KCNK9 Antibody
-
中文名稱:KCNK9兔多克隆抗體
-
貨號:CSB-PA175630
-
規格:¥1100
-
圖片:
-
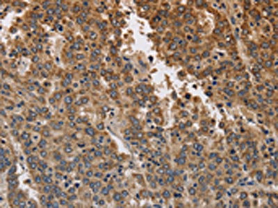
The image on the left is immunohistochemistry of paraffin-embedded Human liver cancer tissue using CSB-PA175630(KCNK9 Antibody) at dilution 1/40, on the right is treated with synthetic peptide. (Original magnification: ×200)
-
The image on the left is immunohistochemistry of paraffin-embedded Human colon cancer tissue using CSB-PA175630(KCNK9 Antibody) at dilution 1/40, on the right is treated with synthetic peptide. (Original magnification: ×200)
-
Gel: 8%SDS-PAGE, Lysate: 40 μg, Lane 1-2: Human paraneoplastic tissue, Human normal kidney tissue, Primary antibody: CSB-PA175630(KCNK9 Antibody) at dilution 1/650, Secondary antibody: Goat anti rabbit IgG at 1/8000 dilution, Exposure time: 40 seconds
-
-
其他:
產品詳情
-
Uniprot No.:
-
基因名:KCNK9
-
別名:KCNK9; TASK3; Potassium channel subfamily K member 9; Acid-sensitive potassium channel protein TASK-3; TWIK-related acid-sensitive K(+ channel 3; Two pore potassium channel KT3.2; Two pore K(+ channel KT3.2
-
宿主:Rabbit
-
反應種屬:Human
-
免疫原:Synthetic peptide of Human KCNK9
-
免疫原種屬:Homo sapiens (Human)
-
標記方式:Non-conjugated
-
抗體亞型:IgG
-
純化方式:Antigen affinity purification
-
濃度:It differs from different batches. Please contact us to confirm it.
-
保存緩沖液:-20°C, pH7.4 PBS, 0.05% NaN3, 40% Glycerol
-
產品提供形式:Liquid
-
應用范圍:ELISA,WB,IHC
-
推薦稀釋比:
Application Recommended Dilution ELISA 1:2000-1:5000 WB 1:500-1:2000 IHC 1:100-1:300 -
Protocols:
-
儲存條件:Upon receipt, store at -20°C or -80°C. Avoid repeated freeze.
-
貨期:Basically, we can dispatch the products out in 1-3 working days after receiving your orders. Delivery time maybe differs from different purchasing way or location, please kindly consult your local distributors for specific delivery time.
-
用途:For Research Use Only. Not for use in diagnostic or therapeutic procedures.
相關產品
靶點詳情
-
功能:pH-dependent, voltage-insensitive, background potassium channel protein.
-
基因功能參考文獻:
- observations implicate TASK-3 as a critical factor in cell cycle progression and corroborate its potential as a therapeutic target in breast cancer treatment. PMID: 29596383
- point mutations in DLK1 and KCNK9 at least do not seem to be a common cause of central precocious puberty in girls. PMID: 28672280
- In conclusion, we have identified the first selective activator of the two-pore domain potassium channel TASK3. PMID: 28882594
- KCNK9 imprinting syndrome is a rare cause of intellectual disability, congenital hypotonia, palatal abnormalities, and occasional seizures. PMID: 27151206
- Our results provide evidence for new loci influencing abdominal visceral (BBS9, ADCY8, KCNK9) and subcutaneous (MLLT10/DNAJC1/EBLN1) fat, and confirmed a locus (THNSL2) previously reported to be associated with abdominal fat in women. PMID: 26480920
- TASK-1 and TASK-3 may form heterodimers in human atrial cardiomyocytes. PMID: 25655935
- During conductance simulation experiments, both TASK-3 and TREK-1 channels were able to repolarise the membrane once AP threshold was reached PMID: 25482670
- The findings of this study suggest that variations in KCNK9 genes are associated with both mild and severe persistent breast pain after breast cancer surgery. PMID: 25599232
- Diacylglycerol mediates regulation of TASK1 and TASK3 potassium channels by GNAQ. PMID: 25420509
- Interference with TASK-3 channel expression, therefore, induces caspase-dependent and -independent apoptosis of melanoma cells, most likely via causing mitochondrial depolarization. PMID: 25318378
- K2P3.1 and K2P9.1 undergo rapid dynamin-dependent endocytosis PMID: 23807092
- Mutations of KCNK9 or epigenetic disturbances within the PEG13 imprinted cluster do not significantly contribute to the cause of the developmental disabilities tested in this study. PMID: 24980697
- Two SNPs replicated: the paternal rs2471083-C allele (located near the imprinted KCNK9 gene) and the paternal rs3091869-T allele (located near the SLC2A10 gene) increased BMI equally (beta = 0.11 (SD), P<0.0027) PMID: 25078964
- For KCNK9, two SNPs (i.e., rs3780039, rs11166921) were associated with the occurrence of preoperative breast pain. PMID: 24392765
- We observed co-localization of the TASK-3 protein and a mitochondrial marker in the mitochondria of HaCaT cells. PMID: 24126847
- By both a gain-of-function additional mutation of TASK3 channels. PMID: 24342771
- TNFalpha activation and TASK3 channel activity can promote cellular apoptosis. PMID: 24307172
- Overexpression of TASK-3 expression is associated with ovarian cancer. PMID: 23564779
- Results of an exploratory study suggest that blood pressure and aldosterone production may be affected by variations in KCNK9. The findings could have relevance to risk for hypertension. PMID: 22893713
- an increase in TASK-3 expression levels reduces cell migration/invasion in breast cancer cells PMID: 21910834
- Depletion of the endogenous phosphatidylinositol-4,5-bisphosphate pool in living cells consistently finds no change in currents mediated by TASK-1 and TASK-3. PMID: 21540350
- TASK-3 immunoreactivity was detected in both astrocytes and microglia of temporal lobe epilepsy patients. PMID: 21710317
- TASK-3 channels are functionally present in the mitochondria of the melanoma cells, and their function is essential for the survival of these cells. PMID: 21512417
- cAMP-dependent protein kinase is responsible for the phosphorylation of the terminal serine in both K(2P)3.1 and K(2P)9.1 PMID: 21357689
- Western analysis confirms expression of TASK1 and TASK3 in medulloblastoma cells. PMID: 20931182
- KCNK9 gene is imprinted in human and mouse, exhibiting preferential expression from the maternal allele in brain. PMID: 17704508
- TASK-1 and 3 are determinant of aldosterone secretion and adrenocortical zonation. PMID: 20049674
- TASK-3 responds to voltage in a way that reveals gating at its inner, cytoplasmic mouth through movements of membrane helices M2 and M4. PMID: 19703964
- TASK-1 and TASK-3 differed insofar as a large portion of the C terminus was necessary for the full effects of halothane and TRH on TASK-3 but not on TASK-1 PMID: 11886861
- Overexpression of KCNK9 in cell lines promotes tumor formation and confers resistance to both hypoxia and serum deprivation. PMID: 12676587
- results establish a direct link between the potassium channel activity of TASK3 and its oncogenic functions and imply that blockers for this potassium channel may have therapeutic potential for the treatment of cancers PMID: 12782791
- TASK3 is expressed in pia mater, astrocytes, Purkinje and granule cells PMID: 15197476
- TASK-3 channels underlie a major component of cerebellar granule neurons leak current which is sensitive to block by zinc PMID: 15284350
- Overexpression rather than mutation of the KCNK9 gene may contribute to the development of colorectal cancers. PMID: 15601307
- The expression pattern of TASK-3 in Melanoma cells is determined. PMID: 17013562
- (Glutamic acid-aspartic acid-glutamic acid) in human TASK-3 is a major determinant of the rate of endoplasmic reticulum export and is required for efficient surface expression of the channel. PMID: 17547699
- TASK-3 channels are present in the mitochondria in both malignantly transformed and healthy cells, suggesting that they might have roles in ensuring mitochondrial functions. PMID: 18094996
- TASK3 channels may possibly represent a novel molecular target for the treatment of human glioblastoma PMID: 18217213
- K(2)P channels as novel potassium conductance on T lymphocytes critically influencing T cell effector function and identify a possible molecular target for immunomodulation in T cell-mediated autoimmune disorders PMID: 18375952
- the TASK3 M1P1 loop lies close to the pore, regulating TASK3 channel activity PMID: 18417474
- a mutation in the genomically imprinted potassium channel KCNK9 may have a role in the maternally inherited Birk Barel mental retardation dysmorphism syndrome PMID: 18678320
- Thus, regulated expression of TASK channels might contribute to a molecular switch between death and survival of neurons in autoimmune CNS inflammation. PMID: 18824070
- Both TASK-3 and TREK-1 are functionally operational in the adrenocortical H295R cell line, modulate membrane potential and aldosterone secretion. PMID: 18854423
顯示更多
收起更多
-
相關疾病:Birk-Barel mental retardation dysmorphism syndrome (BIBAS)
-
亞細胞定位:Cell membrane; Multi-pass membrane protein.
-
蛋白家族:Two pore domain potassium channel (TC 1.A.1.8) family
-
組織特異性:Mainly found in the cerebellum. Also found in adrenal gland, kidney and lung.
-
數據庫鏈接:
Most popular with customers
-
-
Phospho-YAP1 (S127) Recombinant Monoclonal Antibody
Applications: ELISA, WB, IHC
Species Reactivity: Human
-
-
-
-
-
-















