LIF Antibody
-
中文名稱:LIF兔多克隆抗體
-
貨號:CSB-PA198481
-
規格:¥1100
-
圖片:
-
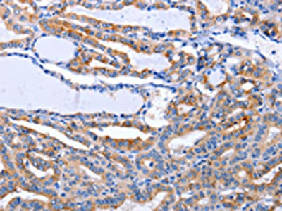
The image on the left is immunohistochemistry of paraffin-embedded Human thyroid cancer tissue using CSB-PA198481(LIF Antibody) at dilution 1/25, on the right is treated with synthetic peptide. (Original magnification: ×200)
-
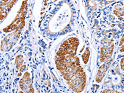
The image on the left is immunohistochemistry of paraffin-embedded Human stomach cancer tissue using CSB-PA198481(LIF Antibody) at dilution 1/25, on the right is treated with synthetic peptide. (Original magnification: ×200)
-
-
其他:
產品詳情
-
Uniprot No.:
-
基因名:
-
別名:CDF antibody; Cholinergic Differentiation Factor antibody; D factor antibody; DIA antibody; Differentiation inducing factor antibody; differentiation inhibitory activity antibody; Differentiation stimulating factor antibody; Differentiation-stimulating factor antibody; Emfilermin antibody; Hepatocyte stimulating factor III antibody; HILDA antibody; Human interleukin in DA cells antibody; Leukemia inhibitory factor antibody; LIF antibody; LIF_HUMAN antibody; Melanoma derived LPL inhibitor antibody; Melanoma-derived LPL inhibitor antibody; MLPLI antibody
-
宿主:Rabbit
-
反應種屬:Human,Mouse,Rat
-
免疫原:Synthetic peptide of Human LIF
-
免疫原種屬:Homo sapiens (Human)
-
標記方式:Non-conjugated
-
抗體亞型:IgG
-
純化方式:Antigen affinity purification
-
濃度:It differs from different batches. Please contact us to confirm it.
-
保存緩沖液:-20°C, pH7.4 PBS, 0.05% NaN3, 40% Glycerol
-
產品提供形式:Liquid
-
應用范圍:ELISA,IHC
-
推薦稀釋比:
Application Recommended Dilution ELISA 1:1000-1:10000 IHC 1:25-1:100 -
Protocols:
-
儲存條件:Upon receipt, store at -20°C or -80°C. Avoid repeated freeze.
-
貨期:Basically, we can dispatch the products out in 1-3 working days after receiving your orders. Delivery time maybe differs from different purchasing way or location, please kindly consult your local distributors for specific delivery time.
-
用途:For Research Use Only. Not for use in diagnostic or therapeutic procedures.
相關產品
靶點詳情
-
功能:LIF has the capacity to induce terminal differentiation in leukemic cells. Its activities include the induction of hematopoietic differentiation in normal and myeloid leukemia cells, the induction of neuronal cell differentiation, and the stimulation of acute-phase protein synthesis in hepatocytes.
-
基因功能參考文獻:
- miR-181c-3p and -5p promotes high-glucose-induced dysfunction in human umbilical vein endothelial cells by regulating leukemia inhibitory factor PMID: 29605252
- The findings indicate that low LIF concentrations in serum and follicular fluid may contribute to disordered folliculogenesis in polycystic ovary syndrome. PMID: 29397316
- This study uses LIF to activate the PI3K/ AKT signal and induce the anti-inflammatory effect during the neuron differentiation from human induced pluripotent stem cell-derived neural precursor cells. PMID: 29393372
- These findings implicate ZEB1 as a stem cell regulator in glioma via LIF repression which when deleted leads to increased stemness, tumorigenicity and shortened patient survival. PMID: 28246407
- Decreased serum LIF levels may be associated with vasculopathy in systemic sclerosis (SSc) and that Fli1 deficiency may contribute to the inhibition of LIF-dependent biological effects on SSc endothelial cells by suppressing the expression of LIF, LIF receptor, and gp130. PMID: 29038846
- The endometrial expression of LIF and CD34 in the pathogenesis of non-developing pregnancy can be used for evaluating the pregnancy prognosis in women of young and old reproductive age. PMID: 29063331
- This report describes the involvement of proteins responsible for cell growth and progression and defines the LIF-mediated novel autocrine-paracrine signaling loop for cell growth arrest. PMID: 28755912
- The expression of LIF was associated with tumor size and a poorer overall survival. Microarray and quantitative real-time polymerase chain reaction assessments suggest that LIF can facilitate tumor-promoting inflammation. Results indicate that LIF plays a role in maintaining cancer stem cells in chordomas. PMID: 28247842
- study indicated impaired LIF expression levels only in women with unexplained infertility, while LIF-R expression was impaired in all sub-groups of infertile women. PMID: 28432985
- findings illustrate that DeltaNp63alpha can inhibit the levels of LIF mRNA by direct transcription regulation and decrease LIF mRNA stability by suppressing the expression of Lnc-LIF-AS. An inverse interaction of LIF and DeltaNp63alpha expression was as well validated in clinical samples of cervical cancer, and high level of LIF in cervical cancers was related with poor patient survival. PMID: 28391028
- ATF3 plays a significant role in regulating human endometrial receptivity and embryo attachment in vitro via up-regulation of leukemia inhibitory factor. PMID: 28577574
- Although further studies would be required to deconvolute the targets involved in LIF induction and to confirm activity of hits in more disease-relevant assays, our results have demonstrated the potential of the phenotypic approach to identify specific and chemically tractable small molecules that trigger the production of LIF in relevant cell lines PMID: 26984928
- SNP 3951C/T of LIF may not be associated with in vitro fertilization and embryo transfer outcome in Iranian population. PMID: 28466814
- In summary, this study has shown that LIF is implicated in the HG-mediated inhibition of osteoblast differentiation, via promoting STAT3/SOCS3 signaling. This study may provide insights into the signal pathway of HG-induced bone loss or delayed injured joint healing. PMID: 28064096
- Cytokines of the LIF/CNTF family and metabolism PMID: 26817395
- These results demonstrate the involvement of PIM kinases in LIF-induced regulation in different trophoblastic cell lines which may indicate similar functions in primary cells. PMID: 28729093
- Data suggest a 216-nucleotide proximal cis-element in LIF mRNA exhibits mRNA destabilizing potential; on exposure to carcinogen PMA (phorbol-12-myristate-13-acetate), this cis-element exhibits mRNA stabilizing activity. PMA induces nucleo-cytoplasmic translocation of both nucleolin and PCBP1, 2 trans-acting factors that bind to and stabilize LIF mRNA. [LIF = leukemia inhibitory factor; PCBP1 = poly(rC) binding protein 1] PMID: 28512205
- Leukemia inhibitory factor (LIF) - STAT3 transcription factor (STAT3) signaling pathway is systemically dysregulated in in the endometrium of patients with recurrent/repeated implantation failure (RIFE). PMID: 27304912
- Endometrial expression of LIF and LIFR is significantly reduced in the epithelial cells of infertile women. PMID: 27082016
- LIF SNP T/G (rs929271) seems to be a susceptibility biomarker capable of predicting implantation efficiency and pregnancy outcomes. PMID: 26615902
- Overexpression of LIF promotes Epithelial-mesenchymal transition and results in cancer. PMID: 26716902
- This review discusses the role of LIF and the recent analysis of its action on the uterine LE in regulating endometrial receptivity and implantation. PMID: 26817565
- Women with dormant genital tuberculosis were found to have decreased endometrial LIF-STAT3 signaling. PMID: 26776907
- Data show that leukemia inhibitory factor (LIF) signaling promote chemoresistance in cholangiocarcinoma by up-regulating myeloid cell factor-1 (Mcl-1) via phosphatidylinositol 3-kinase (PI3K)/c-akt protein (AKT)-dependent pathway. PMID: 26296968
- Despite common signal transduction mechanisms (JAK/STAT, MAPK and PI3K) LIF can have paradoxically opposite effects in different cell types including stimulating or inhibiting each of cell proliferation, differentiation and survival. PMID: 26187859
- Taken together, we firstly demonstrate that LIF enhances the adhesion of trophoblastic cells to endometrial cells by up-regulating expression of integrin heterodimer alphaVbeta3 and alphaVbeta5. PMID: 26723254
- LIF has a role in negatively regulating tumour-suppressor p53 through Stat3/ID1/MDM2 in colorectal cancers PMID: 25323535
- LIF/p21 signaling cascade as a novel tumor suppressive-like pathway in melanoma, acting downstream of TGFbeta to regulate cell cycle arrest and cell death, further highlight new potential therapeutic strategies for the treatment of cutaneous melanoma PMID: 25885043
- LIF was frequently overexpressed in osteosarcoma, which could promote the growth and invasion through activating the STAT3 pathway. PMID: 26271643
- LIF structure, signaling pathway, and primary roles in the development and function of an organism are reviewed--{REVIEW} PMID: 25879318
- LIF downregulates the autoimmune response by enhancing Treg numbers. PMID: 25514345
- LIF mediates fibroblast activation to promote invasive tumor microenvironment. PMID: 24857661
- Data indicate that NanoLuc-fusion strategy provided an efficient approach for preparation of recombinant leukemia inhibitory factor (LIF) protein PMID: 25179300
- Expression of LIF protects the lung from lung injury and enhanced pathology during respiratory syncytial virus infection. PMID: 25277705
- Studied the association of tubal pregnancy with leukemia inhibitory factor (LIF) and leukemia inhibitory factor receptor (LIFR) expression in oviduct tissues. PMID: 25790555
- an essential function of Foxm1 in the LIF/Stat3-mediated mESC self-renewal and the generation of iPSCs PMID: 24743237
- Results show that endogenous levels of Pkig reciprocally regulate osteoblast and adipocyte differentiation and that this reciprocal regulation is mediated in part by LIF. PMID: 23963683
- An increased mRNA expression of PROK1 and LIF could be one of the several abnormalities characterizing the endometrium in women recurrent pregnancy loss. PMID: 25128195
- Addition of leukemia inhibitory factor (LIF) neutralizing antibodies inhibited oligodendrocyte differentiation, indicating a crucial role of TNFR2-induced astrocyte derived LIF for oligodendrocyte maturation PMID: 24310780
- Data from 3-year-old girl and other reported cases support model in which abundance of LIF in B-cell acute lymphoblastic leukemia results in leukemic infiltration of central nervous system and development of Cushing syndrome. [CASE STUDY; REVIEW] PMID: 23729555
- This mini review will summarize the findings that are related to LIF signaling and discuss the neuroprotective effects of LIF in different models. PMID: 24664722
- Data suggest LIF/LIF receptor (alpha subunit) signal transduction facilitates blastocyst implantation or development of tubal pregnancy by stimulating blastocyst adhesion and outgrowth/proliferation of placenta or Fallopian tube epithelial cells. PMID: 24074901
- Polyethylene glycated leukemia inhibitory factor antagonist inhibits human blastocyst implantation and triggers apoptosis by down-regulating embryonic AKT1. PMID: 23876532
- NPC patients had increased serum levels of LIF. Higher LIF levels correlated with local tumor recurrence. Xenograft mouse studies showed that LIF critically contributes to NPC tumor growth & radioresistance. PMID: 24270418
- study found lower expression of LIF in the edndometrium in unexplained infertile women with multiple implantation failures compared to fertile women; data suggest that the initial lower expression of LIF in proliferative phase may be one of the causes for multiple failure of implantation PMID: 23541977
- novel expression and purification protocol for the production of recombinant hLIF PMID: 23628981
- In summary, we can show that LIF is an important factor in melanoma progression. PMID: 23831429
- Data show that the expressions of ER-alpha, PR, LIF, VEGF, iNOS and CB1 in fallopian tube and chorionic villi of tubal pregnancy were not altered by exposure to levonorgestrel emergency contraception. PMID: 23687977
- LIF is a contraction-induced myokine, potentially acting in an autocrine or paracrine fashion to promote skeletal muscle satellite cell proliferation. PMID: 21527666
- No correlation was found between pinopodes development stage and LIF expressions in endometrium. PMID: 22252755
顯示更多
收起更多
-
亞細胞定位:Secreted.
-
蛋白家族:LIF/OSM family
-
數據庫鏈接:
Most popular with customers
-
-
YWHAB Recombinant Monoclonal Antibody
Applications: ELISA, WB, IHC, IF, FC
Species Reactivity: Human, Mouse, Rat
-
Phospho-YAP1 (S127) Recombinant Monoclonal Antibody
Applications: ELISA, WB, IHC
Species Reactivity: Human
-
-
-
-
-















