LXN Antibody
-
中文名稱:LXN兔多克隆抗體
-
貨號:CSB-PA206136
-
規格:¥1100
-
圖片:
-
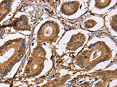
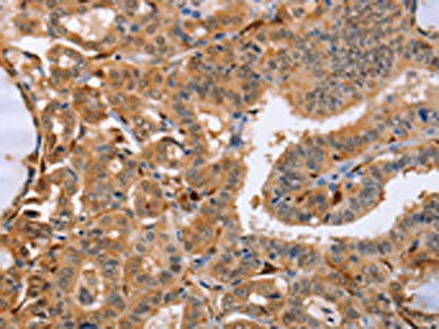
The image on the left is immunohistochemistry of paraffin-embedded Human thyroid cancer tissue using CSB-PA206136(LXN Antibody) at dilution 1/25, on the right is treated with fusion protein. (Original magnification: ×200)
-
The image on the left is immunohistochemistry of paraffin-embedded Human colon cancer tissue using CSB-PA206136(LXN Antibody) at dilution 1/25, on the right is treated with fusion protein. (Original magnification: ×200)
-
Gel: 10%SDS-PAGE, Lysate: 40 μg, Lane: A549 cells, Primary antibody: CSB-PA206136(LXN Antibody) at dilution 1/667, Secondary antibody: Goat anti rabbit IgG at 1/8000 dilution, Exposure time: 10 seconds
-
-
其他:
產品詳情
-
Uniprot No.:
-
基因名:LXN
-
別名:ECI antibody; Endogenous carboxypeptidase inhibitor antibody; Latexin antibody; Latexin protein antibody; LXN antibody; LXN_HUMAN antibody; MUM antibody; Protein MUM antibody; TCI antibody; Tissue carboxypeptidase inhibitor antibody
-
宿主:Rabbit
-
反應種屬:Human,Mouse,Rat
-
免疫原:Fusion protein of Human LXN
-
免疫原種屬:Homo sapiens (Human)
-
標記方式:Non-conjugated
-
抗體亞型:IgG
-
純化方式:Antigen affinity purification
-
濃度:It differs from different batches. Please contact us to confirm it.
-
保存緩沖液:-20°C, pH7.4 PBS, 0.05% NaN3, 40% Glycerol
-
產品提供形式:Liquid
-
應用范圍:ELISA,WB,IHC
-
推薦稀釋比:
Application Recommended Dilution ELISA 1:2000-1:10000 WB 1:1000-1:5000 IHC 1:25-1:100 -
Protocols:
-
儲存條件:Upon receipt, store at -20°C or -80°C. Avoid repeated freeze.
-
貨期:Basically, we can dispatch the products out in 1-3 working days after receiving your orders. Delivery time maybe differs from different purchasing way or location, please kindly consult your local distributors for specific delivery time.
-
用途:For Research Use Only. Not for use in diagnostic or therapeutic procedures.
相關產品
靶點詳情
-
功能:Hardly reversible, non-competitive, and potent inhibitor of CPA1, CPA2 and CPA4. May play a role in inflammation.
-
基因功能參考文獻:
- Results identified that LXN expression inversely modulates taxane-chemoresistance in the PC-3 prostate cancer cell line. Inhibition of LXN expression in the bone microenvironment promotes chemoresistance, in part through a methylation-dependent mechanism. PMID: 28087740
- Results show that Lxn expression was clearly decreased in the pancreatic ductal adenocarcinoma tissues suggesting it that as a tumor suppressor that targets CD133-positive cancer cells. PMID: 26530530
- Lxn protein and mRNA expression levels in CD133+ miapaca-2 cells were significantly lower than those in CD133- cells. PMID: 25551472
- latexin is markedly downregulated in hepatocellular carcinoma specimens, compared to adjacent non-cancerous tissues. PMID: 24399246
- CD146 and Lxn increased tumor migration and invasion of thyroid cancer. PMID: 23712706
- The hematopoietic stem cell regulatory gene latexin has tumor-suppressive properties in malignant melanoma. PMID: 23364479
- These results are consistent with a tumor suppressor role for latexin. PMID: 23028717
- Latexin expression is lost or greatly reduced in approximately 50% of human leukemia/lymphoma cell lines. PMID: 21567403
- downregulated expression in gastric carcinomas; tumor suppressor PMID: 21466706
顯示更多
收起更多
-
亞細胞定位:Cytoplasm.
-
蛋白家族:Protease inhibitor I47 (latexin) family
-
組織特異性:Highly expressed in heart, prostate, ovary, kidney, pancreas, and colon, moderate or low in other tissues including brain.
-
數據庫鏈接:
Most popular with customers
-
-
YWHAB Recombinant Monoclonal Antibody
Applications: ELISA, WB, IHC, IF, FC
Species Reactivity: Human, Mouse, Rat
-
Phospho-YAP1 (S127) Recombinant Monoclonal Antibody
Applications: ELISA, WB, IHC
Species Reactivity: Human
-
-
-
-
-















