LXN Monoclonal Antibody
-
中文名稱:LXN Monoclonal Antibody
-
貨號:CSB-MA213110
-
規格:¥1320
-
圖片:
-
Flow cytometric analysis of Latexin expression in HepG2 cells using Latexin antibody. Green, isotype control; red, Latexin.
-
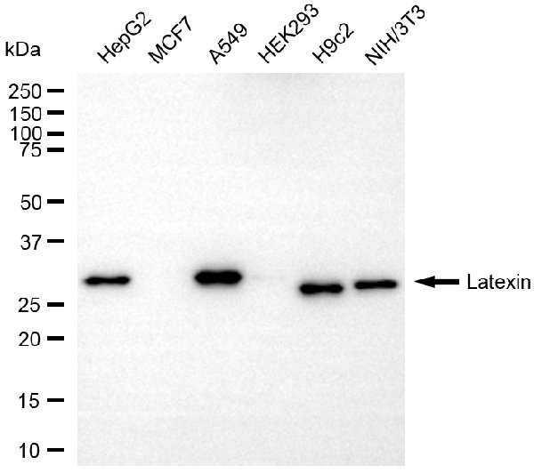
Western blotting analysis using latexin antibody. Total cell lysates (30 μg) from various cell lines were loaded and separated by SDS-PAGE. The blot was incubated with latexin antibody and HRP-conjugated goat mouse secondary antibody respectively.
-
-
其他:
產品詳情
-
產品名稱:Mouse anti-Homo sapiens (Human) LXN Monoclonal antibody
-
Uniprot No.:
-
基因名:LXN
-
別名:LXN; Latexin; Endogenous Carboxypeptidase Inhibitor; Tissue Carboxypeptidase Inhibitor; ECI; TCI; Protein MUM; MUM
-
宿主:Mouse
-
反應種屬:Human, Mouse, Rat
-
免疫原:Recombinant Human LXN protein
-
免疫原種屬:Homo sapiens (Human)
-
標記方式:Non-conjugated
-
克隆類型:Monoclonal
-
抗體亞型:Mouse IgG1
-
純化方式:Affinity-chromatography
-
克隆號:25B10
-
濃度:It differs from different batches. Please contact us to confirm it.
-
保存緩沖液:PBS (pH 7.4) containing 50% glycerol, and 0.02% sodium azide.
-
產品提供形式:Liquid
-
應用范圍:ELISA, WB, FC
-
推薦稀釋比:
Application Recommended Dilution WB 1:500-1:2500 FC 1:200-1:2000 -
Protocols:
-
儲存條件:Upon receipt, store at -20°C or -80°C. Avoid repeated freeze.
-
貨期:Basically, we can dispatch the products out in 1-3 working days after receiving your orders. Delivery time maybe differs from different purchasing way or location, please kindly consult your local distributors for specific delivery time.
-
用途:For Research Use Only. Not for use in diagnostic or therapeutic procedures.
相關產品
靶點詳情
-
功能:Hardly reversible, non-competitive, and potent inhibitor of CPA1, CPA2 and CPA4. May play a role in inflammation.
-
基因功能參考文獻:
- Results identified that LXN expression inversely modulates taxane-chemoresistance in the PC-3 prostate cancer cell line. Inhibition of LXN expression in the bone microenvironment promotes chemoresistance, in part through a methylation-dependent mechanism. PMID: 28087740
- Results show that Lxn expression was clearly decreased in the pancreatic ductal adenocarcinoma tissues suggesting it that as a tumor suppressor that targets CD133-positive cancer cells. PMID: 26530530
- Lxn protein and mRNA expression levels in CD133+ miapaca-2 cells were significantly lower than those in CD133- cells. PMID: 25551472
- latexin is markedly downregulated in hepatocellular carcinoma specimens, compared to adjacent non-cancerous tissues. PMID: 24399246
- CD146 and Lxn increased tumor migration and invasion of thyroid cancer. PMID: 23712706
- The hematopoietic stem cell regulatory gene latexin has tumor-suppressive properties in malignant melanoma. PMID: 23364479
- These results are consistent with a tumor suppressor role for latexin. PMID: 23028717
- Latexin expression is lost or greatly reduced in approximately 50% of human leukemia/lymphoma cell lines. PMID: 21567403
- downregulated expression in gastric carcinomas; tumor suppressor PMID: 21466706
顯示更多
收起更多
-
亞細胞定位:Cytoplasm.
-
蛋白家族:Protease inhibitor I47 (latexin) family
-
組織特異性:Highly expressed in heart, prostate, ovary, kidney, pancreas, and colon, moderate or low in other tissues including brain.
-
數據庫鏈接:
Most popular with customers
-
YWHAB Recombinant Monoclonal Antibody
Applications: ELISA, WB, IHC, IF, FC
Species Reactivity: Human, Mouse, Rat
-
Phospho-YAP1 (S127) Recombinant Monoclonal Antibody
Applications: ELISA, WB, IHC
Species Reactivity: Human
-
-
-
-
-
-
VDAC1 Recombinant Monoclonal Antibody
Applications: ELISA, WB, IHC
Species Reactivity: Human, Mouse, Rat















