POSTN Antibody
-
中文名稱:POSTN兔多克隆抗體
-
貨號:CSB-PA619962ESR2HU
-
規格:¥440
-
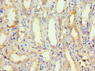
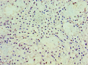
圖片:
-
其他:
產品詳情
-
產品名稱:Rabbit anti-Homo sapiens (Human) POSTN Polyclonal antibody
-
Uniprot No.:
-
基因名:
-
別名:Fasciclin-I like antibody; MGC119510 antibody; MGC119511 antibody; OSF 2 antibody; OSF-2 antibody; OSF2 antibody; Osteoblast specific factor 2 (fasciclin I like) antibody; Osteoblast specific factor 2 antibody; Osteoblast specific factor antibody; Osteoblast-specific factor 2 antibody; PDLPOSTN antibody; Periodontal ligament specific periostin antibody; Periostin antibody; Periostin isoform thy2 antibody; Periostin isoform thy4 antibody; Periostin isoform thy6 antibody; Periostin isoform thy8 antibody; Periostin osteoblast specific factor antibody; PN antibody; POSTN antibody; POSTN_HUMAN antibody; RP11 412K4.1 antibody
-
宿主:Rabbit
-
反應種屬:Human
-
免疫原:Recombinant Human Periostin protein (557-836AA)
-
免疫原種屬:Homo sapiens (Human)
-
標記方式:Non-conjugated
-
克隆類型:Polyclonal
-
抗體亞型:IgG
-
純化方式:Antigen Affinity Purified
-
濃度:It differs from different batches. Please contact us to confirm it.
-
保存緩沖液:PBS with 0.02% sodium azide, 50% glycerol, pH7.3.
-
產品提供形式:Liquid
-
應用范圍:ELISA, IHC
-
推薦稀釋比:
Application Recommended Dilution IHC 1:20-1:200 -
Protocols:
-
儲存條件:Upon receipt, store at -20°C or -80°C. Avoid repeated freeze.
-
貨期:Basically, we can dispatch the products out in 1-3 working days after receiving your orders. Delivery time maybe differs from different purchasing way or location, please kindly consult your local distributors for specific delivery time.
-
用途:For Research Use Only. Not for use in diagnostic or therapeutic procedures.
相關產品
靶點詳情
-
功能:Induces cell attachment and spreading and plays a role in cell adhesion. Enhances incorporation of BMP1 in the fibronectin matrix of connective tissues, and subsequent proteolytic activation of lysyl oxidase LOX.
-
基因功能參考文獻:
- Periostin levels were significantly higher in patients with ameloblastoma than in controls. Moreover, Periostin levels in patients with ameloblastoma were significantly associated with the number of disease. Furthermore, the results suggested that Periostin expression significantly promoted the proliferation and migration, in addition to cell cycle progression of AM-1 cells. PMID: 30196986
- prominent in the superficial dermis in both pemphigus vulgaris and bullous pemphigoid lesions PMID: 27501402
- Findings indicate that Postn deficiency impairs liver regeneration in mice after partial hepatectomy and Postn might be a novel promoter for liver regeneration. PMID: 28965986
- Increased serum periostin concentrations are associated with the presence of diabetic retinopathy in patients with type 2 diabetes mellitus. PMID: 29349642
- Periostin expression is not significantly linked to metastatic disease in pancreatic ductal adenocarcinoma. PMID: 29355490
- high-level mechanical stretch induces apoptotic cell death, and that periostin plays a protective role against mechanical stretch-induced apoptosis in osteoblastic cells. PMID: 29306496
- Both periostin and SCCA may play a role in the pathogenesis of acute bronchitis due to respiratory syncytial virus PMID: 29122495
- serum levels significantly differed between eosinophilic and non-eosinophilic chronic sinusitis with nasal polyps PMID: 29081260
- Periostin contributes to skin fibrosis by enhancing TGF-beta signaling via Smad 7 inhibition, which may lead to extracellular matrix deposition and periostin generation. PMID: 29433908
- the occurrence of periostin in the healthy adult human tooth without co-localization with proteins involved in tooth mineralization, the expression of which it regulates PMID: 29289709
- Periostin is down-regulated in ankylosing spongylitis patients with highly active disease and may contribute to disease pathogenesis through an interaction with Wnt signaling. PMID: 28941122
- In the Title. PMID: 27423493
- Our study demonstrates differences in Periostin (PN) expression in histological subtypes of Papillary Thyroid Carcinoma. Our results plead in favor of a dominant protumorigenic role of stromal PN, while the action of epithelial PN is less noticeable PMID: 29435461
- POSTN may function as a protective factor for osteoblasts during this process by inhibiting the eIF2alphaATF4 pathway. PMID: 29207036
- Circulating levels of DLL1 and POSN were higher in patients with severe dilated cardiomyopathy and correlated with the degree of diastolic dysfunction. PMID: 28474304
- High concentrations of serum periostin in acute ICH patients are associated with increasing severity and a poor functional prognosis PMID: 28882488
- These results demonstrate that POSTN promotes the osteogenic differentiation of mesenchymal stem cells (MSCs) and that CTLA4 enhances the ectopic osteogenesis of MSCs-CTLA4-based tissue-engineered bone. PMID: 28687929
- measurement of a periostin fragment resulting from in vivo cathepsin K digestion may help to identify subjects at high risk of fracture. PMID: 28766739
- Study shows that POSTN is present at high levels in ovarian cancer (OC) ascetic fluids, correlates with CD163+ tumor-associated macrophages and, inversely associates with relapse-free survival for OC patients. Overall, data indicate that POSTN is an important factor for macrophage recruitment in the tumor microenvironment and is involved in the interactions between macrophages and ovarian cancer cells. PMID: 29527764
- confirm associations between periostin and markers of type 2 inflammation, as well as lung function, and identify novel constitutional factors of importance to the use of periostin as a phenotype-specific biomarker in asthma. PMID: 28398635
- found that POSTN is highly expressed in the bone marrow of human B-ALL patients and mouse models of B-ALL, that deficiency of POSTN significantly decreases leukemia burden in mice and that POSTN directly promotes the proliferation of B-ALL cells PMID: 28529314
- Results found that elevated circulating periostin level was associated with an increased risk of nonalcoholic fatty liver disease and insulin resistance among overweight and obese individuals. PMID: 27885258
- Data showed increased POSTN expression in invasive ductal carcinoma (IDC) cells relative to ductal breast carcinoma in situ (DCIS) cells, which may indicate the role of POSTN expression in the IDC cancer cells in the process of tumorigenesis. POSTN high expression is correlated with increasing tumor grade. POSTN expression in the cytoplasm of IDC cancer cells may play an important role in cancer transformation mechanism. PMID: 28902360
- Data suggest that circulating periostin levels are lower in NAFLD (nonalcoholic fatty liver disease) patients with more severe hepatic fibrosis and, in combination with indices of adiposity (BMI or WC), predict F2-F3 stage. (BMI, body mass index; WC, waist circumference) [LETTER] PMID: 27738886
- Serum periostin level may play a role in the severity and chronicity of atopic dermatitis in children. PMID: 28631851
- MicroRNA-599 inhibits proliferation and invasion by down-regulating periostin expression in vitro and in vivo. PMID: 28597372
- periostin may have a role in obstructive airways disease and its serum distribution may be used as a biomarker PMID: 26917610
- High expression of periostin and mTOR were independent risk factors of esophageal squamous cell carcinoma patients. PMID: 28665915
- this study shows that bronchial smooth muscle cells produced periostin after IL-13 stimulation, via the JAK/STAT6, ERK1/2, and PI3K/Akt pathways PMID: 29342461
- FLG and POSTN expression may be downregulated and upregulated, respectively, in the esophageal mucosa of patients with active eosinophilic esophagitis, and these changes may be restored with treatment in a significant percentage of cases. PMID: 28644349
- Periostin levels above the median value (25ng/mL) were not related to the time of next exacerbation, time of next COPD hospitalization, (p=0.858) or time to death. The role of serum periostin levels as a predictive biomarker of future risk in hospitalized patients with COPD is of limited value. PMID: 28511944
- Study shows that overexpressed POSTN was related to epithelial mesenchymal transition (EMT) and tumor progression in head and neck cancer (HNC) clinical samples. These results provide evidence for functional roles of POSTN in the growth, proliferation, metastasis and epithelial mesenchymal transition (EMT) in head and neck cancer. PMID: 29284199
- We identified periostin as a protein that is enriched in exosomes secreted by metastatic cells and validated its presence in a pilot cohort of breast cancer patient samples with localized disease or lymph node (LN) metastasis. PMID: 27589561
- Hypoxia promotes glioma-associated macrophage infiltration via periostin and subsequent M2 polarization by upregulating TGF-beta and M-CSFR. PMID: 27602954
- The relative expression of Periostin is significantly altered in asymptomatic women with subsequent miscarriage compared to women with ongoing pregnancy. Therefore systemic Periostin levels might represent a potential promising biomarker for the assessment of pregnancy outcome. PMID: 29096644
- Data conclude that periostin may have a role in IGF-1 driven cortical modeling and consolidation in young adults, but it may not be an important mediator in older adults. PMID: 28323143
- The proteome profiling of uterine fibroids identifies increased extracellular matrix protein expression, in particular periostin, as a hallmark of uterine fibroids regardless of MED12 mutation status. PMID: 29244110
- High POSTN expression is associated with muscle-invasive bladder cancer. PMID: 26981774
- POSTN promotes tumor angiogenesis via Erk/VEGF signaling in pancreatic cancer PMID: 27223086
- urine periostin/creatinine correlated with renal fibrosis and renal outcome in patients with IgA nephropathy PMID: 27802442
- Periostin increases in response to airway epithelial injury and has been implicated in immunomodulation, mucous production, and extracellular matrix remodeling. PMID: 27905846
- High POSTN expression is associated with glioblastoma cell invasion. PMID: 26930720
- By serial deletion mapping of the first FAS I domain, we identified a peptide sequence (amino acids 142-151) of periostin for stimulation of chemotactic migration, adhesion, proliferation and endothelial tube formation of human ECFCs in vitro. Chemotactic migration of ECFCs induced by the periostin peptide was blocked by pre-incubation with an anti-beta5 integrin neutralizing antibody PMID: 29095886
- high epithelial periostin expression was associated with reduced disease-free survival and overall survival in univariate and multivariate analysis. Periostin may play an important role in the progression of breast tumor, and epithelial periostin expression may serve as a new parameter for prediction of prognosis in patients with invasive breast carcinoma . PMID: 29161296
- knockdown of POSTN inhibited expression of phosphorylated c-Jun N-terminal kinase PMID: 28833827
- These results support an important role of periostin in the biology of myeloma and reveal periostin as a possible target for the development of antimyeloma drugs. PMID: 27716740
- The results indicated that periostin is a pivotal molecule for retinal fibrovascular membrane formation and a promising therapeutic target for the proliferative vitreoretinal diseases. (Review) PMID: 28913545
- The role of periostin in the pathogenesis of skin diseases has been summarized. (Review) PMID: 28916993
- Periostin is highly expressed in the lungs of asthmatic patients, contributes to mucus secretion, airway fibrosis and remodeling and is recognized as a biomarker of Th2 high inflammation. (Review) PMID: 28918442
- Periostin-gene and protein structure has been described. (Review) PMID: 28884327
顯示更多
收起更多
-
亞細胞定位:Golgi apparatus. Secreted. Secreted, extracellular space, extracellular matrix.
-
組織特異性:Widely expressed with highest levels in aorta, stomach, lower gastrointestinal tract, placenta, uterus, thyroid tissue and breast. Up-regulated in epithelial ovarian tumors. Not expressed in normal ovaries. Also highly expressed at the tumor periphery of
-
數據庫鏈接:
Most popular with customers
-
-
Phospho-YAP1 (S127) Recombinant Monoclonal Antibody
Applications: ELISA, WB, IHC
Species Reactivity: Human
-
-
-
-
-
VDAC1 Recombinant Monoclonal Antibody
Applications: ELISA, WB, IHC
Species Reactivity: Human, Mouse, Rat
-
VCP Recombinant Monoclonal Antibody
Applications: ELISA, WB, IHC, IF, IP
Species Reactivity: Human, Rat















