MPI Antibody
-
中文名稱:MPI兔多克隆抗體
-
貨號:CSB-PA014754ESR1HU
-
規格:¥440
-
圖片:
-
Western blot
All lanes: MPI antibody at 5.12µg/ml
Lane 1: Mouse heart tissue
Lane 2: Mouse kidney tissue
Lane 3: Mouse brain tissue
Lane 4: HepG2 whole cell lysate
Lane 5: 293T whole cell lysate
Lane 6: A549 whole cell lysate
Secondary
Goat polyclonal to rabbit IgG at 1/10000 dilution
Predicted band size: 47, 40 kDa
Observed band size: 47 kDa -
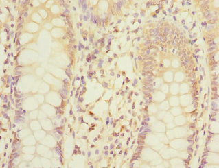
Immunohistochemistry of paraffin-embedded human colon cancer using CSB-PA014754ESR1HU at dilution of 1:100
-
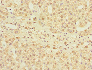
Immunohistochemistry of paraffin-embedded human adrenal gland tissue using CSB-PA014754ESR1HU at dilution of 1:100
-
-
其他:
產品詳情
-
產品名稱:Rabbit anti-Homo sapiens (Human) MPI Polyclonal antibody
-
Uniprot No.:
-
基因名:MPI
-
別名:ody; CDG1B antibody; FLJ39201 antibody; Mannose 6 phosphate isomerase antibody; Mannose-6-phosphate isomerase antibody; MANNOSEPHOSPHATE ISOMERASE antibody; MGC94106 antibody; MPI antibody; MPI_HUMAN antibody; Phosphohexomutase antibody; phosphomannose isomerase 1 antibody; Phosphomannose isomerase antibody; PMI antibody
-
宿主:Rabbit
-
反應種屬:Human, Mouse
-
免疫原:Recombinant Human Mannose-6-phosphate isomerase protein (1-423AA)
-
免疫原種屬:Homo sapiens (Human)
-
標記方式:Non-conjugated
-
克隆類型:Polyclonal
-
抗體亞型:IgG
-
純化方式:Antigen Affinity Purified
-
濃度:It differs from different batches. Please contact us to confirm it.
-
保存緩沖液:PBS with 0.02% sodium azide, 50% glycerol, pH7.3.
-
產品提供形式:Liquid
-
應用范圍:ELISA, WB, IHC
-
推薦稀釋比:
Application Recommended Dilution WB 1:1000-1:5000 IHC 1:20-1:200 -
Protocols:
-
儲存條件:Upon receipt, store at -20°C or -80°C. Avoid repeated freeze.
-
貨期:Basically, we can dispatch the products out in 1-3 working days after receiving your orders. Delivery time maybe differs from different purchasing way or location, please kindly consult your local distributors for specific delivery time.
-
用途:For Research Use Only. Not for use in diagnostic or therapeutic procedures.
相關產品
靶點詳情
-
功能:Involved in the synthesis of the GDP-mannose and dolichol-phosphate-mannose required for a number of critical mannosyl transfer reactions.
-
基因功能參考文獻:
- This work provides mechanistic evidence by which mannose phosphate isomerase loss induces p53, and identifies mannose phosphate isomerase as a novel regulator of p53 and Warburg metabolism. PMID: 28644127
- Phosphomannose isomerase inhibitors improve N-glycosylation in selected phosphomannomutase-deficient fibroblasts PMID: 21949237
- The mannose-6-phosphate-enzyme complex is developed and the key residues involved in the ligand binding are determined. Our results suggest a hydride transfer mechanism of alpha-hydrogen between the C1 and C2 positions. PMID: 16488169
-
相關疾病:Congenital disorder of glycosylation 1B (CDG1B)
-
亞細胞定位:Cytoplasm.
-
蛋白家族:Mannose-6-phosphate isomerase type 1 family
-
組織特異性:Expressed in all tissues, but more abundant in heart, brain and skeletal muscle.
-
數據庫鏈接:
Most popular with customers
-
YWHAB Recombinant Monoclonal Antibody
Applications: ELISA, WB, IHC, IF, FC
Species Reactivity: Human, Mouse, Rat
-
Phospho-YAP1 (S127) Recombinant Monoclonal Antibody
Applications: ELISA, WB, IHC
Species Reactivity: Human
-
-
-
-
-
-















