
-















