-
中文名稱:GALE兔多克隆抗體
-
貨號:CSB-PA613499HA01HU
-
規格:¥440
-
圖片:
-
Western blot
All lanes: GALE antibody at 2µg/ml
Lane 1: HepG2 whole cell lysate
Lane 2: Hela whole cell lysate
Lane 3: A549 whole cell lysate
Secondary
Goat polyclonal to rabbit IgG at 1/10000 dilution
Predicted band size: 39, 31 kDa
Observed band size: 39 kDa -
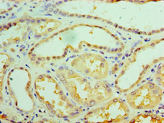
Immunohistochemistry of paraffin-embedded human kidney tissue using CSB-PA613499HA01HU at dilution of 1:100
-
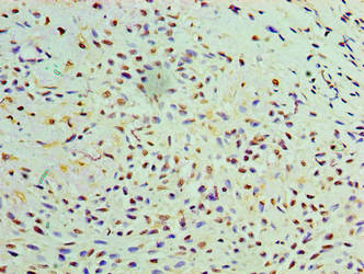
Immunohistochemistry of paraffin-embedded human breast cancer using CSB-PA613499HA01HU at dilution of 1:100
-
Immunofluorescent analysis of Hela cells using CSB-PA613499HA01HU at dilution of 1:100 and Alexa Fluor 488-congugated AffiniPure Goat Anti-Rabbit IgG(H+L)
-
-
其他:
產品詳情
-
產品名稱:Rabbit anti-Homo sapiens (Human) GALE Polyclonal antibody
-
Uniprot No.:
-
基因名:GALE
-
別名:FLJ95174 antibody; FLJ97302 antibody; Galactose 4 epimerase UDP antibody; Galactowaldenase antibody; galE antibody; GALE_HUMAN antibody; OTTHUMP00000002991 antibody; OTTHUMP00000002994 antibody; OTTHUMP00000037931 antibody; OTTHUMP00000044857 antibody; SDR1E1 antibody; short chain dehydrogenase/reductase family 1E member 1 antibody; UDP galactose 4 epimerase antibody; UDP galactose 4' epimerase antibody; UDP glucose 4 epimerase antibody; UDP-galactose 4-epimerase antibody; UDP-glucose 4-epimerase antibody
-
宿主:Rabbit
-
反應種屬:Human
-
免疫原:Recombinant Human UDP-glucose 4-epimerase protein (1-348AA)
-
免疫原種屬:Homo sapiens (Human)
-
標記方式:Non-conjugated
本頁面中的產品,GALE Antibody (CSB-PA613499HA01HU),的標記方式是Non-conjugated。對于GALE Antibody,我們還提供其他標記。見下表:
-
克隆類型:Polyclonal
-
抗體亞型:IgG
-
純化方式:>95%, Protein G purified
-
濃度:It differs from different batches. Please contact us to confirm it.
-
保存緩沖液:Preservative: 0.03% Proclin 300
Constituents: 50% Glycerol, 0.01M PBS, PH 7.4 -
產品提供形式:Liquid
-
應用范圍:ELISA, WB, IHC, IF
-
推薦稀釋比:
Application Recommended Dilution WB 1:500-1:5000 IHC 1:20-1:200 IF 1:50-1:200 -
Protocols:
-
儲存條件:Upon receipt, store at -20°C or -80°C. Avoid repeated freeze.
-
貨期:Basically, we can dispatch the products out in 1-3 working days after receiving your orders. Delivery time maybe differs from different purchasing way or location, please kindly consult your local distributors for specific delivery time.
-
用途:For Research Use Only. Not for use in diagnostic or therapeutic procedures.
引用文獻
- Overexpression of UDP-Glucose 4-Epimerase Is Associated with Differentiation Grade of Gastric Cancer de Souza M F D, et al,Disease Markers,2019
相關產品
靶點詳情
-
功能:Catalyzes two distinct but analogous reactions: the reversible epimerization of UDP-glucose to UDP-galactose and the reversible epimerization of UDP-N-acetylglucosamine to UDP-N-acetylgalactosamine. The reaction with UDP-Gal plays a critical role in the Leloir pathway of galactose catabolism in which galactose is converted to the glycolytic intermediate glucose 6-phosphate. It contributes to the catabolism of dietary galactose and enables the endogenous biosynthesis of both UDP-Gal and UDP-GalNAc when exogenous sources are limited. Both UDP-sugar interconversions are important in the synthesis of glycoproteins and glycolipids.
-
基因功能參考文獻:
- Mutation in UDP-galactose-4'-epimerase gene is associated with UDP-galactose-4'-epimerase deficiency. PMID: 26565537
- Data show the protein structure of GALE and its substrate binding and specificity. It is mutated in type III galactosemia. [review] PMID: 26162744
- human UDP-galactose 4'-epimerase stability is increased by variants associated with type III galactosemia but decreased by substrate and cofactor binding PMID: 25150110
- These data indicated a critical role of GALE in maintaining cartilage homeostasis, and suggested that GALE inhibition might contribute to OA progress. PMID: 25201731
- GALE variants can be arranged into three groups depending on the severity of enzyme impairment. PMID: 23644136
- P.K161N-hGALE causes its effects by abolishing an important interaction between the protein and the cofactor. PMID: 22613355
- study of hGALE crystal structure and demonstration that residue 307 acts as a gatekeeper mediating substrate access to the hGALE active site PMID: 15175331
- Resulst describe the relationship among UDP-galactose 4'-epimerase activity, substrate specificity, metabolic balance, and galactose sensitivity in mammalian cells. PMID: 15701638
- Data suggest that reduced catalytic efficiency and increased proteolytic susceptibility of UDP-galactose 4-epimerase are causative factors in type III galactosemia. PMID: 16302980
- Subtle biochemical and metabolic abnormalities detected in patients expressing these GALE alleles likely reflect, at least in part, the reduced enzymatic activity of the encoded GALE proteins. PMID: 18188677
- Our observations show that altered protein stability is due to misfolding and that loss or reduction of enzyme activity is responsible for the molecular defects underlying GALE-deficiency galactosemia. PMID: 19250319
- Disease-causing mutations result in a variety of changes to the steady-state parameters. Mostly these are changes in turnover number, kcat. The ability to dimerize is not affected, but some mutants have increased sensitivity to protease digestion. PMID: 16302980
顯示更多
收起更多
-
相關疾病:Epimerase-deficiency galactosemia (EDG)
-
蛋白家族:NAD(P)-dependent epimerase/dehydratase family
-
數據庫鏈接:
Most popular with customers
-
-
YWHAB Recombinant Monoclonal Antibody
Applications: ELISA, WB, IHC, IF, FC
Species Reactivity: Human, Mouse, Rat
-
Phospho-YAP1 (S127) Recombinant Monoclonal Antibody
Applications: ELISA, WB, IHC
Species Reactivity: Human
-
-
-
-
-















