IMPDH2 Antibody
-
中文名稱:IMPDH2兔多克隆抗體
-
貨號:CSB-PA011701LA01HU
-
規格:¥440
-
圖片:
-
Western blot
All lanes: IMPDH2 antibody at 12µg/ml
Lane 1: Mouse heart tissue
Lane 2: A549 whole cell lysate
Lane 3: Hela whole cell lysate
Secondary
Goat polyclonal to rabbit IgG at 1/10000 dilution
Predicted band size: 56 kDa
Observed band size: 56 kDa -
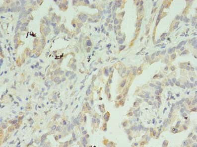
Immunohistochemistry of paraffin-embedded human lung cancer using CSB-PA011701LA01HU at dilution of 1:100
-
Immunofluorescent analysis of Hela cells using CSB-PA011701LA01HU at dilution of 1:100 and Alexa Fluor 488-congugated AffiniPure Goat Anti-Rabbit IgG(H+L)
-
-
其他:
產品詳情
-
產品名稱:Rabbit anti-Homo sapiens (Human) IMPDH2 Polyclonal antibody
-
Uniprot No.:
-
基因名:
-
別名:IMDH2_HUMAN antibody; IMP (inosine monophosphate) dehydrogenase 2 antibody; IMP dehydrogenase 2 antibody; IMP oxireductase 2 antibody; IMPD 2 antibody; IMPD2 antibody; IMPDH 2 antibody; IMPDH II antibody; IMPDH-II antibody; Impdh2 antibody; Inosine 5' monophosphate dehydrogenase 2 antibody; Inosine 5' phosphate dehydrogenase 2 antibody; Inosine monophosphate dehydrogenase type II antibody; Inosine-5''-monophosphate dehydrogenase 2 antibody
-
宿主:Rabbit
-
反應種屬:Human, Mouse
-
免疫原:Recombinant Human Inosine-5\'-monophosphate dehydrogenase 2 protein (5-514AA)
-
免疫原種屬:Homo sapiens (Human)
-
標記方式:Non-conjugated
本頁面中的產品,IMPDH2 Antibody (CSB-PA011701LA01HU),的標記方式是Non-conjugated。對于IMPDH2 Antibody,我們還提供其他標記。見下表:
-
克隆類型:Polyclonal
-
抗體亞型:IgG
-
純化方式:>95%, Protein G purified
-
濃度:It differs from different batches. Please contact us to confirm it.
-
保存緩沖液:Preservative: 0.03% Proclin 300
Constituents: 50% Glycerol, 0.01M PBS, PH 7.4 -
產品提供形式:Liquid
-
應用范圍:ELISA, WB, IHC, IF
-
推薦稀釋比:
Application Recommended Dilution WB 1:500-1:5000 IHC 1:20-1:200 IF 1:50-1:200 -
Protocols:
-
儲存條件:Upon receipt, store at -20°C or -80°C. Avoid repeated freeze.
-
貨期:Basically, we can dispatch the products out in 1-3 working days after receiving your orders. Delivery time maybe differs from different purchasing way or location, please kindly consult your local distributors for specific delivery time.
-
用途:For Research Use Only. Not for use in diagnostic or therapeutic procedures.
相關產品
靶點詳情
-
功能:Catalyzes the conversion of inosine 5'-phosphate (IMP) to xanthosine 5'-phosphate (XMP), the first committed and rate-limiting step in the de novo synthesis of guanine nucleotides, and therefore plays an important role in the regulation of cell growth. Could also have a single-stranded nucleic acid-binding activity and could play a role in RNA and/or DNA metabolism. It may also have a role in the development of malignancy and the growth progression of some tumors.
-
基因功能參考文獻:
- Our study demonstrates IMPDH2 may be served as an independent prognostic biomarker for NPC patients, in which high IMPDH expression suggests poor prognosis of NPC patients. PMID: 28389646
- inosine-5'-monophosphate dehydrogenase 2 (IMPDH2) is an intracellular target of the PPIA-Sanglifehrin A binary complex. PMID: 28076787
- Rod and ring formation might be an adaptive homeostatic mechanism, allowing IMPDH to sense changes in the one-carbon folate pathway. PMID: 27343244
- Taking together, these results indicate that natural product myricetin exhibits potent anti-leukemia activity by interfering with purine nucleotides biosynthetic pathway through the suppression of hIMPDH1/2 catalytic activity. PMID: 27378425
- The findings suggest that overexpressed IMPDH2 can be used as a biomarker for kidney and bladder cancer diagnosis and is a potential therapeutic target for the diseases PMID: 25465060
- IMPDH2 is directly involved in the development of chemoresistance and radioresistance in osteosarcoma cells. PMID: 25392102
- Compared with non-cancerous prostate tissues, IMPDH2 mRNA and protein expression levels were both significantly upregulated in prostate cancer tissues. PMID: 24659377
- the localization of IMPDH2 inside the nucleus of human cells as well as the ultrastructure of R&R inclusions PMID: 24980853
- Rods and rings (RR) are protein assemblies composed of CTPS1 and IMPDH2. Glutamine deprivation initiates reversible assembly of mammalian rods and rings. PMID: 24477477
- An insight to the dynamics of conserved water-mediated salt bridge interaction and interdomain recognition in hIMPDH isoforms. PMID: 22928911
- Role of salt bridge dynamics in inter domain recognition of human IMPDH isoforms: an insight to inhibitor topology for isoform-II. PMID: 22066532
- This ethnic-related data might contribute to a better understanding of the variability in clinical outcome and/or dose adjustments of drugs that are IMPDH inhibitors such as mycophenolic acid. PMID: 21181270
- the 3757C allele was associated with higher lymphocyte counts and a reduced incidence of lymphopenia among kidney allograft recipients PMID: 21996196
- Anti-IMPDH2 may cause difficulties in interpretation of immunofluorescence patterns in routine autoantibody testing. PMID: 22029192
- IMPDHII plays an important role in the negative regulation of TLR2 signaling by modulating PI3K activity. PMID: 21460227
- in the absence of ligand the mobilities of "flap" and "loop" regions of IMPDH-II (1B3O) structures are mostly controlled by the four (W 1, W 2, W 3, and W 4) conserved water molecular centers and their dynamics PMID: 20135634
- resequenced IMPDH1 and IMPDH2 using DNA from 288 individuals from three ethnic groups and performed functional genomic studies of the sequence variants observed; identfied 25 SNPs, 24 novel, in IMPDH2 PMID: 20718729
- IMPDH2 is directly involved in the development of chemoresistance in osteosarcoma cells PMID: 20808934
- IMPDH2 genetic polymorphism was investigated in 96 individuals of Caucasian origin. PMID: 19810816
- Pharmacogenetic analysis of IMPDH II may represent a novel approach to mycophenolate mofetil therapeutic monitoring. PMID: 15621150
- Nine genetic variants were identified in the IMPDH2 gene, with frequencies of the rarer alleles ranging from 0.5 to 10.2%. PMID: 17496727
- IMPDH2 is a marker gene useful for stratifying osteosarcoma patients into low- and high-risk groups and predicting therapy outcome. PMID: 17660802
- The effect of diabetes mellitus on mycophenolic acid pharmacokinetics and catalytic activity of inosine monophosphate dehydrogenase 2 was investigated in maintenance kidney transplant recipients. PMID: 18043470
- The synthesis and activity of several novel inhibitors of IMPDH2 are reported. PMID: 18583139
- Analysis of in vivo C-MYC interactions with TS, IMPDH2 and PRPS2 genes confirmed that they are direct C-MYC targets. PMID: 18677108
- The expression of IMPDH2 in tumor tissue was significantly higher in patients with colorectal cancer than that in healthy subjects. PMID: 19597826
- the IMPDH type II 3757T > C polymorphism is associated with an increased IMPDH activity in MMF-treated renal transplant patients PMID: 19617864
顯示更多
收起更多
-
亞細胞定位:Cytoplasm. Nucleus. Cytoplasm, cytosol.
-
蛋白家族:IMPDH/GMPR family
-
組織特異性:IMPDH1 is the main species in normal leukocytes and IMPDH2 predominates over IMPDH1 in the tumor.
-
數據庫鏈接:
Most popular with customers
-
-
YWHAB Recombinant Monoclonal Antibody
Applications: ELISA, WB, IHC, IF, FC
Species Reactivity: Human, Mouse, Rat
-
Phospho-YAP1 (S127) Recombinant Monoclonal Antibody
Applications: ELISA, WB, IHC
Species Reactivity: Human
-
-
-
-
-















