CA9 Antibody
-
中文名稱:CA9兔多克隆抗體
-
貨號:CSB-PA614990LA01HU
-
規格:¥440
-
圖片:
-
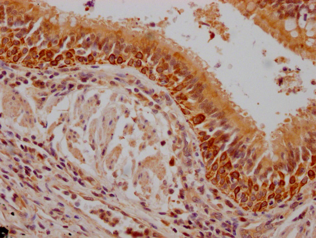
IHC image of CSB-PA614990LA01HU diluted at 1:200 and staining in paraffin-embedded human lung cancer performed on a Leica BondTM system. After dewaxing and hydration, antigen retrieval was mediated by high pressure in a citrate buffer (pH 6.0). Section was blocked with 10% normal goat serum 30min at RT. Then primary antibody (1% BSA) was incubated at 4°C overnight. The primary is detected by a Goat anti-rabbit polymer IgG labeled by HRP and visualized using 0.05% DAB.
-
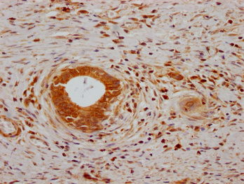
IHC image of CSB-PA614990LA01HU diluted at 1:200 and staining in paraffin-embedded human gastric cancer performed on a Leica BondTM system. After dewaxing and hydration, antigen retrieval was mediated by high pressure in a citrate buffer (pH 6.0). Section was blocked with 10% normal goat serum 30min at RT. Then primary antibody (1% BSA) was incubated at 4°C overnight. The primary is detected by a Goat anti-rabbit polymer IgG labeled by HRP and visualized using 0.05% DAB.
-
-
其他:
產品詳情
-
產品名稱:Rabbit anti-Homo sapiens (Human) CA9 Polyclonal antibody
-
Uniprot No.:
-
基因名:
-
別名:CA-IX antibody; CA9 antibody; CAH9_HUMAN antibody; CAIX antibody; Carbonate dehydratase IX antibody; Carbonic anhydrase 9 antibody; Carbonic anhydrase IX antibody; Carbonic dehydratase antibody; G250 antibody; Membrane antigen MN antibody; MN antibody; P54/58N antibody; pMW1 antibody; RCC associated protein G250 antibody; RCC-associated antigen G250 antibody; Renal cell carcinoma-associated antigen G250 antibody
-
宿主:Rabbit
-
反應種屬:Human
-
免疫原:Peptide sequence from Human Carbonic anhydrase 9 protein (38-414AA)
-
免疫原種屬:Homo sapiens (Human)
-
標記方式:Non-conjugated
本頁面中的產品,CA9 Antibody (CSB-PA614990LA01HU),的標記方式是Non-conjugated。對于CA9 Antibody,我們還提供其他標記。見下表:
-
克隆類型:Polyclonal
-
抗體亞型:IgG
-
純化方式:>95%, Protein G purified
-
濃度:It differs from different batches. Please contact us to confirm it.
-
保存緩沖液:Preservative: 0.03% Proclin 300
Constituents: 50% Glycerol, 0.01M PBS, PH 7.4 -
產品提供形式:Liquid
-
應用范圍:ELISA, IHC
-
推薦稀釋比:
Application Recommended Dilution IHC 1:200-1:500 -
Protocols:
-
儲存條件:Upon receipt, store at -20°C or -80°C. Avoid repeated freeze.
-
貨期:Basically, we can dispatch the products out in 1-3 working days after receiving your orders. Delivery time maybe differs from different purchasing way or location, please kindly consult your local distributors for specific delivery time.
-
用途:For Research Use Only. Not for use in diagnostic or therapeutic procedures.
相關產品
靶點詳情
-
功能:Reversible hydration of carbon dioxide. Participates in pH regulation. May be involved in the control of cell proliferation and transformation. Appears to be a novel specific biomarker for a cervical neoplasia.
-
基因功能參考文獻:
- Our findings indicated that CA-IX may be a potential prognostic biomarker in the treatment of glioblastoma multiforme PMID: 29952031
- Our results do not suggest a prognostic role for CA IX overexpression in stage III non-small cell lung cancer patients who received neoadjuvant treatment. PMID: 30029935
- FZD1 and CAIX might be important biological markers for the carcinogenesis, metastasis, invasion, and prognosis of pancreatic ductal adenocarcinoma PMID: 28921449
- High expression of CA9 is associated with breast cancer. PMID: 29893327
- Data suggest that the conformational flexibility may have several important roles in tumour progression, facilitating interactions of carbonic anhydrase IX (hCA IX) with partner proteins assisting tumour spreading and progression. PMID: 29564477
- the findings of this study establish the SOX9/CA9-mediated oncogenic pathway in glioma, the inhibition of which enhances the sensitivity of glioma cells to Temozolomide (TMZ) treatment, and thus highlights the value of developing small molecules or antibodies against the SOX9/CA9 pathway, for combination therapy with TMZ, in the more efficient management of glioma PMID: 29749469
- CA9 SNP rs1048638 and haplotype A1AA are associated with the susceptibility of cervical invasive squamous cell carcinoma for Taiwanese women PMID: 29725249
- The TCGA data revealed that CAIX expression was significantly higher in bladder cancer specimens than in normal tissue. PMID: 29949785
- CAIX enzyme inhibition assay showed the IC50 values in nM range. Though all the three compounds (1-3) showed a good binding with CAIX, compound 2 showed the best inhibition of CAIX activity. These compounds were non-toxic on normal cell lines (HEK-293) and significantly inhibit the proliferation of hypoxic cancer cells PMID: 28830777
- CA9 expression was observed in normal islets, while neuroendocrine microadenomas and small (< 1 cm) pancreatic neuroendocrine neoplasms/tumors showed CA9 expression loss. PMID: 29666945
- Study revealed that CA9 expression was a pivotal predictive factor for poor prognosis after radical surgery for HCC. Moreover, the CA9 regulation of the expression of EMT-related molecules represented a mechanism that enhanced malignant potential. PMID: 28849188
- Report weak CA9 immunoreactivity in majority of CA9 positive colorectal carcinoma cases associated with macroscopic growth pattern. PMID: 28554753
- Molecular characterization of carbonic anhydrase IX catalytic domain has been presented. PMID: 27373313
- Authors present evidence that enhanced autophagy does not play a role in the enhanced growth of the CA9+ cells. Our study suggests a direct in vivo functional link between hypoxic cells and CICs in primary cervix cancer xenografts. PMID: 27901496
- Genetic disruption of the intracellular pH-regulating proteins Na+/H+ exchanger 1 (SLC9A1) and carbonic anhydrase 9 reduces the proliferation of colon cancer cells. PMID: 28055960
- Data show that targeting the hypoxic tumor compartment by knockdown of carbonic anhydrase IX (CAIX) using short hairpin RNA or by chemical inhibition of CAIX with acetazolamide potentiates the anti-cancer activity of mTOR inhibitors rapamycin. PMID: 27153561
- Authors demonstrate that CAIX associates with MMP14 through potential phosphorylation residues within its intracellular domain, and that CAIX enhances MMP14-mediated collagen degradation by directly contributing hydrogen ions required for MMP14 catalytic activity. PMID: 28692057
- Results provide evidence that CAIX induces chemoresistance of A549 cells, a lung cancer cell line. PMID: 28028936
- The results suggest the possibility that CA9 exosomes released from hypoxic RCC may enhance angiogenesis in microenvironment, thereby contributing to cancer progression. PMID: 28851650
- CA9 expression is highly associated with distant metastases, including para-aortic involvement. PMID: 27102843
- Increased miR-210 and concomitant decreased ISCU RNA levels were found in ~40% of tumors and this was significantly associated with HIF-1alpha and CAIX, but not MCT1 or MCT4, over-expression. PMID: 28099149
- describe the identification of the structural determinants responsible for the CA IX/CAND1 interaction PMID: 28388044
- Data suggest that CAIX (carbonic anhydrase IX) is a novel downstream mediator of asTF (alternatively spliced tissue factor) in pancreatic ductal adenocarcinoma, particularly under hypoxic conditions that model late-stage tumor microenvironment; tumor hypoxia appears to lead to up-regulation of CAIX expression (or 'activation'), which is more pronounced in tumor cells overexpressing asTF. PMID: 27721473
- Our findings suggest that LCN2 suppresses tumour metastasis by targeting the transcriptional and post-transcriptional regulation of CAIX in oral squamous cell carcinoma PMID: 27207653
- The findings suggest that CA9, and particularly its carbonic anhydrase activity, promotes the tumorigenicity of adult T-cell leukemia/lymphoma-derived cells and may be involved in malignant development of lymphoma-type adult T-cell leukemia/lymphoma. PMID: 28075522
- We demonstrated that the expression levels of glycolysis-related proteins glucose transporter 1, hexokinase II, carbonic anhydrase IX, and monocarbonylate transporter 4 differ between thyroid cancer subtypes and are correlated with poorer prognosis PMID: 28347233
- CAIX and PTEN had prognostic importance for metastatic renal cell carcinoma patients receiving first-line VEGFR TKI. Future validation and mechanistic studies are required. PMID: 26526582
- combined HIF1alpha and CAIX protein expression may serve as an unfavorable prognostic indicator particularly in patients treated with cyclophosphamide-based chemotherapy or radiotherapy as well as those with basal phenotype of breast cancer PMID: 27184798
- CA9 may have a role in castration-resistant prostate cancer progression PMID: 27630286
- The diagnostic accuracy of CA9 expression for clear cell renal cell carcinoma was 100%. PMID: 27775441
- High expression of CA IX was associated with pancreatic cancer. PMID: 26224207
- CAIX mRNA expression was significantly higher (p < 0.05) in hypoxia for all cell lines, which was in agreement with protein expression by ICC. CAXII expression was mixed, with a modest hypoxia-related increase in two cell lines (p < 0.05) and no change in others. PMID: 26276155
- We also demonstrated that the cell-surface CA IX level dropped during the death progress due to an increased ECD shedding, which required a functional ADAM17. Inhibitors of metalloproteinases reduced CA IX ECD shedding, but not apoptosis. PMID: 26993100
- In neuroblastoma cells, CAIX and PGK1 expression is up regulated under hypoxia and correlates with response to targeted anti-proliferative treatment. PMID: 26510737
- Flow cytometrically sorted CA9+ population showed increased mRNA level of a Wnt signaling factor AXIN2. In conclusion, these observations indicate that CA9 expression in normal crypt base cells has association with intestinal epithelial stemness PMID: 26648507
- We used cobalt chloride (CoCl2) as a hypoxia-mimetic agent and found that the expression of HIF-1a protein, CA IX mRNA and protein, is effectively upregulated, except for HIF-1a mRNA. PMID: 26648580
- We conclude that CA9/miR34 interplay shares in the hypoxic regulation of mammospheres and therefore, may play a relevant role in the hypoxic breast cancer stem cell niche. PMID: 26553365
- Knockdown of CAIX significantly reduced proliferation of cancer cells, suggesting that rapid efflux of lactate and H(+), as enhanced by CAIX, contributes to cancer cell survival under hypoxic conditions. PMID: 26337752
- Data indicate that carbonic anhydrase IX (CAIX) inhibition as a relevant therapeutic goal in breast cancer, targeting the migratory, invasive, and metastatic potential of this disease. PMID: 26259239
- Inhibition of CA9 expression or activity resulted in radiation sensitization of RCC in a preclinical mouse model. PMID: 26252502
- Urinary CAIX has a high sensitivity and specificity for diagnosing urothelial bladder cancer. PMID: 26138037
- The intrinsic thermodynamic parameters of compound binding to CA IX helped to draw the compound structure to thermodynamics relationship. PMID: 26794023
- our study showed that the expression of CAIX in oral squamous cell carcinoma (OSCC) samples can predict the progression of OSCC and survival of OSCC patients in Taiwan PMID: 26130414
- we aimed to determine the effect of immunohistochemical staining of ezrin, carbonic anhydrase IX (CA IX), and neuropilin-2 on the prognosis of patients diagnosed with metastatic RCC who were treated with TKIs between January 2007 and June 2012. PMID: 26026587
- CA IX is expressed in B-cell lymphomas and is qualitatively correlated with extracellular acidosis in xenograft tumor models. PMID: 25130478
- We have developed an efficient system for the production of the catalytic domain of CA IX in methylotrophic yeast Pichia pastoris PMID: 26522624
- CAIX expression is increased in hypoxia to compensate for the decrease in its activity produced by a low extracellular pH. A major function of CAIX is to lower the extracellular pH. PMID: 26249175
- A strong positive correlation between the mRNA expression levels of HIF-2alpha, CA9, VEGF, GLUT-1 and OPN suggests a specific hypoxia-associated profile of mRNA expression in glioblastoma multiforme PMID: 25963717
- expression of the CA-IX protein is a crucial predictor of poor prognosis in resectable hepatocellular carcinoma PMID: 25738958
- Preventing carbonic anhydrase IX association with 45 S rDNA gene promoters. PMID: 25793203
顯示更多
收起更多
-
亞細胞定位:Nucleus. Nucleus, nucleolus. Cell membrane; Single-pass type I membrane protein. Cell projection, microvillus membrane; Single-pass type I membrane protein. Note=Found on the surface microvilli and in the nucleus, particularly in nucleolus.
-
蛋白家族:Alpha-carbonic anhydrase family
-
組織特異性:Expressed primarily in carcinoma cells lines. Expression is restricted to very few normal tissues and the most abundant expression is found in the epithelial cells of gastric mucosa.
-
數據庫鏈接:
Most popular with customers
-
-
YWHAB Recombinant Monoclonal Antibody
Applications: ELISA, WB, IHC, IF, FC
Species Reactivity: Human, Mouse, Rat
-
Phospho-YAP1 (S127) Recombinant Monoclonal Antibody
Applications: ELISA, WB, IHC
Species Reactivity: Human
-
-
-
-
-















