PYGO2 Antibody
-
中文名稱:PYGO2兔多克隆抗體
-
貨號:CSB-PA883586LA01HU
-
規格:¥440
-
圖片:
-
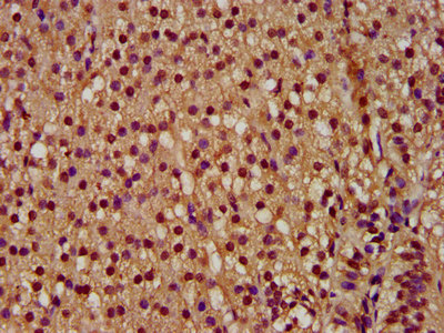
IHC image of CSB-PA883586LA01HU diluted at 1:300 and staining in paraffin-embedded human ovarian cancer performed on a Leica BondTM system. After dewaxing and hydration, antigen retrieval was mediated by high pressure in a citrate buffer (pH 6.0). Section was blocked with 10% normal goat serum 30min at RT. Then primary antibody (1% BSA) was incubated at 4°C overnight. The primary is detected by a biotinylated secondary antibody and visualized using an HRP conjugated SP system.
-
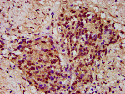
IHC image of CSB-PA883586LA01HU diluted at 1:300 and staining in paraffin-embedded human adrenal gland tissue performed on a Leica BondTM system. After dewaxing and hydration, antigen retrieval was mediated by high pressure in a citrate buffer (pH 6.0). Section was blocked with 10% normal goat serum 30min at RT. Then primary antibody (1% BSA) was incubated at 4°C overnight. The primary is detected by a biotinylated secondary antibody and visualized using an HRP conjugated SP system.
-
Immunofluorescence staining of HepG2 cells with CSB-PA883586LA01HU at 1:100, counter-stained with DAPI. The cells were fixed in 4% formaldehyde, permeabilized using 0.2% Triton X-100 and blocked in 10% normal Goat Serum. The cells were then incubated with the antibody overnight at 4°C. The secondary antibody was Alexa Fluor 488-congugated AffiniPure Goat Anti-Rabbit IgG(H+L).
-
-
其他:
產品詳情
-
產品名稱:Rabbit anti-Homo sapiens (Human) PYGO2 Polyclonal antibody
-
Uniprot No.:
-
基因名:PYGO2
-
別名:1190004M21Rik antibody; FLJ33226 antibody; PP7910 antibody; PYGO2 antibody; Pygo2 protein antibody; PYGO2_HUMAN antibody; Pygopus 2 antibody; pygopus homolog 2 (Drosophila) antibody; Pygopus homolog 2 antibody
-
宿主:Rabbit
-
反應種屬:Human
-
免疫原:Recombinant Human Pygopus homolog 2 protein (175-325AA)
-
免疫原種屬:Homo sapiens (Human)
-
標記方式:Non-conjugated
本頁面中的產品,PYGO2 Antibody (CSB-PA883586LA01HU),的標記方式是Non-conjugated。對于PYGO2 Antibody,我們還提供其他標記。見下表:
-
克隆類型:Polyclonal
-
抗體亞型:IgG
-
純化方式:>95%, Protein G purified
-
濃度:It differs from different batches. Please contact us to confirm it.
-
保存緩沖液:Preservative: 0.03% Proclin 300
Constituents: 50% Glycerol, 0.01M PBS, pH 7.4 -
產品提供形式:Liquid
-
應用范圍:ELISA, IHC, IF
-
推薦稀釋比:
Application Recommended Dilution IHC 1:200-1:500 IF 1:50-1:200 -
Protocols:
-
儲存條件:Upon receipt, store at -20°C or -80°C. Avoid repeated freeze.
-
貨期:Basically, we can dispatch the products out in 1-3 working days after receiving your orders. Delivery time maybe differs from different purchasing way or location, please kindly consult your local distributors for specific delivery time.
-
用途:For Research Use Only. Not for use in diagnostic or therapeutic procedures.
相關產品
靶點詳情
-
功能:Involved in signal transduction through the Wnt pathway.
-
基因功能參考文獻:
- Elevated PYGO2 expression in primary prostate adenocarcinoma is a potential risk factor for biochemical recurrence. PMID: 28924059
- Overexpression of Pygo2 facilitated the expression of P-glycoprotein, which acts as a drug efflux pump, by promoting the transcription of MDR1 at the MDR1 promoter loci, resulting in acceleration of the efflux of paclitaxel in human glioma cells. PMID: 28427190
- We also determined the effect of Pygo2 on the sensitivity of breast tumors resistant to doxorubicin in a mouse model. Finally, RNA samples from 64 paired patient tumors (before and after chemotherapy) highly and significantly overexpressed Pygo2 and/or MDR1 after treatment, thus underlining a pivotal role for the Pygo2-mediated Wnt/b-catenin pathway in the clinical chemoresistance of breast cancer. PMID: 26876203
- Findings are consistent with a model in which acetylation of Pygo2 by CBP/p300 family members in the active TCF/beta-catenin complex occurs coincident with histone acetylation and may be required for the recycling of Pygo2 away from the complex subsequent to target gene activation. PMID: 27647933
- The activation of its expression by ERalpha and/or specificity protein-1 (SP1) suggests hPYGO2 as a theranostic target for hormone therapy responsive and refractory breast cancer. PMID: 26645832
- Pygo2 functions as a prognostic factor for glioma due to its up-regulation of H3K4me3 and promotion of MLL1/MLL2 complex recruitment. PMID: 26902498
- this study demonstrated that SNPs in the coding region of Pygo2 might be one of the causative factors in idiopathic oligospermia and azoospermia, resulting in male infertility. PMID: 26345837
- Our findings suggest that Pygopus-2 may be an important predictor of poor outcome in HCC patients, and could serve as a novel biomarker for HCC. PMID: 25545771
- Pygopus-2 over-expression is associated with hepatic carcinoma. PMID: 25871475
- Pygo2 is a common node downstream of oncogenic Wnt and Akt signaling pathways. PMID: 26170450
- The results of the present study suggest a novel involvement of Pygo in the promotion of rRNA transcription in cancer cells PMID: 23517060
- We conclude that abnormal Pygo2 protein expression may be a marker for advanced non-small cell lung cancer PMID: 23865714
- PYGO2 is identified as a new molecular marker of invasive tumors in esophageal squamous cell carcinoma. PMID: 23456637
- SNPs in the coding region of Pygo2 gene may be one of the causative factors in idiopathic oligospermia and azoospermia, resulting in male infertility. PMID: 23732668
- Pygo2 directly occupies the promoters of multiple histone genes and enhances the acetylation of lysine 56 in histone H3. PMID: 22186018
- Pygo2 is highly expressed in and promotes the growth of glioma cells PMID: 20361361
- The study demonstrated that Pygo2 was highly expressed in glioma tissue and required for growth of glioblastoma cells. PMID: 20204459
- Data show that Pygo2 associates with MLL2 histone methyltransferase and STAGA histone acetyltransferase to facilitate their interaction with beta-catenin and Wnt1-induced, TCF/LEF-dependent transactivation in breast cancer cells. PMID: 20937768
- Pygo2 PHD is the only known PHD finger that is capable of interacting simultaneously with two functional ligands, B9L and BCL9 PMID: 20637214
- The Expression of pygopus 2 protein mRNA levels were significantly higher in the epithelial ovarian cancer cell lines. PMID: 16609037
- hPygo2 is highly expressed in, and required for the growth of breast carcinoma cells PMID: 17203217
- These results provide new evidence that Elf-1 is involved in transcriptional activation of hPygo2. PMID: 18314487
- Data support a model in which the NHD region of Pygopus is required to augment transcriptional activation by a mechanism that includes both transcriptional activation and histone acetylation resulting from the recruitment of the CBP. PMID: 19555349
顯示更多
收起更多
-
亞細胞定位:Nucleus.
-
數據庫鏈接:
Most popular with customers
-
YWHAB Recombinant Monoclonal Antibody
Applications: ELISA, WB, IHC, IF, FC
Species Reactivity: Human, Mouse, Rat
-
Phospho-YAP1 (S127) Recombinant Monoclonal Antibody
Applications: ELISA, WB, IHC
Species Reactivity: Human
-
-
-
-
-
-
VCP Recombinant Monoclonal Antibody
Applications: ELISA, WB, IHC, IF, IP
Species Reactivity: Human, Rat















