DUSP19 Antibody
-
中文名稱:DUSP19兔多克隆抗體
-
貨號:CSB-PA242652
-
規格:¥1100
-
圖片:
-
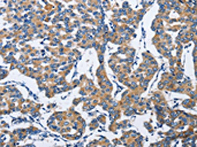
The image on the left is immunohistochemistry of paraffin-embedded Human thyroid cancer tissue using CSB-PA242652(DUSP19 Antibody) at dilution 1/30, on the right is treated with fusion protein. (Original magnification: ×200)
-
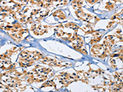
The image on the left is immunohistochemistry of paraffin-embedded Human breast cancer tissue using CSB-PA242652(DUSP19 Antibody) at dilution 1/30, on the right is treated with fusion protein. (Original magnification: ×200)
-
Gel: 15%SDS-PAGE, Lysate: 40 μg, Lane: Mouse liver tissue, Primary antibody: CSB-PA242652(DUSP19 Antibody) at dilution 1/600, Secondary antibody: Goat anti rabbit IgG at 1/8000 dilution, Exposure time: 30 seconds
-
-
其他:
產品詳情
-
Uniprot No.:
-
基因名:DUSP19
-
別名:Dual specificity phosphatase 19 antibody; Dual specificity phosphatase TS DSP1 antibody; Dual specificity phosphatase TS-DSP1 antibody; Dual specificity protein phosphatase 19 antibody; DUS19_HUMAN antibody; DUSP 17 antibody; DUSP 19 antibody; DUSP17 antibody; Dusp19 antibody; LMW DSP3 antibody; LMW-DSP3 antibody; LMWDSP 3 antibody; LMWDSP3 antibody; Low molecular weight dual specificity phosphatase 3 antibody; MGC138210 antibody; Protein phosphatase SKRP1 antibody; SAPK pathway regulating phosphatase 1 antibody; SAPK pathway-regulating phosphatase 1 antibody; SKRP 1 antibody; SKRP1 antibody; Stress activated protein kinase pathway regulating phosphatase 1 antibody; Stress-activated protein kinase pathway-regulating phosphatase 1 antibody; TS DSP1 antibody
-
宿主:Rabbit
-
反應種屬:Human,Mouse
-
免疫原:Fusion protein of Human DUSP19
-
免疫原種屬:Homo sapiens (Human)
-
標記方式:Non-conjugated
-
抗體亞型:IgG
-
純化方式:Antigen affinity purification
-
濃度:It differs from different batches. Please contact us to confirm it.
-
保存緩沖液:-20°C, pH7.4 PBS, 0.05% NaN3, 40% Glycerol
-
產品提供形式:Liquid
-
應用范圍:ELISA,WB,IHC
-
推薦稀釋比:
Application Recommended Dilution ELISA 1:2000-1:5000 WB 1:500-1:2000 IHC 1:50-1:200 -
Protocols:
-
儲存條件:Upon receipt, store at -20°C or -80°C. Avoid repeated freeze.
-
貨期:Basically, we can dispatch the products out in 1-3 working days after receiving your orders. Delivery time maybe differs from different purchasing way or location, please kindly consult your local distributors for specific delivery time.
-
用途:For Research Use Only. Not for use in diagnostic or therapeutic procedures.
相關產品
靶點詳情
-
功能:Has a dual specificity toward Ser/Thr and Tyr-containing proteins.
-
基因功能參考文獻:
- the activity of JNK stimulated by leptin was suppressed by DUSP19 overexpression. PMID: 26751999
- crystal structure of SKRP1 (C150S) has been determined and refined at 1.26 A resolution (Table I). The structure reveals 142 residues (residues 65-206) of SKRP1 and three ions (two sulfates and one phosphate) at the catalytic site PMID: 21989941
- LMW-DSP3 was expressed in the heart, lung, liver, and pancreas, and the expression level in the pancreas was highest. The LMW-DSP3 gene was located in human chromosome 2q32, and consisted of five exons spanning 21kb of human genomic DNA[LMW-DSP3] PMID: 12479873
-
蛋白家族:Protein-tyrosine phosphatase family, Non-receptor class dual specificity subfamily
-
組織特異性:Expressed in the heart, lung, liver, and pancreas. The expression level in the pancreas is the highest.
-
數據庫鏈接:
Most popular with customers
-
-
YWHAB Recombinant Monoclonal Antibody
Applications: ELISA, WB, IHC, IF, FC
Species Reactivity: Human, Mouse, Rat
-
Phospho-YAP1 (S127) Recombinant Monoclonal Antibody
Applications: ELISA, WB, IHC
Species Reactivity: Human
-
-
-
-
-















