DNAJA2 Antibody
-
中文名稱:DNAJA2兔多克隆抗體
-
貨號:CSB-PA007000DSR2HU
-
規格:¥440
-
圖片:
-
Western blot
All lanes: DNAJA2 antibody at 3.12μg/ml
Lane 1: A375 whole cell lysate
Lane 2: PC-3 whole cell lysate
Lane 3: HepG2 whole cell lysate
Lane 4: Hela whole cell lysate
Secondary
Goat polyclonal to rabbit IgG at 1/10000 dilution
Predicted band size: 46 kDa
Observed band size: 46 kDa -
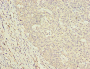
Immunohistochemistry of paraffin-embedded human tonsil tissue using CSB-PA007000DSR2HU at dilution of 1:100
-
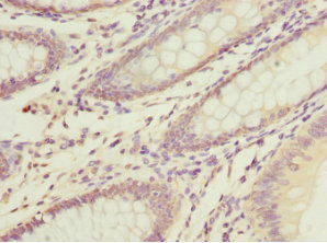
Immunohistochemistry of paraffin-embedded human colon cancer using CSB-PA007000DSR2HU at dilution of 1:100
-
-
其他:
產品詳情
-
產品名稱:Rabbit anti-Homo sapiens (Human) DNAJA2 Polyclonal antibody
-
Uniprot No.:
-
基因名:
-
別名:Cell cycle progression 3 protein antibody; Cell cycle progression restoration gene 3 protein antibody; CPR 3 antibody; CPR3 antibody; Dj3 antibody; DJA 2 antibody; DJA2 antibody; DnaJ (Hsp40) homolog subfamily A member 2 antibody; DNAJ antibody; DnaJ heat shock protein family (Hsp40) member A2 antibody; DnaJ homolog subfamily A member 2 antibody; DNAJA 2 antibody; Dnaja2 antibody; DNJ 3 antibody; Dnj3 antibody; DNJA2_HUMAN antibody; HIRA interacting protein 4 antibody; HIRA-interacting protein 4 antibody; HIRIP 4 antibody; HIRIP4 antibody; OTTHUMP00000164136 antibody; PRO3015 antibody; RDJ 2 antibody; RDJ2 antibody; Renal carcinoma antigen NY REN 14 antibody; Renal carcinoma antigen NY-REN-14 antibody
-
宿主:Rabbit
-
反應種屬:Human
-
免疫原:Recombinant Human DnaJ homolog subfamily A member 2 protein (233-412AA)
-
免疫原種屬:Homo sapiens (Human)
-
標記方式:Non-conjugated
-
克隆類型:Polyclonal
-
抗體亞型:IgG
-
純化方式:Antigen Affinity Purified
-
濃度:It differs from different batches. Please contact us to confirm it.
-
保存緩沖液:PBS with 0.02% sodium azide, 50% glycerol, pH7.3.
-
產品提供形式:Liquid
-
應用范圍:ELISA, WB, IHC
-
推薦稀釋比:
Application Recommended Dilution WB 1:1000-1:5000 IHC 1:20-1:200 -
Protocols:
-
儲存條件:Upon receipt, store at -20°C or -80°C. Avoid repeated freeze.
-
貨期:Basically, we can dispatch the products out in 1-3 working days after receiving your orders. Delivery time maybe differs from different purchasing way or location, please kindly consult your local distributors for specific delivery time.
-
用途:For Research Use Only. Not for use in diagnostic or therapeutic procedures.
相關產品
靶點詳情
-
功能:Co-chaperone of Hsc70. Stimulates ATP hydrolysis and the folding of unfolded proteins mediated by HSPA1A/B (in vitro).
-
基因功能參考文獻:
- we combined the Hsp70-NEF pairs with cochaperones of the J protein family (DnaJA1, DnaJA2, DnaJB1, and DnaJB4) to generate 16 permutations. PMID: 24318877
- The DNAJA2 substrate release mechanism is essential for chaperone-mediated folding. PMID: 23091061
- Hsp40 type 1 chaperones DJA1 (DNAJA1/Hdj2) and DJA2 (DNAJA2) as key modulators of hERG degradation PMID: 19940115
- Rdj2 modulates G protein signaling and further suggest that chaperoning G proteins is an emerging theme of the J protein network. PMID: 18595009
- Bag1 NEF increased refolding by Hsc70 and DJA2, as did the newly characterized NEF Hsp110 PMID: 18684711
顯示更多
收起更多
-
亞細胞定位:Membrane; Lipid-anchor.
-
數據庫鏈接:
Most popular with customers
-
YWHAB Recombinant Monoclonal Antibody
Applications: ELISA, WB, IHC, IF, FC
Species Reactivity: Human, Mouse, Rat
-
Phospho-YAP1 (S127) Recombinant Monoclonal Antibody
Applications: ELISA, WB, IHC
Species Reactivity: Human
-
-
-
-
-
-















