KDM1B Antibody
-
中文名稱:KDM1B兔多克隆抗體
-
貨號:CSB-PA822748LA01HU
-
規格:¥440
-
圖片:
-
其他:
產品詳情
-
產品名稱:Rabbit anti-Homo sapiens (Human) KDM1B Polyclonal antibody
-
Uniprot No.:
-
基因名:KDM1B
-
別名:amine oxidase (flavin containing) domain 1 antibody; amine oxidase, flavin containing 1 antibody; AOF1 antibody; bA204B7.3 antibody; C6orf193 antibody; dJ298J15.2 antibody; Flavin-containing amine oxidase domain-containing protein 1 antibody; FLJ33898 antibody; FLJ34109 antibody; FLJ43328 antibody; KDM1B antibody; KDM1B_HUMAN antibody; LSD2 antibody; lysine (K)-specific demethylase 1B antibody; Lysine-specific demethylase 2 antibody; Lysine-specific histone demethylase 1B antibody; Lysine-specific histone demethylase 2 antibody
-
宿主:Rabbit
-
反應種屬:Human
-
免疫原:Recombinant Human Lysine-specific histone demethylase 1B protein (451-544AA)
-
免疫原種屬:Homo sapiens (Human)
-
標記方式:Non-conjugated
本頁面中的產品,KDM1B Antibody (CSB-PA822748LA01HU),的標記方式是Non-conjugated。對于KDM1B Antibody,我們還提供其他標記。見下表:
-
克隆類型:Polyclonal
-
抗體亞型:IgG
-
純化方式:>95%, Protein G purified
-
濃度:It differs from different batches. Please contact us to confirm it.
-
保存緩沖液:Preservative: 0.03% Proclin 300
Constituents: 50% Glycerol, 0.01M PBS, PH 7.4 -
產品提供形式:Liquid
-
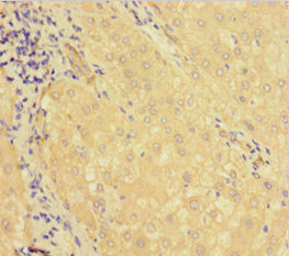
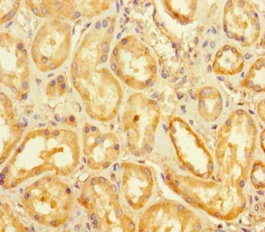
應用范圍:ELISA, IHC
-
推薦稀釋比:
Application Recommended Dilution IHC 1:20-1:200 -
Protocols:
-
儲存條件:Upon receipt, store at -20°C or -80°C. Avoid repeated freeze.
-
貨期:Basically, we can dispatch the products out in 1-3 working days after receiving your orders. Delivery time maybe differs from different purchasing way or location, please kindly consult your local distributors for specific delivery time.
-
用途:For Research Use Only. Not for use in diagnostic or therapeutic procedures.
相關產品
靶點詳情
-
功能:Histone demethylase that demethylates 'Lys-4' of histone H3, a specific tag for epigenetic transcriptional activation, thereby acting as a corepressor. Required for de novo DNA methylation of a subset of imprinted genes during oogenesis. Acts by oxidizing the substrate by FAD to generate the corresponding imine that is subsequently hydrolyzed. Demethylates both mono- and di-methylated 'Lys-4' of histone H3. Has no effect on tri-methylated 'Lys-4', mono-, di- or tri-methylated 'Lys-9', mono-, di- or tri-methylated 'Lys-27', mono-, di- or tri-methylated 'Lys-36' of histone H3, or on mono-, di- or tri-methylated 'Lys-20' of histone H4.
-
基因功能參考文獻:
- These results suggest that LSD2 achieves a promoting effect on small cell lung cancer by indirectly regulating TFPI2 expression through the mediation of DNMT3B expression or through the regulation of the demethylation of H3K4me1 in the promoter region of the TFPI2 gene. PMID: 29845195
- This review focuses on published small-molecule inhibitors targeted at the two flavin adenine dinucleotide-dependent lysine demethylases, lysine-specific demethylases 1 and 2, and how the inhibitors interact with the tertiary structures of the enzymes. PMID: 28277979
- These results demonstrate an important role for LSD2 in regulation of DNA methylation and gene silencing in breast cancer. PMID: 24924415
- Histone demethylase LSD2 acts as an E3 ubiquitin ligase and inhibits cancer cell growth through promoting proteasomal degradation of OGT. PMID: 25773598
- Using transcriptome and chromatin immunoprecipitation-sequencing analyses, the study revealed that LSD2 represses the genes involved in lipid influx and metabolism through demethylation of histone H3K4. PMID: 25624347
- regulation of tissue factor pathway inhibitor-2 (TFPI-2) expression by lysine-specific demethylase 1 and 2 PMID: 25036127
- The zinc finger-SWIRM-oxidase domains is required for KDM1B demethylase activity and the binding of FAD. PMID: 23266887
- Human LSD2/KDM1b/AOF1 regulates gene transcription by modulating intragenic H3K4me2 methylation. PMID: 20670891
顯示更多
收起更多
-
亞細胞定位:Nucleus.
-
蛋白家族:Flavin monoamine oxidase family
-
數據庫鏈接:
Most popular with customers
-
-
YWHAB Recombinant Monoclonal Antibody
Applications: ELISA, WB, IHC, IF, FC
Species Reactivity: Human, Mouse, Rat
-
Phospho-YAP1 (S127) Recombinant Monoclonal Antibody
Applications: ELISA, WB, IHC
Species Reactivity: Human
-
-
-
-
-















