IPO9 Antibody
-
中文名稱:IPO9兔多克隆抗體
-
貨號:CSB-PA189944
-
規格:¥1100
-
圖片:
-
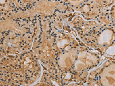
The image on the left is immunohistochemistry of paraffin-embedded Human thyroid cancer tissue using CSB-PA189944(IPO9 Antibody) at dilution 1/40, on the right is treated with synthetic peptide. (Original magnification: ×200)
-
The image on the left is immunohistochemistry of paraffin-embedded Human brain tissue using CSB-PA189944(IPO9 Antibody) at dilution 1/40, on the right is treated with synthetic peptide. (Original magnification: ×200)
-
Gel: 6%SDS-PAGE, Lysate: 40 μg, Lane 1-2: Human fetal brain tissue, Hela cells, Primary antibody: CSB-PA189944(IPO9 Antibody) at dilution 1/200, Secondary antibody: Goat anti rabbit IgG at 1/8000 dilution, Exposure time: 30 seconds
-
-
其他:
產品詳情
-
Uniprot No.:
-
基因名:IPO9
-
別名:Imp9 antibody; Imp9a antibody; Imp9b antibody; Importin-9 antibody; Importin-9a antibody; Ipo9 antibody; IPO9_HUMAN antibody; Ran-binding protein 9 antibody; RanBP9 antibody
-
宿主:Rabbit
-
反應種屬:Human,Mouse
-
免疫原:Synthetic peptide of Human IPO9
-
免疫原種屬:Homo sapiens (Human)
-
標記方式:Non-conjugated
-
抗體亞型:IgG
-
純化方式:Antigen affinity purification
-
濃度:It differs from different batches. Please contact us to confirm it.
-
保存緩沖液:-20°C, pH7.4 PBS, 0.05% NaN3, 40% Glycerol
-
產品提供形式:Liquid
-
應用范圍:ELISA,WB,IHC
-
推薦稀釋比:
Application Recommended Dilution ELISA 1:1000-1:2000 WB 1:200-1:1000 IHC 1:50-1:200 -
Protocols:
-
儲存條件:Upon receipt, store at -20°C or -80°C. Avoid repeated freeze.
-
貨期:Basically, we can dispatch the products out in 1-3 working days after receiving your orders. Delivery time maybe differs from different purchasing way or location, please kindly consult your local distributors for specific delivery time.
-
用途:For Research Use Only. Not for use in diagnostic or therapeutic procedures.
相關產品
靶點詳情
-
功能:Functions in nuclear protein import as nuclear transport receptor. Serves as receptor for nuclear localization signals (NLS) in cargo substrates. Is thought to mediate docking of the importin/substrate complex to the nuclear pore complex (NPC) through binding to nucleoporin and the complex is subsequently translocated through the pore by an energy requiring, Ran-dependent mechanism. At the nucleoplasmic side of the NPC, Ran binds to the importin, the importin/substrate complex dissociates and importin is re-exported from the nucleus to the cytoplasm where GTP hydrolysis releases Ran. The directionality of nuclear import is thought to be conferred by an asymmetric distribution of the GTP- and GDP-bound forms of Ran between the cytoplasm and nucleus. Mediates the nuclear import of RPS7, RPL18A, RPL6, histone H2A, histone H2B and histone. Prevents the cytoplasmic aggregation of RPS7 and RPL18A by shielding exposed basic domains. Mediates the nuclear import of actin.
-
基因功能參考文獻:
- CFL1 itself does not translocate actin into the cell nucleus but this transport requires the functional expression of IPO9. PMID: 26934847
- IPO9 associates with 2 stable stem-loop structures of the IFN-epsilon 5'UTR. IPO9 overexpression decreased, and IPO9 silencing increased basal IFN-epsilon expression. PMID: 23851686
- specific interaction between a member of the importin beta/karyopherin beta superfamily, importin 9, and the A subunit of PP2A (PR65) PMID: 12670497
-
亞細胞定位:Cytoplasm. Nucleus.
-
蛋白家族:Importin beta family
-
數據庫鏈接:
Most popular with customers
-
-
YWHAB Recombinant Monoclonal Antibody
Applications: ELISA, WB, IHC, IF, FC
Species Reactivity: Human, Mouse, Rat
-
Phospho-YAP1 (S127) Recombinant Monoclonal Antibody
Applications: ELISA, WB, IHC
Species Reactivity: Human
-
-
-
-
-















