HDAC1 Antibody
-
中文名稱:HDAC1兔多克隆抗體
-
貨號:CSB-PA17869A0Rb
-
規格:¥440
-
圖片:
-
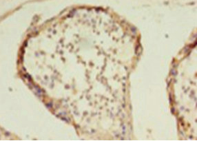
Immunohistochemistry of paraffin-embedded human testis tissue using CSB-PA17869A0Rb at dilution of 1: 100
-
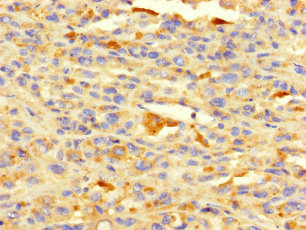
Immunohistochemistry of paraffin-embedded human colon cancer using CSB-PA17869A0Rb at dilution of 1: 100
-
Immunohistochemistry of paraffin-embedded human melanoma using CSB-PA17869A0Rb at dilution of 1:100
-
Immunohistochemistry of paraffin-embedded human thyroid tissue using CSB-PA17869A0Rb at dilution of 1:100
-
Immunofluorescence staining of Hela cells with CSB-PA17869A0Rb at 1:133, counter-stained with DAPI. The cells were fixed in 4% formaldehyde, permeabilized using 0.2% Triton X-100 and blocked in 10% normal Goat Serum. The cells were then incubated with the antibody overnight at 4°C. The secondary antibody was Alexa Fluor 488-congugated AffiniPure Goat Anti-Rabbit IgG(H+L).
-
Chromatin Immunoprecipitation MCF-7 (1.1*106) were cross-linked with formaldehyde, sonicated, and immunoprecipitated with 4μg anti-HDAC1 or a control normal rabbit IgG. The resulting ChIP DNA was quantified tissue using real-time PCR with primers (CSB-PP17869HU) against the P21 promoter.
-
-
其他:
產品詳情
-
產品名稱:Rabbit anti-Homo sapiens (Human) HDAC1 Polyclonal antibody
-
Uniprot No.:
-
基因名:
-
別名:DKFZp686H12203 antibody; GON 10 antibody; HD1 antibody; HDAC 1 antibody; HDAC1 antibody; HDAC1_HUMAN antibody; Histone deacetylase 1 antibody; Reduced potassium dependency yeast homolog like 1 antibody; RPD3 antibody; RPD3L1 antibody
-
宿主:Rabbit
-
反應種屬:Human
-
免疫原:Recombinant Human Histone deacetylase 1 protein (1-482AA)
-
免疫原種屬:Homo sapiens (Human)
-
標記方式:Non-conjugated
本頁面中的產品,HDAC1 Antibody (CSB-PA17869A0Rb),的標記方式是Non-conjugated。對于HDAC1 Antibody,我們還提供其他標記。見下表:
-
克隆類型:Polyclonal
-
抗體亞型:IgG
-
純化方式:>95%, Protein G purified
-
濃度:It differs from different batches. Please contact us to confirm it.
-
保存緩沖液:Preservative: 0.03% Proclin 300
Constituents: 50% Glycerol, 0.01M PBS, PH 7.4 -
產品提供形式:Liquid
-
應用范圍:ELISA, IHC, IF, ChIP
-
推薦稀釋比:
Application Recommended Dilution IHC 1:20-1:200 IF 1:100-1:500 -
Protocols:
-
儲存條件:Upon receipt, store at -20°C or -80°C. Avoid repeated freeze.
-
貨期:Basically, we can dispatch the products out in 1-3 working days after receiving your orders. Delivery time maybe differs from different purchasing way or location, please kindly consult your local distributors for specific delivery time.
-
用途:For Research Use Only. Not for use in diagnostic or therapeutic procedures.
相關產品
靶點詳情
-
功能:Responsible for the deacetylation of lysine residues on the N-terminal part of the core histones (H2A, H2B, H3 and H4). Histone deacetylation gives a tag for epigenetic repression and plays an important role in transcriptional regulation, cell cycle progression and developmental events. Histone deacetylases act via the formation of large multiprotein complexes. Deacetylates SP proteins, SP1 and SP3, and regulates their function. Component of the BRG1-RB1-HDAC1 complex, which negatively regulates the CREST-mediated transcription in resting neurons. Upon calcium stimulation, HDAC1 is released from the complex and CREBBP is recruited, which facilitates transcriptional activation. Deacetylates TSHZ3 and regulates its transcriptional repressor activity. Deacetylates 'Lys-310' in RELA and thereby inhibits the transcriptional activity of NF-kappa-B. Deacetylates NR1D2 and abrogates the effect of KAT5-mediated relieving of NR1D2 transcription repression activity. Component of a RCOR/GFI/KDM1A/HDAC complex that suppresses, via histone deacetylase (HDAC) recruitment, a number of genes implicated in multilineage blood cell development. Involved in CIART-mediated transcriptional repression of the circadian transcriptional activator: CLOCK-ARNTL/BMAL1 heterodimer. Required for the transcriptional repression of circadian target genes, such as PER1, mediated by the large PER complex or CRY1 through histone deacetylation.
-
基因功能參考文獻:
- HDAC1,2 inhibitor either alone or when combined with doxorubicin decreases leukemia burden. PMID: 28579617
- miR-34a exhibited suppressive effects on ovarian cancer (OC) cells via directly binding and downregulating HDAC1 expression, which subsequently decreased the resistance to cisplatin and suppressed proliferation in OC cells. PMID: 29561664
- Study identified HDAC1, a key regulator of eukaryotic gene expression and many important cellular events, including cell proliferation, differentiation, cancer and immunity, as an interacting partner of ABIN1. PMID: 29058807
- r meta-analysis demonstrated an association between increased HDAC1 expression and better OS in Asian breast cancer patients PMID: 29738697
- Daxx directly binds to the DNA-binding domain of Slug, impeding histone deacetylase 1 (HDAC1) recruitment and antagonizing Slug E-box binding. This, in turn, stimulates E-cadherin and occludin expression and suppresses Slug-mediated epithelial-mesenchymal transition (EMT) and cell invasiveness. PMID: 28004751
- the knockdown of HDAC1/2 upregulated KLF5 protein but not KLF5 mRNA, and the increase in KLF5 protein level by silencing HDAC1/2 was at least in part due to decreased proteasomal degradation. PMID: 29679567
- HDAC1 knockdown by siRNA suppressed cell proliferation, and increased apoptosis and chemosensitivity by downregulating c-Myc and upregulating miR-34a. PMID: 30071534
- The HDAC1 expression was associated with the SNAIL expression in clinical samples. PMID: 29917299
- data show that Hdac1 and Hdac2 impact on Emu-myc B cell proliferation and apoptosis and suggest that a critical level of Hdac activity may be required for Emu-myc tumorigenesis and proper B cell development PMID: 27886239
- Data show there is allosteric communication between the inositol-binding site and the active sites in histone deacetylases HDAC1 and HDAC3. PMID: 27109927
- High HDAC1 expression is associated with gastrointestinal malignancy. PMID: 28424407
- Results show that proteasomal degradation of HDAC1 and HDAC3 by Vpr counteracts HIV-1 latency to reactivate the viral promoter. PMID: 27550312
- concomitant LSD1 and HDAC inhibition synergistically induces cell death in rhabdomyosarcoma cells by shifting the ratio of pro- and antiapoptotic BCL-2 proteins in favor of apoptosis, thereby engaging the intrinsic apoptotic pathway PMID: 28617441
- Hdac1 levels are increased in blood samples from patients with schizophrenia who had encountered early life stress (ELS), compared with patients without ELS experience. PMID: 28533418
- HDAC1 and HDAC2 suppress the expression of PPP2R3A/PR130, a regulatory subunit of the trimeric serine/threonine phosphatase 2 (PP2A). PMID: 29472538
- HDAC1 may therefore be considered an unfavorable progression indicator for glioma patients, and may also serve as a potential therapeutic target. PMID: 28624794
- new basis of DDX23-Linc00630-HDAC1 signal axis for understanding its pathogenicity, which could be further developed as a valuable therapeutic strategy PMID: 28473661
- Results show that histone deacetylase 1 (HDAC1) expression was positively correlated with YY1 transcription factor (YY1) in hepatocellular carcinoma (HCC) cell lines and primary tumor tissues. PMID: 28489564
- the combination of p63-positive and HDAC1-negative expressions can be a potential new way for distinguishing epidermal stem cells. PMID: 28672879
- Nuclear HDAC2 immunopositivity was significantly higher in actinic cheilitis (AC) when compared with lip squamous cell carcinoma (LSCC). HDAC1 and HAT1 nuclear immunostaining were higher in AC, with no statistical significance. When comparing data with our previous study, we found a positive correlation between HDAC1 X DNMT1/DNMT3b, HDAC2 X DNMT3b, and HAT1 X DNMT1/DNMT3b for certain studied groups. PMID: 28107582
- data reveal the mechanism by which chromatin remodeling and target gene expression are regulated by Ikaros alone and in complex with HDAC1 in B-ALL PMID: 26639180
- Histone deacetylases 1 and 2 cooperate in regulating BRCA1, CHK1, and RAD51 expression in acute myeloid leukemia cells. PMID: 28030834
- our findings identify a key role for c-Myc in TRAIL deregulation and as a biomarker of the anticancer action of HDACi in acute myeloid leukemia . PMID: 27358484
- The authors found that 2-aminoacetophenone regulates histone deacetylase 1 expression and activity, resulting in hypo-acetylation of lysine 18 of histone H3 at pro-inflammatory cytokine loci. Specifically, 2-aminoacetophenone induced reprogramming of immune cells occurs via alterations in histone acetylation of immune cytokines in vivo and in vitro. PMID: 27694949
- Histone deacetylases (HDACs) inhibitor MGCD0103 (MGCD) induces apoptosis by up-regulating p53 in CNE2 nasopharyngeal carcinoma (NPC) cells. PMID: 27283770
- Our findings suggest that up-regulation of UVRAG by HDAC1 inhibition potentiates DNA-damage-mediated cell death in colorectal cancer cells PMID: 29277783
- The findings suggest that OGT promotes the O-GlcNAc modification of HDAC1 in the development of progression hepatocellular carcinoma. PMID: 27060025
- HDAC1 promoted migration and invasion of gallbladder tumor cells by binding with TCF12 to promote epithelial mesenchymal transformation. PMID: 27092878
- HDAC1 depletion-induced p53 expression alters cardiac-derived mesenchymal stromal cell fate decisions. PMID: 27501845
- These results are the first evidence that the inhibition of HDAC1 by (S)-2 downregulates CIP2A transcription PMID: 27029072
- data showed that HDAC1 can trigger the proliferation and migration of breast cancer cells via activation of Snail/IL-8 signals PMID: 28779562
- Mechanical stimulation orchestrates the osteogenic differentiation of human bone marrow stromal cells by regulating HDAC1 PMID: 27171263
- High HDAC1 expression is associated with Multidrug Resistance in breast and cervical cancer. PMID: 28716899
- these results suggest that HDAC1 and HDAC6 may play a role in clear cell renal cell carcinoma biology PMID: 27506904
- Histone deacetylase 1 regulates the expression of progesterone receptor A during human parturition by occupying the progesterone receptor A promoter. PMID: 26758364
- High HDAC1 expression may contribute to the aggressiveness of human breast cancer with cytoplasmic-only expression of maspin PMID: 28870936
- Results indicate that HCV core induced epithelial-mesenchymal transition (EMT) by interacting with the transcriptional repressor complex Snail/HDAC1/2 at the E-cadherin promoter, which led to E-cadherin repression and increased invasiveness of hepatoma cells. PMID: 26549030
- Coexpression of SALL4 with HDAC1 and/or HDAC2 was associated with PTEN underexpression and a poor prognosis in hepatocellular carcinoma. PMID: 28411180
- Acetylation-dependent control of global poly(A) RNA degradation by CBP/p300 and HDAC1-HDAC2 has been described. PMID: 27635759
- Meta-analysis results suggest that HDAC1 mRNA or protein expression may serve as a good diagnostic and prognostic marker for lung cancer. PMID: 28767587
- Histone deacetylase assays confirmed that MIER2, but not MIER3 complexes, have associated deacetylase activity. PMID: 28046085
- High HDAC1 expression is associated with drug Resistance in Malignant Melanoma. PMID: 26980768
- HDAC1 overexpression is associated with Breast Cancer. PMID: 27197203
- Data suggest that epigenetic changes in histone acetylation and DNA methylation may contribute to the repression of RGS2 (regulator of G-protein signaling 2) expression in chemo-resistant ovarian cancer cells; regulation of HDAC1 (histone deacetylase 1) and DNMT1 (DNA methyltransferase 1) contribute to the suppression of RGS2. PMID: 28102109
- class I HDACs (HDAC1, 2, 3 and 8) play a major role in regulating extracellular matrix and Epithelial-mesenchymal transition, whereas class IIa HDACs (HDAC4 and 5) are less effective. PMID: 27420561
- We found that TCF7L1 recruits the C-terminal binding protein (CtBP) and histone deacetylase 1 (HDAC1) to the DKK4 promoter to repress DKK4 gene expression. In the absence of TCF7L1, TCF7L2 and beta-catenin occupancy at the DKK4 promoter is stimulated and DKK4 expression is increased. These findings uncover a critical role for TCF7L1 in repressing DKK4 gene expression to promote the oncogenic potential of CRCs. PMID: 28450117
- Using mass spectrometry and site directed mutagenesis, a new Sp1 phosphorylation site Ser702 was defined to be associated with Sp1-HDAC1 interaction and may be important in SR-BI activation, shedding light on the knowledge of delicate mechanism of hepatic HDL receptor SR-BI gene modulation by LDL. PMID: 27320013
- findings indicate that WRN interacts with HDACs 1 and 2 to facilitate activity of stalled replication forks under conditions of replication stress. PMID: 27672210
- HDAC1- and SRC-mediated phosphorylation of RUNX3 induced by oxidative stress is associated with the cytoplasmic localization of RUNX3 and can lead to RUNX3 inactivation and carcinogenesis. PMID: 27990641
- Cutaneous T-cell lymphoma (CTCL) pathogenesis remains unknown, and there are no curative therapies. Our findings not only demonstrate a critical role for IL15-mediated inflammation in cutaneous T-cell lymphomagenesis, but also uncover a new oncogenic regulatory loop in CTCL involving IL15, HDAC1, HDAC6, and miR-21 that shows differential sensitivity to isotype-specific HDAC inhibitors PMID: 27422033
顯示更多
收起更多
-
亞細胞定位:Nucleus.
-
蛋白家族:Histone deacetylase family, HD type 1 subfamily
-
組織特異性:Ubiquitous, with higher levels in heart, pancreas and testis, and lower levels in kidney and brain.
-
數據庫鏈接:
Most popular with customers
-
-
YWHAB Recombinant Monoclonal Antibody
Applications: ELISA, WB, IHC, IF, FC
Species Reactivity: Human, Mouse, Rat
-
Phospho-YAP1 (S127) Recombinant Monoclonal Antibody
Applications: ELISA, WB, IHC
Species Reactivity: Human
-
-
-
-
-















