CLEC2D Antibody
-
中文名稱:CLEC2D兔多克隆抗體
-
貨號:CSB-PA254797
-
規格:¥1100
-
圖片:
-
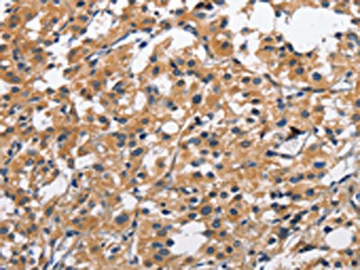
The image on the left is immunohistochemistry of paraffin-embedded Human thyroid cancer tissue using CSB-PA254797(CLEC2D Antibody) at dilution 1/70, on the right is treated with fusion protein. (Original magnification: ×200)
-
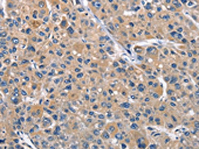
The image on the left is immunohistochemistry of paraffin-embedded Human liver cancer tissue using CSB-PA254797(CLEC2D Antibody) at dilution 1/70, on the right is treated with fusion protein. (Original magnification: ×200)
-
-
其他:
產品詳情
-
Uniprot No.:
-
基因名:
-
別名:C type lectin related f antibody; C type lectin superfamily 2; member D antibody; C-type lectin domain family 2 member D antibody; CLAX antibody; CLC2D_HUMAN antibody; CLEC2D antibody; CLEC2D protein antibody; Clec2d5 antibody; L LT1 antibody; Lectin like NK cell receptor antibody; Lectin like transcript 1 antibody; Lectin-like NK cell receptor antibody; Lectin-like transcript 1 antibody; LLT-1 antibody; LLT1 antibody; OCIL antibody; Osteoclast inhibitory lectin antibody
-
宿主:Rabbit
-
反應種屬:Human
-
免疫原:Fusion protein of Human CLEC2D
-
免疫原種屬:Homo sapiens (Human)
-
標記方式:Non-conjugated
-
抗體亞型:IgG
-
純化方式:Antigen affinity purification
-
濃度:It differs from different batches. Please contact us to confirm it.
-
保存緩沖液:-20°C, pH7.4 PBS, 0.05% NaN3, 40% Glycerol
-
產品提供形式:Liquid
-
應用范圍:ELISA,IHC
-
推薦稀釋比:
Application Recommended Dilution ELISA 1:2000-1:10000 IHC 1:100-1:300 -
Protocols:
-
儲存條件:Upon receipt, store at -20°C or -80°C. Avoid repeated freeze.
-
貨期:Basically, we can dispatch the products out in 1-3 working days after receiving your orders. Delivery time maybe differs from different purchasing way or location, please kindly consult your local distributors for specific delivery time.
-
用途:For Research Use Only. Not for use in diagnostic or therapeutic procedures.
相關產品
靶點詳情
-
功能:Receptor for KLRB1 that protects target cells against natural killer cell-mediated lysis. Inhibits osteoclast formation. Inhibits bone resorption. Modulates the release of interferon-gamma. Binds high molecular weight sulfated glycosaminoglycans.
-
基因功能參考文獻:
- These results show that susceptibility of normal articular chondrocytes to lysis by NK cells is modulated by NKR-P1A/LLT1 interactions. Thus, NKR-P1A/LLT1 interaction might provide some novel target for therapeutic interventions in the course of pathological cartilage injury. PMID: 29212911
- Blocking LLT1-NKRP1A interaction will make prostate cancer cells susceptible to killing by NK cells, suggesting a therapeutic option for treatment of prostate cancer. PMID: 27626681
- these data suggest that LLT1-CD161 interactions play a novel and important role in B cell maturation within the Germinal center in humans. PMID: 26829983
- In RA joints, LLT1 is expressed by cells of the monocyte/macrophage lineage. PMID: 26147876
- The hexamer of glycosylated LLT1 consists of three classical dimers. The hexameric packing may indicate a possible mode of interaction of C-type lectin-like proteins in the glycosylated form. PMID: 25760607
- One polymorphism in LLT1 was found to be associated with our Crohn's Disease population (P<0.034).Our Ulcerative Colitis cohort was not associated with the variation in LLT1 (P=0.33) PMID: 22664939
- LLT1 and CD161 have roles in modulating immune responses to pathogens; and interferon-gamma contributes to modulate immune responses PMID: 21930700
- Molecular basis for LLT1 protein recognition by human CD161 protein (NKRP1A/KLRB1). PMID: 21572041
- Data show that only CLEC2D isoform 1 (LLT1) is expressed on the cell surface. PMID: 20843815
- LLT1 used Src-PTK, p38 and ERK signalling pathways, but not PKC, PI3K or calcineurin pathways, to increase production of IFN-gamma by human natural killer cells. PMID: 20415786
- LLT1 induces Interferon Type II production by natural killer cells. PMID: 15104121
- Data show that osteoclast inhibitory lectin (OCIL) binds a range of physiologically important glycosaminoglycans, and this property may modulate OCIL actions upon other cells [OCIL]. PMID: 15123656
- Engagement of CD161 on NK cells with LLT1 expressed on target cells inhibited NK cell-mediated cytotoxicity and IFN-gamma secretion. LLT1/CD161 interaction in the presence of a TCR signal enhanced IFN-gamma production by T cells PMID: 16339512
- LLT1 on target cells can inhibit NK cytotoxicity via interactions with CD161. LLT1 activates NFAT-GFP reporter cells expressing a CD3zeta-CD161 chimeric receptor; reciprocally, reporter cells with a CD3zeta-LLT1 chimeric receptor are stimulated by CD161 PMID: 16339513
- Expression of LLT1 on activated dendritic cells and B cells suggests that it might regulate the cross-talk between NK cells and APCs PMID: 18453569
- Women with a lysine (GG genotype) at position 19 of the OCIL protein displayed lower bone mineral density at femoral neck and at lumbar spine sites than women having an asparagine residue. PMID: 18465072
顯示更多
收起更多
-
亞細胞定位:Cell membrane; Single-pass type II membrane protein.; [Isoform 2]: Endoplasmic reticulum.; [Isoform 4]: Endoplasmic reticulum.
-
組織特異性:Detected in peripheral blood leukocytes, osteoblasts, lymph node, thymus and spleen. Isoform 1, isoform 2 and isoform 4 are expressed in T- and B-lymphocytes, and at lower levels in NK cells. They are also expressed in B-cell lines and LPS-matured monocyt
-
數據庫鏈接:
Most popular with customers
-
-
YWHAB Recombinant Monoclonal Antibody
Applications: ELISA, WB, IHC, IF, FC
Species Reactivity: Human, Mouse, Rat
-
Phospho-YAP1 (S127) Recombinant Monoclonal Antibody
Applications: ELISA, WB, IHC
Species Reactivity: Human
-
-
-
-
-















