DUSP19 Antibody
-
中文名稱:DUSP19兔多克隆抗體
-
貨號:CSB-PA855469LA01HU
-
規格:¥440
-
圖片:
-
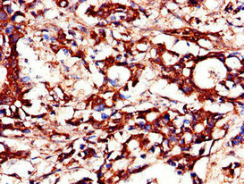
Immunohistochemistry of paraffin-embedded human gastric cancer using CSB-PA855469LA01HU at dilution of 1:100
-
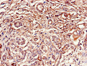
Immunohistochemistry of paraffin-embedded human pancreatic cancer using CSB-PA855469LA01HU at dilution of 1:100
-
Immunofluorescent analysis of Hela cells using CSB-PA855469LA01HU at dilution of 1:100 and Alexa Fluor 488-congugated AffiniPure Goat Anti-Rabbit IgG(H+L)
-
-
其他:
產品詳情
-
產品名稱:Rabbit anti-Homo sapiens (Human) DUSP19 Polyclonal antibody
-
Uniprot No.:
-
基因名:DUSP19
-
別名:Dual specificity phosphatase 19 antibody; Dual specificity phosphatase TS DSP1 antibody; Dual specificity phosphatase TS-DSP1 antibody; Dual specificity protein phosphatase 19 antibody; DUS19_HUMAN antibody; DUSP 17 antibody; DUSP 19 antibody; DUSP17 antibody; Dusp19 antibody; LMW DSP3 antibody; LMW-DSP3 antibody; LMWDSP 3 antibody; LMWDSP3 antibody; Low molecular weight dual specificity phosphatase 3 antibody; MGC138210 antibody; Protein phosphatase SKRP1 antibody; SAPK pathway regulating phosphatase 1 antibody; SAPK pathway-regulating phosphatase 1 antibody; SKRP 1 antibody; SKRP1 antibody; Stress activated protein kinase pathway regulating phosphatase 1 antibody; Stress-activated protein kinase pathway-regulating phosphatase 1 antibody; TS DSP1 antibody
-
宿主:Rabbit
-
反應種屬:Human
-
免疫原:Recombinant Human Dual specificity protein phosphatase 19 protein (1-217AA)
-
免疫原種屬:Homo sapiens (Human)
-
標記方式:Non-conjugated
本頁面中的產品,DUSP19 Antibody (CSB-PA855469LA01HU),的標記方式是Non-conjugated。對于DUSP19 Antibody,我們還提供其他標記。見下表:
-
克隆類型:Polyclonal
-
抗體亞型:IgG
-
純化方式:>95%, Protein G purified
-
濃度:It differs from different batches. Please contact us to confirm it.
-
保存緩沖液:Preservative: 0.03% Proclin 300
Constituents: 50% Glycerol, 0.01M PBS, PH 7.4 -
產品提供形式:Liquid
-
應用范圍:ELISA, IHC, IF
-
推薦稀釋比:
Application Recommended Dilution IHC 1:20-1:200 IF 1:50-1:200 -
Protocols:
-
儲存條件:Upon receipt, store at -20°C or -80°C. Avoid repeated freeze.
-
貨期:Basically, we can dispatch the products out in 1-3 working days after receiving your orders. Delivery time maybe differs from different purchasing way or location, please kindly consult your local distributors for specific delivery time.
-
用途:For Research Use Only. Not for use in diagnostic or therapeutic procedures.
相關產品
靶點詳情
-
功能:Has a dual specificity toward Ser/Thr and Tyr-containing proteins.
-
基因功能參考文獻:
- the activity of JNK stimulated by leptin was suppressed by DUSP19 overexpression. PMID: 26751999
- crystal structure of SKRP1 (C150S) has been determined and refined at 1.26 A resolution (Table I). The structure reveals 142 residues (residues 65-206) of SKRP1 and three ions (two sulfates and one phosphate) at the catalytic site PMID: 21989941
- LMW-DSP3 was expressed in the heart, lung, liver, and pancreas, and the expression level in the pancreas was highest. The LMW-DSP3 gene was located in human chromosome 2q32, and consisted of five exons spanning 21kb of human genomic DNA[LMW-DSP3] PMID: 12479873
-
蛋白家族:Protein-tyrosine phosphatase family, Non-receptor class dual specificity subfamily
-
組織特異性:Expressed in the heart, lung, liver, and pancreas. The expression level in the pancreas is the highest.
-
數據庫鏈接:
Most popular with customers
-
-
YWHAB Recombinant Monoclonal Antibody
Applications: ELISA, WB, IHC, IF, FC
Species Reactivity: Human, Mouse, Rat
-
Phospho-YAP1 (S127) Recombinant Monoclonal Antibody
Applications: ELISA, WB, IHC
Species Reactivity: Human
-
-
-
-
-















