CES1 Antibody
-
中文名稱:CES1兔多克隆抗體
-
貨號:CSB-PA005258LA01HU
-
規格:¥440
-
圖片:
-
Western Blot
Positive WB detected in: Mouse heart tissue, Mouse skeletal muscle tissue
All lanes: CES1 antibody at 5µg/ml
Secondary
Goat polyclonal to rabbit IgG at 1/50000 dilution
Predicted band size: 63 kDa
Observed band size: 63 kDa -
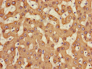
Immunohistochemistry of paraffin-embedded human liver tissue using CSB-PA005258LA01HU at dilution of 1:100
-
Immunofluorescent analysis of HepG2 cells using CSB-PA005258LA01HU at dilution of 1:100 and Alexa Fluor 488-congugated AffiniPure Goat Anti-Rabbit IgG(H+L)
-
-
其他:
產品詳情
-
產品名稱:Rabbit anti-Homo sapiens (Human) CES1 Polyclonal antibody
-
Uniprot No.:
-
基因名:
-
別名:ACAT antibody; Acyl coenzyme A cholesterol acyltransferase antibody; Acyl-coenzyme A:cholesterol acyltransferase antibody; Brain carboxylesterase hBr1 antibody; Carboxyesterase ES-3 antibody; Carboxylesterase antibody; Carboxylesterase 1 (monocyte/macrophage serine esterase 1) antibody; Carboxylesterase 1 antibody; Carboxylesterase 1 deficiency, included antibody; Carboxylesterase 2, formerly antibody; CE 1 antibody; CEH antibody; Ces-1 antibody; CES1 antibody; CES2 antibody; CESDD1 antibody; Cholesterol ester hydrolase, neutral, macrophage-derived antibody; Cholesteryl ester hydrolase antibody; Cocaine carboxylesterase antibody; EC 3.1.1.1 antibody; Egasyn antibody; ES-HTEL antibody; ES-x antibody; Es22 antibody; EST1_HUMAN antibody; Esterase 22 antibody; Esterase antibody; hCE 1 antibody; HMSE antibody; HMSE1 antibody; Liver carboxylesterase 1 antibody; Liver carboxylesterase 3 antibody; Methylumbelliferyl acetate deacetylase 1 antibody; MGC117365 antibody; MGC156521 antibody; Monocyte carboxylesterase deficiency, included antibody; Monocyte esterase deficiency, included antibody; Monocyte/macrophage serine esterase antibody; PCE-1 antibody; pI 5.5 esterase antibody; Proline-beta-naphthylamidase antibody; REH antibody; Retinyl ester hydrolase antibody; Serine esterase 1 antibody; Ses-1 antibody; SES1 antibody; TGH antibody; Triacylglycerol hydrolase antibody
-
宿主:Rabbit
-
反應種屬:Human, Mouse
-
免疫原:Recombinant Human Liver carboxylesterase 1 protein (291-566AA)
-
免疫原種屬:Homo sapiens (Human)
-
標記方式:Non-conjugated
本頁面中的產品,CES1 Antibody (CSB-PA005258LA01HU),的標記方式是Non-conjugated。對于CES1 Antibody,我們還提供其他標記。見下表:
-
克隆類型:Polyclonal
-
抗體亞型:IgG
-
純化方式:>95%, Protein G purified
-
濃度:It differs from different batches. Please contact us to confirm it.
-
保存緩沖液:Preservative: 0.03% Proclin 300
Constituents: 50% Glycerol, 0.01M PBS, PH 7.4 -
產品提供形式:Liquid
-
應用范圍:ELISA, WB, IHC, IF
-
推薦稀釋比:
Application Recommended Dilution WB 1:500-1:5000 IHC 1:20-1:200 IF 1:50-1:200 -
Protocols:
-
儲存條件:Upon receipt, store at -20°C or -80°C. Avoid repeated freeze.
-
貨期:Basically, we can dispatch the products out in 1-3 working days after receiving your orders. Delivery time maybe differs from different purchasing way or location, please kindly consult your local distributors for specific delivery time.
-
用途:For Research Use Only. Not for use in diagnostic or therapeutic procedures.
相關產品
靶點詳情
-
功能:Involved in the detoxification of xenobiotics and in the activation of ester and amide prodrugs. Hydrolyzes aromatic and aliphatic esters, but has no catalytic activity toward amides or a fatty acyl-CoA ester. Hydrolyzes the methyl ester group of cocaine to form benzoylecgonine. Catalyzes the transesterification of cocaine to form cocaethylene. Displays fatty acid ethyl ester synthase activity, catalyzing the ethyl esterification of oleic acid to ethyloleate. Converts monoacylglycerides to free fatty acids and glycerol. Hydrolyzes of 2-arachidonoylglycerol and prostaglandins. Hydrolyzes cellular cholesteryl esters to free cholesterols and promotes reverse cholesterol transport (RCT) by facilitating both the initial and final steps in the process. First of all, allows free cholesterol efflux from macrophages to extracellular cholesterol acceptors and secondly, releases free cholesterol from lipoprotein-delivered cholesteryl esters in the liver for bile acid synthesis or direct secretion into the bile.
-
基因功能參考文獻:
- Study utilized humanized mouse model expressing WT (control), G143E and catalytically dead S221A variants of human CES1 in the liver in the absence of endogenous expression of the mouse orthologous gene shows that compared to wild-type CES1, expression of the CES1G143E confers resistance to development of high-fat diet induced hepatic steatosis and leads to improved metabolic profile. PMID: 29631096
- Which selectively amplified CES1A1 and, if present, also CES1A2. PMID: 29457755
- These results are consistent with a model in which abrogation of CES1 function attenuates the CYP27A1-LXRalpha-ABCA1 signaling axis by depleting endogenous ligands for the nuclear receptors PPARgamma, RAR, and/or RXR that regulate cholesterol homeostasis. PMID: 29321244
- Anordrin is predominantly catalyzed by CES1 and CES2 to generate the main active metabolite, anordiol. PMID: 28532270
- genetic association and pharmacogenomic studies in population in Finland: Data suggest that 2 SNPs in CES1 (rs12443580, rs8192935) are associated with variations in expression of CES1 (in whole blood samples but not in liver); these CES1 SNPs do not affect pharmacokinetics or pharmacodynamics of clopidogrel, an inhibitor of platelet aggregation. A missense mutation in CES1 (rs71647871) impairs hydrolysis of clopidogrel. PMID: 28990360
- The frequencies of SNVs with a potential functional impact were below 0.02 suggesting limited pharmacogenetic potential for CES1 genotyping. PMID: 28786738
- none of the selected variations of CES1 had a clinically relevant impact on the metabolism of enalapril PMID: 28639420
- Study revealed that several nsSNPs significantly impaired CES1 activity on the metabolism of the CES1 substrates enalapril, clopidogrel, and sacubitril. PMID: 28838926
- Suggest a primary metabolic role for CES1 in the capacity of skin/keratinocytes to mediated biotransformation of penta-ethyl ester prodrug of DTPA. PMID: 27130352
- These data suggest that infants younger than 3 weeks of age would exhibit significantly lower CES1- and CES2-dependent metabolic clearance compared with older individuals. PMID: 26825642
- The intestinal transport of oseltamivir, a hCE1 substrate, could be evaluated in subclone #78 cell monolayers. PMID: 27638507
- An association was identified with a genetic variation in CES1 and early-onset capecitabine-related toxicity. PMID: 28139840
- Reduced CES1 expression/activity could promote development of METH-PAH. PMID: 28473326
- These data suggest that CES1 genetic variants and gender are important contributing factors to variability in dabigatran etexilate activation in humans. PMID: 27614009
- some functional CES1 genetic variants (for example, G143E) may impair ACE inhibitor activation, and consequently affect therapeutic outcomes of ACEI prodrugs. PMID: 26076923
- HNF4alpha regulated CES1 expression by directly binding to the proximal promoter of CES1. PMID: 27075303
- We conclude that the -816A>C variant is not associated with interindividual variability in CES1 expression and activity or therapeutic response to ACEI prodrugs PMID: 26915813
- Our study identified CYP2C19*3 and CES1 rs8192950 as genetic polymorphisms related to recurrent ischemic events in patients with extracranial or intracranial occlusive disease, demonstrating the important roles of CYP2C19 and CES1 in patients treated with clopidogrel PMID: 27450232
- Data suggest oseltamivir activation is associated with an SNP in CES1 (rs71647871, G143E); in liver from donors with genotype 143G/E activation is 40% of that from donors with genotype 143G/G. Hepatic CES1 expression in females is 17.3% higher than in males; oseltamivir activation rate in females is 27.8% higher than in males. (Liver tissues used were obtained from tissue banks located in the United States.) PMID: 27228223
- Study confirms previous reports of the CES1P1-CES1 translocation generating the CES1VAR allele with 11 SNPs in the 5'UTR, exon 1, and intron 1 derived from the CES1P1 sequence with decreased CES1 mRNA expression in the human liver by approximately 30% but normal protein expression. PMID: 26871237
- Study found that CYP2C19*2, *3, and *8 were associated with lower odds of the primary and secondary endpoints in the symptomatic intracranial atherosclerotic medical group compared with wild-type homozygotes; due to the low incidence of CES1 genetic variation, our study was unable to demonstrate any association between CES1 variations and the primary and secondary endpoints PMID: 26587656
- decreases of CES and CYP3A4 expression and enzymatic activities induced by Fluoxetine are through decreasing PXR and increasing DEC1 in HepG2 cells PMID: 26340669
- The structure and activity of glycosylated and aglycosylated human CES1 has been determined. PMID: 26657071
- CES1 c.428G>A single nucleotide variation increases clopidogrel active metabolite concentrations and antiplatelet effects by reducing clopidogrel hydrolysis to inactive metabolites PMID: 25704243
- CEH is an important regulator in enhancing cholesterol elimination. PMID: 24563511
- study found an association between two CES1 SNP markers and the occurrence of sadness as a side effect of short-acting methylphenidate PMID: 24350812
- After oral administration of dabigatran etexilate to humans, DABE is hydrolyzed by intestinal CES2 to the intermediate M2 metabolite followed by hydrolysis of M2 to DAB in the liver by CES1. PMID: 24212379
- The conversion of 2-oxo-ticlopidine to M1 was further confirmed with recombinant paraoxonase 1 (PON1) and CES1. PMID: 24170778
- CES1 plays a role in the metabolism of several drugs. PMID: 24141856
- An influence of carboxylesterase 1 -75 T>G polymorphism on the worsening of appetite reduction with MPH treatment in youths with ADHD. PMID: 22688218
- PMPMEase overexpression in colorectal cancer and cancer cell death stemming from its inhibition is an indication of its possible role in cancer progression and a target for chemopreventive agents PMID: 23936796
- carboxylesterase I controls RhoA methylation PMID: 23658012
- Carboxylesterase 1 gene duplication and mRNA expression in adipose tissue are linked to obesity and metabolic function. PMID: 23468884
- The CES1 SNP rs8192950 AC genotype and rs1968753 GG genotype might be the candidates for risk prediction of antituberculosis drug-induced hepatotoxicity. PMID: 22943824
- Deficient CES1 catalytic activity resulting from CES1 inhibition. PMID: 23275066
- Genetic variation in CES1 may be an important determinant of the efficacy of clopidogrel. PMID: 23111421
- This study provides the first evidence of functional compensation whereby increased expression of CES3 restores intracellular cholesteryl ester hydrolytic activity and free cholesterol efflux in CES1-deficient cells. PMID: 22700792
- Genetic variability in Carboxylesterase 1 affects the pharmacokinetics of oseltamivir and indicate that CES1 plays an important role in the bioactivation of oseltamivir in humans. PMID: 22588607
- The comparison of the genotyping results between this novel assay and those previously reported methods highlighted the necessity of applying the discriminative genotyping assay in pharmacogenetic studies involving CES1 gene. PMID: 22237548
- tested the hypothesis that an individual's CES phenotype can be characterized by reporter substrates/probes that interrogate native CES1 and CES2 activities in liver and immunoblotting methods PMID: 22525521
- High mRNA levels of CES1 is associated with adiposity and lipolysis, thereby contributing to the development of obesity-associated phenotypes. PMID: 21081832
- Dysregulation of genes such as CES1 and APOE seems to be associated with some physiopathological markers of insulin resistance and cardiovascular risk factors in obesity. PMID: 20975297
- Report CES1 mediated hydrolysis of heroin, cocaine and CPT-11. PMID: 20649590
- The knockdown of CES1 with siRNA resulted in lower levels of HCV replication, and up-regulation of CES1 was observed to favor HCV propagation, implying an important role for this host cell protein. PMID: 20530478
- Molecular dynamics results emphasize properties of the CES1 catalytic cavity, confirming that CES1 prefers substrates with relatively smaller and somewhat polar alkyl/aryl groups and larger hydrophobic acyl moieties. PMID: 19932971
- A comparison of the substrate specificity of CES1 versus CES2 reveals broad but distinct substrate preferences. PMID: 19508181
- We observed an association with the rare 143Glu-variant: 5 patients in the responder group carrying the Glu-allele required lower doses of MPH for symptom reduction. PMID: 19733552
- crystal structure bound to analogs of cocaine and heroin PMID: 12679808
- A serine esterase involved in both drug metabolism and activation. PMID: 12773168
- Findings indicate that F417 but not L418, L420, or C390 participates in substrate hydrolysis by triacylglycerol hydrolase. PMID: 16282638
顯示更多
收起更多
-
亞細胞定位:Endoplasmic reticulum lumen. Cytoplasm. Lipid droplet.
-
蛋白家族:Type-B carboxylesterase/lipase family
-
組織特異性:Expressed predominantly in liver with lower levels in heart and lung. Expressed in macrophages.
-
數據庫鏈接:
Most popular with customers
-
-
YWHAB Recombinant Monoclonal Antibody
Applications: ELISA, WB, IHC, IF, FC
Species Reactivity: Human, Mouse, Rat
-
Phospho-YAP1 (S127) Recombinant Monoclonal Antibody
Applications: ELISA, WB, IHC
Species Reactivity: Human
-
-
-
-
-















