DCAF6 Antibody
-
中文名稱:DCAF6兔多克隆抗體
-
貨號:CSB-PA981190
-
規格:¥1100
-
圖片:
-
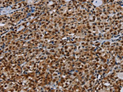
The image on the left is immunohistochemistry of paraffin-embedded Human thyroid cancer tissue using CSB-PA981190(DCAF6 Antibody) at dilution 1/30, on the right is treated with synthetic peptide. (Original magnification: ×200)
-
The image on the left is immunohistochemistry of paraffin-embedded Human brain tissue using CSB-PA981190(DCAF6 Antibody) at dilution 1/30, on the right is treated with synthetic peptide. (Original magnification: ×200)
-
-
其他:
產品詳情
-
Uniprot No.:
-
基因名:DCAF6
-
別名:1200006M05Rik antibody; Androgen receptor complex associated protein antibody; Androgen receptor complex-associated protein antibody; ARCAP antibody; DCAF6 antibody; DCAF6_HUMAN antibody; DDB1 and CUL4 associated factor 6 antibody; DDB1- and CUL4-associated factor 6 antibody; IQ motif and WD repeat-containing protein 1 antibody; IQ motif and WD repeats 1 antibody; IQWD1 antibody; MSTP055 antibody; NRIP antibody; Nuclear receptor interaction protein antibody; RP4 745I14.1 antibody
-
宿主:Rabbit
-
反應種屬:Human,Mouse
-
免疫原:Synthetic peptide of Human DCAF6
-
免疫原種屬:Homo sapiens (Human)
-
標記方式:Non-conjugated
-
抗體亞型:IgG
-
純化方式:Antigen affinity purification
-
濃度:It differs from different batches. Please contact us to confirm it.
-
保存緩沖液:-20°C, pH7.4 PBS, 0.05% NaN3, 40% Glycerol
-
產品提供形式:Liquid
-
應用范圍:ELISA,IHC
-
推薦稀釋比:
Application Recommended Dilution ELISA 1:2000-1:5000 IHC 1:50-1:200 -
Protocols:
-
儲存條件:Upon receipt, store at -20°C or -80°C. Avoid repeated freeze.
-
貨期:Basically, we can dispatch the products out in 1-3 working days after receiving your orders. Delivery time maybe differs from different purchasing way or location, please kindly consult your local distributors for specific delivery time.
-
用途:For Research Use Only. Not for use in diagnostic or therapeutic procedures.
相關產品
靶點詳情
-
功能:Ligand-dependent coactivator of nuclear receptors. Enhance transcriptional activity of the nuclear receptors NR3C1 and AR. May function as a substrate receptor for CUL4-DDB1 E3 ubiquitin-protein ligase complex.
-
基因功能參考文獻:
- High IQWD1 expression is associated with breast cancer. PMID: 24222117
- NRIP enhances HPV 16 gene expression via interaction with either GR or viral E2. PMID: 22177699
- NRIP interacts with either androgen or glucocorticoid receptors PMID: 15784617
- NRIP plays a feed-forward role enhancing androgen receptor (AR)-driven NRIP promoter activity via NRIP forming a complex with AR to protect AR protein from proteasome degradation. PMID: 17984071
- A survey results showed that ten cancer cases were revealed to express the NRIP in six malignancies, but not all of these specific tumor types consistently showed positive NRIP expression. PMID: 18673574
顯示更多
收起更多
-
亞細胞定位:Nucleus.
-
組織特異性:Highly expressed in skeletal muscle and testis. Expressed to a lesser degree in heart, prostate, and adrenal gland.
-
數據庫鏈接:
Most popular with customers
-
-
YWHAB Recombinant Monoclonal Antibody
Applications: ELISA, WB, IHC, IF, FC
Species Reactivity: Human, Mouse, Rat
-
Phospho-YAP1 (S127) Recombinant Monoclonal Antibody
Applications: ELISA, WB, IHC
Species Reactivity: Human
-
-
-
-
-















