FNTB Antibody
-
中文名稱:FNTB兔多克隆抗體
-
貨號:CSB-PA008780LA01HU
-
規格:¥440
-
圖片:
-
Western blot
All lanes: FNTB antibody at 6µg/ml
Lane 1: Hela whole cell lysate
Lane 2: CEM whole cell lysate
Lane 3: HepG2 whole cell lysate
Lane 4: SH-SY5Y whole cell lysate
Lane 5: A549 whole cell lysate
Secondary
Goat polyclonal to rabbit IgG at 1/10000 dilution
Predicted band size: 49, 44 kDa
Observed band size: 49 kDa -
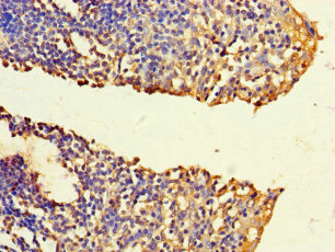
Immunohistochemistry of paraffin-embedded human tonsil tissue using CSB-PA008780LA01HU at dilution of 1:100
-
Immunofluorescent analysis of HepG2 cells using CSB-PA008780LA01HU at dilution of 1:100 and Alexa Fluor 488-congugated AffiniPure Goat Anti-Rabbit IgG(H+L)
-
Immunoprecipitating FNTB in HepG2 whole cell lysate
Lane 1: Rabbit control IgG (1µg) instead of CSB-PA008780LA01HU in HepG2 whole cell lysate. For western blotting, a HRP-conjugated Protein G antibody was used as the secondary antibody (1/2000)
Lane 2: CSB-PA008780LA01HU (8µg) + HepG2 whole cell lysate (500µg)
Lane 3: HepG2 whole cell lysate (10µg)
-
-
其他:
產品詳情
-
產品名稱:Rabbit anti-Homo sapiens (Human) FNTB Polyclonal antibody
-
Uniprot No.:
-
基因名:FNTB
-
別名:CAAX farnesyltransferase subunit beta antibody; EC 2.5.1.58 antibody; EC=2.5.1.58 antibody; Farnesyltransferase antibody; farnesyltransferase CAAX box beta1 antibody; farnesyltransferase; CAAX box; beta antibody; FNTB antibody; FNTB_HUMAN antibody; FPTB antibody; FTase beta antibody; FTase-beta antibody; MGC105303 antibody; Protein farnesyltransferase subunit beta antibody; RAS proteins prenyltransferase beta antibody; Ras proteins prenyltransferase subunit beta antibody
-
宿主:Rabbit
-
反應種屬:Human
-
免疫原:Recombinant Human Protein farnesyltransferase subunit beta protein (1-300AA)
-
免疫原種屬:Homo sapiens (Human)
-
標記方式:Non-conjugated
本頁面中的產品,FNTB Antibody (CSB-PA008780LA01HU),的標記方式是Non-conjugated。對于FNTB Antibody,我們還提供其他標記。見下表:
-
克隆類型:Polyclonal
-
抗體亞型:IgG
-
純化方式:>95%, Protein G purified
-
濃度:It differs from different batches. Please contact us to confirm it.
-
保存緩沖液:Preservative: 0.03% Proclin 300
Constituents: 50% Glycerol, 0.01M PBS, PH 7.4 -
產品提供形式:Liquid
-
應用范圍:ELISA, WB, IHC, IF, IP
-
推薦稀釋比:
Application Recommended Dilution WB 1:500-1:5000 IHC 1:20-1:200 IF 1:50-1:200 IP 1:200-1:2000 -
Protocols:
-
儲存條件:Upon receipt, store at -20°C or -80°C. Avoid repeated freeze.
-
貨期:Basically, we can dispatch the products out in 1-3 working days after receiving your orders. Delivery time maybe differs from different purchasing way or location, please kindly consult your local distributors for specific delivery time.
-
用途:For Research Use Only. Not for use in diagnostic or therapeutic procedures.
相關產品
靶點詳情
-
功能:Essential subunit of the farnesyltransferase complex. Catalyzes the transfer of a farnesyl moiety from farnesyl diphosphate to a cysteine at the fourth position from the C-terminus of several proteins having the C-terminal sequence Cys-aliphatic-aliphatic-X.
-
蛋白家族:Protein prenyltransferase subunit beta family
-
數據庫鏈接:
Most popular with customers
-
-
YWHAB Recombinant Monoclonal Antibody
Applications: ELISA, WB, IHC, IF, FC
Species Reactivity: Human, Mouse, Rat
-
Phospho-YAP1 (S127) Recombinant Monoclonal Antibody
Applications: ELISA, WB, IHC
Species Reactivity: Human
-
-
-
-
-















