CRTC3 Antibody
-
中文名稱:CRTC3兔多克隆抗體
-
貨號:CSB-PA747623LA01HU
-
規格:¥440
-
圖片:
-
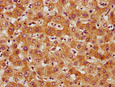
IHC image of CSB-PA747623LA01HU diluted at 1:500 and staining in paraffin-embedded human liver tissue performed on a Leica BondTM system. After dewaxing and hydration, antigen retrieval was mediated by high pressure in a citrate buffer (pH 6.0). Section was blocked with 10% normal goat serum 30min at RT. Then primary antibody (1% BSA) was incubated at 4°C overnight. The primary is detected by a biotinylated secondary antibody and visualized using an HRP conjugated SP system.
-
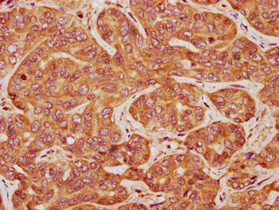
IHC image of CSB-PA747623LA01HU diluted at 1:500 and staining in paraffin-embedded human liver cancer performed on a Leica BondTM system. After dewaxing and hydration, antigen retrieval was mediated by high pressure in a citrate buffer (pH 6.0). Section was blocked with 10% normal goat serum 30min at RT. Then primary antibody (1% BSA) was incubated at 4°C overnight. The primary is detected by a biotinylated secondary antibody and visualized using an HRP conjugated SP system.
-
-
其他:
產品詳情
-
產品名稱:Rabbit anti-Homo sapiens (Human) CRTC3 Polyclonal antibody
-
Uniprot No.:
-
基因名:
-
別名:CREB regulated transcription coactivator 3 antibody; CREB-regulated transcription coactivator 3 antibody; CRTC 3 antibody; CRTC3 antibody; CRTC3_HUMAN antibody; FLJ21868 antibody; TORC 3 antibody; TORC-3 antibody; TORC3 antibody; Transducer of CREB protein 3 antibody; Transducer of regulated cAMP response element binding protein (CREB) 3 antibody; Transducer of regulated cAMP response element binding protein 3 antibody; Transducer of regulated cAMP response element-binding protein 3 antibody; Transducer of regulated CREB protein 3 antibody
-
宿主:Rabbit
-
反應種屬:Human
-
免疫原:Recombinant Human CREB-regulated transcription coactivator 3 protein (373-480AA)
-
免疫原種屬:Homo sapiens (Human)
-
標記方式:Non-conjugated
本頁面中的產品,CRTC3 Antibody (CSB-PA747623LA01HU),的標記方式是Non-conjugated。對于CRTC3 Antibody,我們還提供其他標記。見下表:
-
克隆類型:Polyclonal
-
抗體亞型:IgG
-
純化方式:>95%, Protein G purified
-
濃度:It differs from different batches. Please contact us to confirm it.
-
保存緩沖液:Preservative: 0.03% Proclin 300
Constituents: 50% Glycerol, 0.01M PBS, pH 7.4 -
產品提供形式:Liquid
-
應用范圍:ELISA, IHC
-
推薦稀釋比:
Application Recommended Dilution IHC 1:500-1:1000 -
Protocols:
-
儲存條件:Upon receipt, store at -20°C or -80°C. Avoid repeated freeze.
-
貨期:Basically, we can dispatch the products out in 1-3 working days after receiving your orders. Delivery time maybe differs from different purchasing way or location, please kindly consult your local distributors for specific delivery time.
-
用途:For Research Use Only. Not for use in diagnostic or therapeutic procedures.
相關產品
靶點詳情
-
功能:Transcriptional coactivator for CREB1 which activates transcription through both consensus and variant cAMP response element (CRE) sites. Acts as a coactivator, in the SIK/TORC signaling pathway, being active when dephosphorylated and acts independently of CREB1 'Ser-133' phosphorylation. Enhances the interaction of CREB1 with TAF4. Regulates the expression of specific CREB-activated genes such as the steroidogenic gene, StAR. Potent coactivator of PPARGC1A and inducer of mitochondrial biogenesis in muscle cells. Also coactivator for TAX activation of the human T-cell leukemia virus type 1 (HTLV-1) long terminal repeats (LTR).
-
基因功能參考文獻:
- CRTC3-MAML2 gene fusion occurs in hidradenomas. PMID: 29079171
- CRTC3 polymorphism was associated with the onset of acute coronary syndrome in Han Chinese patients, which may be related to the imbalance of the lipid metabolism PMID: 29979427
- findings suggest further characterization of MECs is needed before considering the CRTC1/3-MAML2 gene fusion as a prognostic biomarker PMID: 28438292
- revealing neither correlation between the cellular composition and CRTC1-MAML2 fusions nor presence of CRTC3-MAML2 fusions in cutaneous hidradenoma PMID: 27402217
- The CRTC3 polymorphism rs3862434 is associated with the plasma level of total cholesterol, and rs11635252 is associated with the risks of overweight and hypertriglyceridemia in a Chinese Han population. PMID: 24264430
- Metaplastic Warthin tumor and metaplastic pleomorphic adenoma of salivary glands did not harbor CRTC1-MAML2 and CRTC3-MAML2 fusion transcripts, respectively, or MAML2 gene rearrangement. PMID: 24121173
- mucoepidermoid carcinoma of the salivary glands positive for CRTC1-MAML2 or CRTC3-MAML2 fusion formed a favourable tumour subset that was distinct from fusion-negative cases PMID: 21668476
- CRTC3 plays a selective role in mitochondrial biogenesis in response to rotenone PMID: 21536665
- As a common human CRTC3 variant with increased transcriptional activity is associated with adiposity in two distinct Mexican-American cohorts, results suggest that adipocyte CRTC3 may play a role in the development of obesity in humans PMID: 21164481
- Mucoepidermoid carcinomas possessing CRTC3-MAML2 fusion may be associated with favorable clinicopathological features and patients may be younger than those with CRTC1-MAML2 fusion or those with no detectable gene fusion. PMID: 19749740
- transducer of regulated cyclic AMP-response element-binding protein 3 (TORC3), a co-activator of CREB, is involved in Tax-induced transcriptional activation from the HTLV-I LTR PMID: 15466468
- These results strongly suggest that TORCs play a key role in linking these external signals to the transcriptional program of adaptive mitochondrial biogenesis by activating PGC-1alpha gene transcription. PMID: 16980408
- BCL3 functions as a repressor of HTLV-1 LTR-mediated transcription through interactions with TORC3 PMID: 17644518
- study reports for the first time a CRTC3-MAML2 fusion gene in a mucoepidermoid carcinoma, as determined by RT-PCR and sequencing. PMID: 18050304
顯示更多
收起更多
-
亞細胞定位:Nucleus. Cytoplasm.
-
蛋白家族:TORC family
-
組織特異性:Predominantly expressed in B and T lymphocytes. Highest levels in lung. Also expressed in brain, colon, heart, kidney, ovary, and prostate. Weak expression in liver, pancreas, muscle, small intestine, spleen and stomach.
-
數據庫鏈接:
Most popular with customers
-
-
YWHAB Recombinant Monoclonal Antibody
Applications: ELISA, WB, IHC, IF, FC
Species Reactivity: Human, Mouse, Rat
-
Phospho-YAP1 (S127) Recombinant Monoclonal Antibody
Applications: ELISA, WB, IHC
Species Reactivity: Human
-
-
-
-
-















