NENF Antibody
-
中文名稱:NENF兔多克隆抗體
-
貨號:CSB-PA892354NA01HU
-
規格:¥440
-
圖片:
-
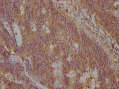
IHC image of CSB-PA892354NA01HU diluted at 1:100 and staining in paraffin-embedded human colon cancer performed on a Leica BondTM system. After dewaxing and hydration, antigen retrieval was mediated by high pressure in a citrate buffer (pH 6.0). Section was blocked with 10% normal goat serum 30min at RT. Then primary antibody (1% BSA) was incubated at 4°C overnight. The primary is detected by a biotinylated secondary antibody and visualized using an HRP conjugated SP system.
-
IHC image of CSB-PA892354NA01HU diluted at 1:100 and staining in paraffin-embedded human heart tissue performed on a Leica BondTM system. After dewaxing and hydration, antigen retrieval was mediated by high pressure in a citrate buffer (pH 6.0). Section was blocked with 10% normal goat serum 30min at RT. Then primary antibody (1% BSA) was incubated at 4°C overnight. The primary is detected by a biotinylated secondary antibody and visualized using an HRP conjugated SP system.
-
-
其他:
產品詳情
-
產品名稱:Rabbit anti-Homo sapiens (Human) NENF Polyclonal antibody
-
Uniprot No.:
-
基因名:NENF
-
別名:Cell growth inhibiting protein 47 antibody; Cell immortalization-related protein 2 antibody; CIR2 antibody; Nenf antibody; NENF_HUMAN antibody; Neudesin antibody; Neuron derived neurotrophic factor antibody; Neuron-derived neurotrophic factor antibody; SCIRP10 antibody; SCIRP10 related protein antibody; Secreted protein of unknown function antibody; Spinal cord injury related protein 10 antibody; SPUF antibody; SPUF protein antibody
-
宿主:Rabbit
-
反應種屬:Human
-
免疫原:Peptide sequence from Human Neudesin protein (149-167AA)
-
免疫原種屬:Homo sapiens (Human)
-
標記方式:Non-conjugated
本頁面中的產品,NENF Antibody (CSB-PA892354NA01HU),的標記方式是Non-conjugated。對于NENF Antibody,我們還提供其他標記。見下表:
-
克隆類型:Polyclonal
-
抗體亞型:IgG
-
純化方式:Antigen Affinity Purified
-
濃度:It differs from different batches. Please contact us to confirm it.
-
保存緩沖液:Preservative: 0.03% Proclin 300
Constituents: 50% Glycerol, 0.01M PBS, pH 7.4 -
產品提供形式:Liquid
-
應用范圍:ELISA, IHC
-
推薦稀釋比:
Application Recommended Dilution IHC 1:20-1:200 -
Protocols:
-
儲存條件:Upon receipt, store at -20°C or -80°C. Avoid repeated freeze.
-
貨期:Basically, we can dispatch the products out in 1-3 working days after receiving your orders. Delivery time maybe differs from different purchasing way or location, please kindly consult your local distributors for specific delivery time.
-
用途:For Research Use Only. Not for use in diagnostic or therapeutic procedures.
相關產品
靶點詳情
-
功能:Acts as a neurotrophic factor in postnatal mature neurons enhancing neuronal survival. Promotes cell proliferation and neurogenesis in undifferentiated neural progenitor cells at the embryonic stage and inhibits differentiation of astrocytes. Its neurotrophic activity is exerted via MAPK1/ERK2, MAPK3/ERK1 and AKT1/AKT pathways. Neurotrophic activity is enhanced by binding to heme. Acts also as an anorexigenic neurotrophic factor that contributes to energy balance.
-
基因功能參考文獻:
- High NENF expression is associated with liver cancer. PMID: 24763612
- Human neudesin of 172 amino acids with high similarity ( approximately 91% identity) to mouse neudesin was identified; the human neudesin gene was mapped to chromosome 1p33. PMID: 15605373
- Describes the predicted heme-binding domains in the human neudesin protein sequence. PMID: 18056703
-
亞細胞定位:Secreted, extracellular space. Mitochondrion. Endoplasmic reticulum.
-
蛋白家族:Cytochrome b5 family, MAPR subfamily
-
組織特異性:Ubiquitously expressed with high expression in heart. Over-expressed in various tumors including carcinomas of the uterine cervix, lymphoma, colon, lung, skin and leukemia, as well as carcinoma of the breast.
-
數據庫鏈接:
Most popular with customers
-
-
YWHAB Recombinant Monoclonal Antibody
Applications: ELISA, WB, IHC, IF, FC
Species Reactivity: Human, Mouse, Rat
-
Phospho-YAP1 (S127) Recombinant Monoclonal Antibody
Applications: ELISA, WB, IHC
Species Reactivity: Human
-
-
-
-
-















