NOTCH3 Antibody
-
中文名稱:NOTCH3兔多克隆抗體
-
貨號:CSB-PA586591
-
規格:¥1100
-
圖片:
-
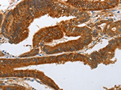
The image on the left is immunohistochemistry of paraffin-embedded Human colon cancer tissue using CSB-PA586591(NOTCH3 Antibody) at dilution 1/25, on the right is treated with synthetic peptide. (Original magnification: ×200)
-
Gel: 8%SDS-PAGE, Lysate: 40 μg, Lane: Human colon cancer tissue, Primary antibody: CSB-PA586591(NOTCH3 Antibody) at dilution 1/400, Secondary antibody: Goat anti rabbit IgG at 1/8000 dilution, Exposure time: 1 minute
-
-
其他:
產品詳情
-
Uniprot No.:
-
基因名:
-
別名:CADASIL antibody; CASIL antibody; NOTC3_HUMAN antibody; Notch 3 antibody; Notch 3 intracellular domain antibody; Notch homolog 3 antibody; Notch3 antibody
-
宿主:Rabbit
-
反應種屬:Human,Mouse,Rat
-
免疫原:Synthetic peptide of Human NOTCH3
-
免疫原種屬:Homo sapiens (Human)
-
標記方式:Non-conjugated
-
抗體亞型:IgG
-
純化方式:Antigen affinity purification
-
濃度:It differs from different batches. Please contact us to confirm it.
-
保存緩沖液:-20°C, pH7.4 PBS, 0.05% NaN3, 40% Glycerol
-
產品提供形式:Liquid
-
應用范圍:ELISA,WB,IHC
-
推薦稀釋比:
Application Recommended Dilution ELISA 1:1000-1:5000 WB 1:200-1:1000 IHC 1:25-1:100 -
Protocols:
-
儲存條件:Upon receipt, store at -20°C or -80°C. Avoid repeated freeze.
-
貨期:Basically, we can dispatch the products out in 1-3 working days after receiving your orders. Delivery time maybe differs from different purchasing way or location, please kindly consult your local distributors for specific delivery time.
-
用途:For Research Use Only. Not for use in diagnostic or therapeutic procedures.
相關產品
靶點詳情
-
功能:Functions as a receptor for membrane-bound ligands Jagged1, Jagged2 and Delta1 to regulate cell-fate determination. Upon ligand activation through the released notch intracellular domain (NICD) it forms a transcriptional activator complex with RBPJ/RBPSUH and activates genes of the enhancer of split locus. Affects the implementation of differentiation, proliferation and apoptotic programs.
-
基因功能參考文獻:
- aberrantly expressed in the pathological tumour vascularization where it limits tumour angiogenesis through a pro-apoptotic activity PMID: 28719575
- TGFbeta activates the transcription factor ZEB1 to repress Notch3, thereby limiting terminal differentiation. PMID: 29170450
- A novel NOTCH3 pathogenic variant (p.N1969 *) in the intracellular ankyrin repeat domain is detected in three CADASIL patients. PMID: 29980472
- SIRT6 may suppress cell proliferation, migration, and invasion via inhibition of the NOTCH3 signaling pathway in glioma PMID: 29659670
- hus Notch3 appears to be a promising target for gene therapy and DAPT is able to mediate a strong antitumor effect in nonsmall cell lung cancer (NSCLC) cells that overexpress Notch3. Further studies of a combined treatment regimen with DAPT and GEM are warranted and may provide greater efficacy and safety in the treatment of NSCLC patients PMID: 29781034
- Adult-onset Mendelian leukodystrophy genes are not common factors implicated in Alzheimer's disease, but there is a potential pathogenic link between NOTCH3, CSF1R, and sporadic late-onset Alzheimer's disease. PMID: 29544907
- Vascular smooth muscle cells were cyclically stretched on flexible membranes. Expression of Jagged1, Notch3, and target genes was down-regulated with strain. Upon increasing thickness, the model predicted a switch-type behavior of Notch signaling state with a steep transition of synthetic toward contractile VSMCs at a certain thickness. The Notch response to hemodynamics plays an important role in vascular homeostasis. PMID: 29610298
- A threshold level of NFATc1 activity facilitates thymocyte differentiation and opposes Notch3-driven leukemia development. PMID: 27312418
- We describe a CADASIL family with a novel R110C mutation in the NOTCH3 gene PMID: 29363903
- The levels of markers related to PaSC activation, such as a-smooth muscle actin (alpha-SMA), collagen I and fibronectin, decreased in response to Notch3 knockdown, indicating that Notch3 plays an important role in PaSC activation. Furthermore, we confirmed that inhibition of PaSC activation via Notch3 siRNA reduced the proliferation and migration of PaSC-induced mouse pancreatic cancer (LTPA) cells. PMID: 29304760
- The novel variant c.128G>C in exon 2 of NOTCH3 was identified in 2 patients with cerebral autosomal dominant arteriopathy with subcortical infarcts and leukoencephalopathy PMID: 28867359
- Temozolomide (TMZ)-mediated gene expression profiles and networks are involved in inducing glioblastoma cell death. Increased CHAC1 and reduced Notch3 levels are both also significantly involved in TMZ-mediated cytotoxicity. The TMZ-regulated CHAC1 pathway inhibits Notch3 activation, resulting in attenuation of Notch3-mediated signaling pathways. PMID: 27986595
- These findings broaden the mutational and clinical spectrum of CADASIL and provide additional evidences for the existence of founder effect in CADASIL patients. PMID: 28710804
- Our study also suggested the anti-neoplasm effect of mangiferin might be via the regulation of Notch3. Taken together, by targeting cell apoptosis pathways and enhancing the response to cisplatin treatment, mangiferin may represent a potential new drug for the treatment of human ovarian cancer. PMID: 28714011
- Results found that Notch3 was more highly expressed in human urothelial cancer tissues than in non-tumorous bladder tissue samples, with Notch3 overexpression being associated with poor clinical outcome. These data suggested that Notch 3 overexpression promotes growth and chemoresistance in urothelial cancer. PMID: 28416766
- Two heterozygous missense mutations in the NOTCH3 gene have been identified in two families affected with cerebral autosomal dominant arteriopathy with subcortical infarct and leucoencephalopathy PMID: 29188607
- Results identified NOTCH3 as a direct target of MIR-613 which represses notch3 expression via targeting its 3'TUR. IN contrary, HOTAIR positively regulates the notch3 expression via acting as a competing endogenous RNA for miR-613 binding in pancreatic cancer. PMID: 28415631
- The present study identified a novel variant (chr19:15288426A>C) in the NOTCH3 gene using whole exome sequencing and confirmed it using Sanger sequencing. With multiple in silico analyses and 3D structure simulation, it is suggested that this variant has mildly damaging effects on the function of NOTCH3 gene, but can decrease protein stability. PMID: 28440410
- We find that across species, the atypical receptor NOTCH3 is differentially overexpressed; it is progressively up-regulated with disease development and promotes tumor cell survival via activation of PI3k-Akt PMID: 27791012
- we report a rare pathogenic mutation on exon 14 of the NOTCH3 gene in a Chinese family affected by CADASIL PMID: 27781952
- The SNPs rs1044009 and rs1044006 in the NOTCH3 gene were associated with the risk of cerebral infarction disease in a Chinese Han agedness population. PMID: 27370894
- Oligodendrocytes expressing mutant NOTCH3(R90C) (present in CADASIL disease), exhibited aberrant NOTCH3 proteolytic processing. These cells were less viable and had a higher rate of apoptosis. Cells with NOTCH3(R90C) had higher levels of intrinsic mitochondrial apoptosis, extrinsic death receptor path-related apoptosis, and autophagy compared with cells transfected with wild-type NOTCH3. PMID: 28601945
- Novel variants in NOTCH3 associated with cerebral autosomal dominant arteriopathy with subcortical infarcts and leukoencephalopathy. PMID: 27881154
- NOTCH3 single-nucleotide polymorphisms role in susceptibility to non-small cell lung cancer PMID: 28968839
- Single-nucleotide polymorphism in NOTCH3 gene is associated with breast cancers. PMID: 28775167
- Reduced NOTCH3/NICD3 and NOTCH4/NICD4 in miR-96- and miR-183-expressing nasopharyngeal carcinoma (NPC) cells suggest the involvement of the NOTCH signaling pathway in their tumor suppressive function. PMID: 27431799
- Low Notch3 expression is associated with left ventricle hypertrabeculation/non-compaction and Menetrier-like gastropathy. PMID: 28013292
- High NOTCH3 expression is associated with basal breast cancer. PMID: 28108512
- in in silico gene expression analysis of human T-ALL samples we observed a significant correlation between Pin1 and Notch3 expression levels, which may further suggest a key role of the newly identified Notch3-Pin1 axis in T-cell Acute Lymphoblastic Leukemia (T-ALL) aggressiveness and progression. Thus, combined suppression of Pin1 and Notch3 proteins may be exploited as an additional target therapy for T-ALL PMID: 26876201
- MicroRNA-136 inhibits cancer stem cell activity and enhances the anti-tumor effect of paclitaxel against chemoresistant ovarian cancer cells by targeting Notch3 pathway. PMID: 27887917
- Specific Notch3 and Jag1 subcellular localization patterns may provide clues for the behavior of the corresponding tumors and could potentially be applied in the clinic for Jag1 targeting in triple-negative breast cancer patients PMID: 28476798
- there is a cross-talk between Jagged1/Notch3 and VEGF in TNBC angiogenesis. Jagged1/Notch3 is expected to be an important signaling pathway for TNBC progression and a potential target for TNBC neovascularization therapy. PMID: 28625320
- Mutations in NOTCH3 gene is associated with T-cell acute lymphoblastic leukemia. PMID: 27717083
- Loss of Notch3 expression may be fundamental to the process of dedifferentiation that accompanies thyroid oncogenesis. Conversely, activation of Notch3 in thyroid cancer exerts an antiproliferative effect and restores elements of a differentiated phenotype PMID: 27861750
- Notch3 and pS6 are significantly related to ovarian epithelial cancer development and prognosis, and their combination represents a potential biomarker and therapeutic target in ovarian tumor angiogenesis. PMID: 27445438
- NOTCH3 381C>T and 1735T>C polymorphisms were associated with Ischemic Stroke and might be the risk factors for Ischemic Stroke development, but not NOTCH3 605C>T polymorphism. PMID: 27770607
- This meta-analysis results did not show significant associations between polymorphisms of NOTCH3 genes and Ischemic stroke. PMID: 27266621
- This study showed that CADASIL with Novel NOTCH3 Cys323Trp Mutation Presenting Border-Zone Infarcts. PMID: 27241575
- Methylation of Notch3 modulates chemoresistance via P-glycoprotein PMID: 27780727
- Notch3 gene expression is up-regulated by Hepatitis B virus X protein in liver cancer cells. PMID: 27840976
- The mRNA and protein expression of NOTCH3 was significantly lower in cisplatin and astragaloside IV-treated cells. PMID: 28281965
- About one third of oral squamous cell carcinomas showed NOTCH3 expression in cancer associated fibroblasts; this expression significantly correlated with tumor-size. PMID: 27124156
- Overexpression of Notch3 significantly reversed the tumor-suppressive effects of miR491-5p. the present study reveals a mechanistic link between miR-491-5p and Notch3 in the pathogenesis of nasopharyngeal carcinoma. PMID: 27035429
- Kaplan-Meier curves suggested that a high expression of Notch3 was a significant risk factor for shortened survival time. We also showed that inhibition of Notch3 had an antiinvasion role in PDAC cells. In vitro, the inhibition of Notch3 reduced the migration and invasion capabilities of PDAC cells PMID: 27633819
- Data support a crucial role of Notch3 in the increase of stem-like property in NSCLC cells that might be associated with upregulation of ALDH1A1 and CD44 and activation of autophagy. PMID: 27035162
- Jagged1 activation of Notch3 resulted in a significant decrease in cell proliferation while concomitantly promoting Hemangioma-pericyte maturation. PMID: 27941324
- Results found new NOTCH3 missenses mutations in patients with pulmonary hypertension that were predicted to be likely pathogenic. PMID: 26894465
- We present a Polish family with a previously unreported novel mutation in exon 12 c.1851C>C/G of the NOTCH3 gene and varying disease expression. One of the two family members with the confirmed mutation presented with all the main CADASIL symptoms; while, his affected father was nearly asymptomatic. PMID: 27375140
- Overexpressing Notch3 protein upregulated Cdh1 expression and resulted in p27(Kip) accumulation by accelerating Skp2 degradation. PMID: 26694515
- A rare 2182C>T mutation in exon 14 of the NOTCH3 gene was identified in all available cases PMID: 27455010
顯示更多
收起更多
-
相關疾病:Cerebral arteriopathy, autosomal dominant, with subcortical infarcts and leukoencephalopathy, 1 (CADASIL1); Myofibromatosis, infantile 2 (IMF2); Lateral meningocele syndrome (LMNS)
-
亞細胞定位:Cell membrane; Single-pass type I membrane protein.; [Notch 3 intracellular domain]: Nucleus. Note=Following proteolytical processing NICD is translocated to the nucleus.
-
蛋白家族:NOTCH family
-
組織特異性:Ubiquitously expressed in fetal and adult tissues.
-
數據庫鏈接:
Most popular with customers
-
-
YWHAB Recombinant Monoclonal Antibody
Applications: ELISA, WB, IHC, IF, FC
Species Reactivity: Human, Mouse, Rat
-
Phospho-YAP1 (S127) Recombinant Monoclonal Antibody
Applications: ELISA, WB, IHC
Species Reactivity: Human
-
-
-
-
-















