IGF1R (Ab-1346) Antibody
-
中文名稱:IGF1R (Ab-1346)兔多克隆抗體
-
貨號:CSB-PA277594
-
規格:¥2024
-
圖片:
-
Western blot analysis of extracts from 293 cells using IGF-1R(Ab-1346) Antibody and the same antibody preincubated with blocking peptide.
-
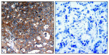
Immunohistochemical analysis of paraffin-embedded human breast carcinoma tissue using IGF-1R(Ab-1346) Antibody(left) or the same antibody preincubated with blocking peptide(right).
-
-
其他:
產品詳情
-
產品名稱:Rabbit anti-Homo sapiens (Human) IGF1R Polyclonal antibody
-
Uniprot No.:
-
基因名:
-
宿主:Rabbit
-
反應種屬:Human,Mouse,Rat
-
免疫原:Peptide sequence around aa.1344~1348 (Q-P-Y-A-H) derived from Human IGF-1R .
-
免疫原種屬:Homo sapiens (Human)
-
克隆類型:Polyclonal
-
純化方式:Antibodies were produced by immunizing rabbits with synthetic peptide and KLH conjugates. Antibodies were purified by affinity-chromatography using epitope-specific peptide.
-
濃度:It differs from different batches. Please contact us to confirm it.
-
產品提供形式:Liquid
-
應用范圍:ELISA,WB,IHC
-
推薦稀釋比:
Application Recommended Dilution WB 1:500-1:1000 IHC 1:50-1:200 -
Protocols:
-
儲存條件:Upon receipt, store at -20°C or -80°C. Avoid repeated freeze.
-
貨期:Basically, we can dispatch the products out in 1-3 working days after receiving your orders. Delivery time maybe differs from different purchasing way or location, please kindly consult your local distributors for specific delivery time.
-
用途:For Research Use Only. Not for use in diagnostic or therapeutic procedures.
相關產品
靶點詳情
-
功能:Receptor tyrosine kinase which mediates actions of insulin-like growth factor 1 (IGF1). Binds IGF1 with high affinity and IGF2 and insulin (INS) with a lower affinity. The activated IGF1R is involved in cell growth and survival control. IGF1R is crucial for tumor transformation and survival of malignant cell. Ligand binding activates the receptor kinase, leading to receptor autophosphorylation, and tyrosines phosphorylation of multiple substrates, that function as signaling adapter proteins including, the insulin-receptor substrates (IRS1/2), Shc and 14-3-3 proteins. Phosphorylation of IRSs proteins lead to the activation of two main signaling pathways: the PI3K-AKT/PKB pathway and the Ras-MAPK pathway. The result of activating the MAPK pathway is increased cellular proliferation, whereas activating the PI3K pathway inhibits apoptosis and stimulates protein synthesis. Phosphorylated IRS1 can activate the 85 kDa regulatory subunit of PI3K (PIK3R1), leading to activation of several downstream substrates, including protein AKT/PKB. AKT phosphorylation, in turn, enhances protein synthesis through mTOR activation and triggers the antiapoptotic effects of IGFIR through phosphorylation and inactivation of BAD. In parallel to PI3K-driven signaling, recruitment of Grb2/SOS by phosphorylated IRS1 or Shc leads to recruitment of Ras and activation of the ras-MAPK pathway. In addition to these two main signaling pathways IGF1R signals also through the Janus kinase/signal transducer and activator of transcription pathway (JAK/STAT). Phosphorylation of JAK proteins can lead to phosphorylation/activation of signal transducers and activators of transcription (STAT) proteins. In particular activation of STAT3, may be essential for the transforming activity of IGF1R. The JAK/STAT pathway activates gene transcription and may be responsible for the transforming activity. JNK kinases can also be activated by the IGF1R. IGF1 exerts inhibiting activities on JNK activation via phosphorylation and inhibition of MAP3K5/ASK1, which is able to directly associate with the IGF1R.; When present in a hybrid receptor with INSR, binds IGF1. PubMed:12138094 shows that hybrid receptors composed of IGF1R and INSR isoform Long are activated with a high affinity by IGF1, with low affinity by IGF2 and not significantly activated by insulin, and that hybrid receptors composed of IGF1R and INSR isoform Short are activated by IGF1, IGF2 and insulin. In contrast, PubMed:16831875 shows that hybrid receptors composed of IGF1R and INSR isoform Long and hybrid receptors composed of IGF1R and INSR isoform Short have similar binding characteristics, both bind IGF1 and have a low affinity for insulin.
-
基因功能參考文獻:
- MiR133a and miR133b may bind near rs1815009, and miR455 near rs2684788, within IGF1R 3'UTR. PMID: 30365147
- study confirms the utility of proximity-labeling methods, such as BioID, to screen for interactors of cell-surface receptors and has uncovered a role of one of these interactors, SNX6, in the IGF1R signaling cascade. PMID: 29530981
- Elevations of TGF-beta3, SMAD2 and SMAD4 in hypertrophic scars and increase of IGF-1R in immature stages may give some clues for acne hypertrophic scar formation. PMID: 30167815
- miR-30a-5p could influence chemo-resistance by targeting IGF1R gene in melanoma cells, which might provide a potential target for the therapy of chemo-resistant melanoma cells. PMID: 29642855
- IGF-1R signalling contributes to T cell dependent inflammation in arthritis. Inhibition of IGF-1R on the level of insulin receptor substrates alleviates arthritis by restricting IL6-dependent formation of Th17 cells and may open for new treatment strategies in rheumatoid arthritis. PMID: 28583713
- Novel G310D variant in the insulin-like growth factor 1 receptor gene is associated with type 2 diabetes. PMID: 29470850
- higher IGF-IR mRNA expression observed in obese children, associated with the higher IGF-I and ALS and the lower IGFBP-1 levels PMID: 29150385
- Study results revealed that microRNA-320a suppresses tumor cell growth and invasion of human breast cancer by targeting IGF-1R. PMID: 29989645
- miR539 may inhibit the aggressive behaviour of PDAC by directly targeting IGF1R and may serve as a novel therapeutic target for patients with this disease PMID: 29901181
- Data suggest that NEAT1, SRC3, and IGF1R are highly expressed in prostate cancer cells; NEAT1 appears to interact with SRC3 and promote cell proliferation via up-regulation of SRC3/IGF1R/AKT signaling pathway. (NEAT1 = nuclear paraspeckle assembly transcript-1; SRC3 = steroid receptor coactivator protein-3; IGF1R = insulin-like growth factor 1 receptor) PMID: 29225160
- Results showed that the expression of IGF1R appears to be highly correlated with the expression of ABCG2 in osteosarcoma and with the expression of CD44 in osteosarcoma patients under age of 10. PMID: 29892839
- Here the authors report a nodal role of IGF-IR in the regulation of ERalpha-positive breast cancer cell aggressiveness and the regulation of expression levels of several extracellular matrix molecules. PMID: 28079144
- Long noncoding RNA PVT1 enhances the expression of IGF1R through competitive binding to miR-30a. PMID: 29803929
- The association between the growth hormone-insulin-like growth factor-1 (GH-IGF-1) axis gene polymorphisms and short stature in Chinese children. PMID: 29687007
- High IGF1R expression is associated with non-small cell lung cancer. PMID: 29328495
- Our findings suggest that CKS1BP7 as well as IGF1R may serve as potential biomarkers for early detection and predict prognosis in breast cancer. PMID: 28439706
- High IGF-IR expression is associated with Ras and BRAF mutations in Hepatocellular Carcinoma. PMID: 28188432
- MicroRNA-381 inhibits cell proliferation and invasion in endometrial carcinoma by targeting the IGF-1R. PMID: 29257334
- IGF-1R and AKT inhibitors further increased apoptosis by Nutlin-3a in parental MHM cells and the cisplatin-resistant clones, confirming IGF-1R/AKT signaling promotes apoptosis resistance. PMID: 28696156
- autocrine IGF2 constitutively activated IGF1R and Akt phosphorylation, which was inhibited by BI 885578 treatment. BI 885578 significantly delayed the growth of IGF2-high colorectal cancer xenograft tumors in mice, while combination with a VEGF-A antibody increased efficacy and induced tumor regression. PMID: 28729397
- These findings demonstrated that hMSCCMmediated neuroprotection was attributed to IGF1Rmediated signaling, potentiated via the inhibition of IGF2 by IGFBP6. The results of the present study provide insight into the mechanism by which hMSC administration may promote recovery from nerve injury. PMID: 29039467
- loss of miR-99a in ESCC promoted the tumor cell proliferation, migration, invasion and slug-induced EMT through activating IGF1R signaling pathway. PMID: 28800315
- current data demonstrate that both INSR and IGF1R are directly targeted by C-myc and exert similar effects to promote the tumorigenesis and metastasis of TSCC through the NF-kappaB pathway. PMID: 29518496
- WP760 downregulated IGF1R. PMID: 28417283
- a cross-talk between IGF1R and Wnt/beta-catenin signaling pathways and showed, for the first time, that IGF1R is associated with upregulation of TCF-mediated beta-catenin transcriptional activity. PMID: 29621572
- MicroRNA-Dependent Regulation of IGF1R Gene Expression in Hormone-Sensitive and Hormone-Resistant Prostate Cancer Cells PMID: 29779108
- In contrast to preclinical studies that suggest a decrease in trastuzumab sensitivity in IGF1R(+) tumors, our adjuvant data show benefit of adding trastuzumab for patients with either IGF1R(+) and IGF1R(-) breast tumors. PMID: 28348046
- The findings demonstrate that miR-186 acts as a tumor suppressor by targeting IGF-1R in glioma. PMID: 28944896
- Forced expression of Klotho resulted in decline of activation of IGF-1R signaling, accompanied by decreased phosphorylation of its downstream targets, including AKT and ERK1/2. These data indicated that Klotho acts as a tumor suppressor via inhibiting IGF-1R signaling, thus suppressing the viability and promoting apoptosis in Tcell lymphoma. PMID: 28656297
- The study concluded that the expression modulation of tumor suppressors MIR-375 and MIR-145, and oncomiR MIR-224 have the ability to induce apoptosis of colorectal carcinoma cells through regulation of apoptosis mediating genes MTDH, MAP3K1, PDK1, BCL-XL and BAX. PMID: 28802228
- activation of the IGF-IR/PI3K/Akt signaling system is a common pattern in MLS which appears to be transcriptionally controlled, at least in part by induction of IGF2 gene transcription in a FUS-DDIT3-dependent manner. PMID: 28637688
- implantation of IGF1R(+) human dental pulp mesenchymal stem cells exerted enhanced neuroplasticity via integrating inputs from both CXCR4 and IGF1R signaling pathways. PMID: 27586516
- Study findings indicate that the T allele of IGF1R variant rs2016347 is associated with a significant reduction in breast cancer risk in women with a history of preeclampsia, most marked for HR+ breast cancer and in women with age at first birth less than 30. PMID: 28822014
- Study suggests that IGF-1R-AKT signalling imparts functional heterogeneity in cancer stem cells during acquirement of chemoresistance in ovarian carcinoma. PMID: 27819360
- IGF1R mRNA expression levels were reversely correlated with miR503 expression levels in breast tumors, suggesting that the upregulation of IGF1R may be due to downregulation of miR503 in breast cancer. PMID: 28656281
- miR-497 and miR-99a synergistically target IGF1R and mTOR, thereby impeding the HCC tumor growth. These results promote a concept in which not one single miRNA, but rather a network of miRNAs with shared and individual mRNA targets participates in the hepatocarcinogenesis. PMID: 28624790
- MiR379 acts as a tumor suppressor in NSCLC by directly targeting IGF1R. PMID: 28731178
- these results indicate that miR455 is involved in gastric cancer progression by directly targeting IGF1R and may serve as a novel therapeutic target for the treatment of gastric cancer. PMID: 28714005
- Tumor cells in CSF express IGF1R in High Risk, Metastatic Medulloblastoma. PMID: 27255663
- Insulin-like growth factor 1 receptor, associate of Myc 1, and peroxisome proliferator-activated receptor gamma coactivator 1beta are direct targets of miR-139 PMID: 26868851
- THADA fusion is a mechanism of IGF2BP3 activation and IGF1R signaling in thyroid cancer. PMID: 28193878
- In addition to conventional methods, IGF1R CNV can be identified from WES data. FACS analysis of live primary cells is a promising method for efficiently evaluating and screening for IGF1R haploinsufficiency. PMID: 28395282
- The T IGFR-1 genetic variant and a combination of the C VEGF-A and T IGFR-1 genetic variants increase the risk of developing Primary Open Angle Glaucoma. PMID: 28745651
- In endocrine-sensitive breast cancer cells, insulin was not growth stimulatory, likely due to the presence of hybrid InsR/IGF1R, which has high affinity for IGF-I, but not insulin. Combination inhibition of InsR and IGF1R showed complete suppression of the system in endocrine-sensitive breast cancer cells PMID: 28468775
- lower IGF-1R expression after teriparatide was associated with higher body fat, suggesting links between teriparatide resistance, body composition, and the GH/IGF-1 axis. PMID: 28218468
- Study showed that IGF-1 receptor (IGF-1R), which mediates survival pathways upon IGF binding, was highly expressed in oculomotor neurons and on extraocular muscle endplate. PMID: 27180807
- the present study confirmed the tumor suppressor function of miR-455 in melanoma, and demonstrated that miR-455 suppressed proliferation and invasion through directly targeting IGF-1R. PMID: 28440508
- IGF1R signaling under the given experimental conditions and NSCLC genetic background dictates the functional endpoint mechanism for TKI resistance. Manipulating this regulatory role of IGF1R can force the functional endpoint mechanism for TKI resistance in a defined and targetable direction here illustrated by the observed MET-amplification. PMID: 28418902
- Report complex relationships between individual tumor-specific expression of IGF1R/pIGF1R and InsR/pInsR, response endocrine treatment and breast cancer prognosis. PMID: 28030849
- These data imply the potential clinical application of EGF-LDP-IGF-AE for esophageal squamous cell carcinoma (ESCC)patients with EGFR and/or IGF-1R overexpression PMID: 28498434
顯示更多
收起更多
-
相關疾病:Insulin-like growth factor 1 resistance (IGF1RES)
-
亞細胞定位:Cell membrane; Single-pass type I membrane protein.
-
蛋白家族:Protein kinase superfamily, Tyr protein kinase family, Insulin receptor subfamily
-
組織特異性:Found as a hybrid receptor with INSR in muscle, heart, kidney, adipose tissue, skeletal muscle, hepatoma, fibroblasts, spleen and placenta (at protein level). Expressed in a variety of tissues. Overexpressed in tumors, including melanomas, cancers of the
-
數據庫鏈接:
Most popular with customers
-
YWHAB Recombinant Monoclonal Antibody
Applications: ELISA, WB, IHC, IF, FC
Species Reactivity: Human, Mouse, Rat
-
Phospho-YAP1 (S127) Recombinant Monoclonal Antibody
Applications: ELISA, WB, IHC
Species Reactivity: Human
-
-
-
-
-
-















