C8B Antibody
-
中文名稱:C8B兔多克隆抗體
-
貨號:CSB-PA004195ESR1HU
-
規格:¥440
-
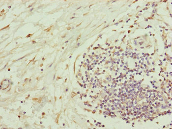
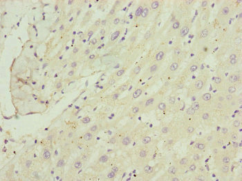
圖片:
-
其他:
產品詳情
-
產品名稱:Rabbit anti-Homo sapiens (Human) C8B Polyclonal antibody
-
Uniprot No.:
-
基因名:
-
別名:C8b antibody; CO8B_HUMAN antibody; Complement component 8 beta polypeptide antibody; Complement component 8 subunit beta antibody; Complement component C8 beta chain antibody
-
宿主:Rabbit
-
反應種屬:Human
-
免疫原:Recombinant Human Complement component C8 beta chain protein (55-350AA)
-
免疫原種屬:Homo sapiens (Human)
-
標記方式:Non-conjugated
-
克隆類型:Polyclonal
-
抗體亞型:IgG
-
純化方式:Antigen Affinity Purified
-
濃度:It differs from different batches. Please contact us to confirm it.
-
保存緩沖液:PBS with 0.02% sodium azide, 50% glycerol, pH7.3.
-
產品提供形式:Liquid
-
應用范圍:ELISA, IHC
-
推薦稀釋比:
Application Recommended Dilution IHC 1:20-1:200 -
Protocols:
-
儲存條件:Upon receipt, store at -20°C or -80°C. Avoid repeated freeze.
-
貨期:Basically, we can dispatch the products out in 1-3 working days after receiving your orders. Delivery time maybe differs from different purchasing way or location, please kindly consult your local distributors for specific delivery time.
-
用途:For Research Use Only. Not for use in diagnostic or therapeutic procedures.
相關產品
靶點詳情
-
功能:Constituent of the membrane attack complex (MAC) that plays a key role in the innate and adaptive immune response by forming pores in the plasma membrane of target cells.
-
基因功能參考文獻:
- The binding specificity between C8 beta and C8 alpha subunits is determined by a cooperative interaction of the N-terminal thrombospondin type 1 module and the membrane attack complex/perforin domain. PMID: 12220191
- results indicate that the principal binding site for C9 lies within the MACPF domain of C8alpha; they also suggest this site and the binding sites for C8beta and C8gamma are distinct PMID: 16618117
-
相關疾病:Complement component 8 deficiency, 2 (C8D2)
-
亞細胞定位:Secreted.
-
蛋白家族:Complement C6/C7/C8/C9 family
-
數據庫鏈接:
Most popular with customers
-
-
YWHAB Recombinant Monoclonal Antibody
Applications: ELISA, WB, IHC, IF, FC
Species Reactivity: Human, Mouse, Rat
-
Phospho-YAP1 (S127) Recombinant Monoclonal Antibody
Applications: ELISA, WB, IHC
Species Reactivity: Human
-
-
-
-
-















